Bhargava Ravi, Noga Michelle
Department of Radiology and Diagnostic Imaging, Stollery Children's Hospital, University of Alberta, Edmonton, Alberta, Canada.
Magn Reson Insights. 2013 Feb 6;6:1-12. doi: 10.4137/MRI.S10996. eCollection 2013.
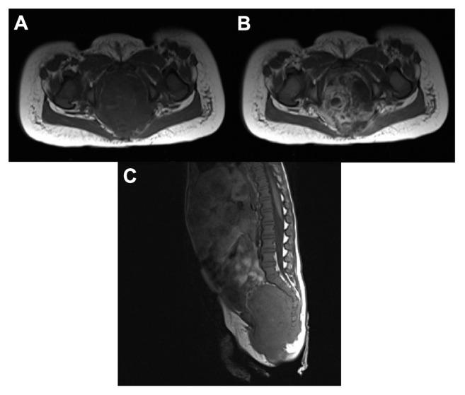
Gadobutrol is a 1-molar gadolinium-based contrast agent with well-characterized safety and efficacy for magnetic resonance imaging (MRI) in adults and children ≥ 2 years old. This observational study assessed gadobutrol-enhanced MRI in children < 2 years of age. Sixty infants (mean age 11.1 months) underwent MRI using gadobutrol at standard dose of 0.1 mL/kg (0.1 mmol/kg) body weight. MRI examinations included brain, spine, and neck (n = 24), subcutaneous soft tissues (n = 14), chest, abdomen, and pelvis (n = 12), musculoskeletal system (n = 7) and vascular system (n = 3). No patients experienced adverse events related to gadobutrol injection. In 57 patients with confirmed diagnoses, gadobutrol-enhanced MRI provided findings consistent with confirmed pathologies. This study indicates that gadobutrol at a standard dose for MRI is safe in patients aged < 2 years and provides diagnostic information for multiple pathologies.
钆布醇是一种1摩尔浓度的钆基造影剂,在成人和2岁及以上儿童的磁共振成像(MRI)中具有明确的安全性和有效性。这项观察性研究评估了钆布醇增强MRI在2岁以下儿童中的应用。60名婴儿(平均年龄11.1个月)接受了钆布醇MRI检查,标准剂量为0.1 mL/kg(0.1 mmol/kg)体重。MRI检查包括脑、脊柱和颈部(n = 24)、皮下软组织(n = 14)、胸部、腹部和骨盆(n = 12)、肌肉骨骼系统(n = 7)和血管系统(n = 3)。没有患者发生与钆布醇注射相关的不良事件。在57例确诊患者中,钆布醇增强MRI提供的结果与确诊的病理情况一致。这项研究表明,用于MRI的标准剂量钆布醇在2岁以下患者中是安全的,并可为多种病理情况提供诊断信息。