Suppr超能文献

儿科患者的对比增强磁共振成像:当前实践的综述与建议

Contrast-enhanced magnetic resonance imaging in pediatric patients: review and recommendations for current practice.

作者信息

Bhargava Ravi, Hahn Gabriele, Hirsch Wolfgang, Kim Myung-Joon, Mentzel Hans-Joachim, Olsen Oystein E, Stokland Eira, Triulzi Fabio, Vazquez Elida

机构信息

Division of Pediatric Radiology, Department of Radiology and Diagnostic Imaging, Stollery Children's Hospital, University of Alberta, Edmonton, Alberta, Canada.

Institut und Poliklinik für Radiologische Diagnostik, Universitätsklinikum Carl Gustav Carus, Dresden, Germany.

出版信息

Magn Reson Insights. 2013 Oct 20;6:95-111. doi: 10.4137/MRI.S12561. eCollection 2013.

Abstract

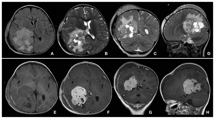
Magnetic resonance imaging (MRI), frequently with contrast enhancement, is the preferred imaging modality for many indications in children. Practice varies widely between centers, reflecting the rapid pace of change and the need for further research. Guide-line changes, for example on contrast-medium choice, require continued practice reappraisal. This article reviews recent developments in pediatric contrast-enhanced MRI and offers recommendations on current best practice. Nine leading pediatric radiologists from internationally recognized radiology centers convened at a consensus meeting in Bordeaux, France, to discuss applications of contrast-enhanced MRI across a range of indications in children. Review of the literature indicated that few published data provide guidance on best practice in pediatric MRI. Discussion among the experts concluded that MRI is preferred over ionizing-radiation modalities for many indications, with advantages in safety and efficacy. Awareness of age-specific adaptations in MRI technique can optimize image quality. Gadolinium-based contrast media are recommended for enhancing imaging quality. The choice of most appropriate contrast medium should be based on criteria of safety, tolerability, and efficacy, characterized in age-specific clinical trials and personal experience.

摘要

磁共振成像(MRI),通常需进行对比增强,是儿童多种适应症的首选成像方式。各中心之间的实践差异很大,这反映了变化的快速步伐以及进一步研究的必要性。例如,关于造影剂选择的指南变化需要持续的实践重新评估。本文回顾了儿科对比增强MRI的最新进展,并就当前的最佳实践提出建议。来自国际认可的放射学中心的九位顶尖儿科放射学家在法国波尔多召开了一次共识会议,讨论对比增强MRI在儿童一系列适应症中的应用。文献回顾表明,很少有已发表的数据为儿科MRI的最佳实践提供指导。专家们的讨论得出结论,对于许多适应症,MRI优于电离辐射成像方式,在安全性和有效性方面具有优势。了解MRI技术中针对特定年龄的调整可以优化图像质量。推荐使用钆基造影剂来提高成像质量。最合适的造影剂选择应基于安全性、耐受性和有效性标准,这些标准在特定年龄的临床试验和个人经验中有所体现。

https://cdn.ncbi.nlm.nih.gov/pmc/blobs/a496/4089734/6ebc6fed1b91/mri-6-2013-095f1.jpg

文献AI研究员

20分钟写一篇综述,助力文献阅读效率提升50倍。

立即体验

用中文搜PubMed

大模型驱动的PubMed中文搜索引擎

马上搜索

文档翻译

学术文献翻译模型,支持多种主流文档格式。

立即体验