Suppr超能文献

间质性肺疾病中的肺上皮细胞损伤与泛素阳性肺上皮细胞

Pneumocyte injury and ubiquitin-positive pneumocytes in interstitial lung diseases.

作者信息

Yamada Tsutomu, Kawabata Yoshinori

机构信息

Department of Pathology, Nihon University School of Medicine, Tokyo, Japan.

出版信息

Histopathology. 2015 Jan;66(2):161-72. doi: 10.1111/his.12528. Epub 2014 Oct 30.

Abstract

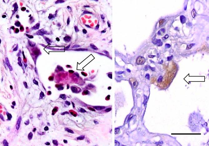
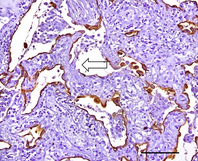
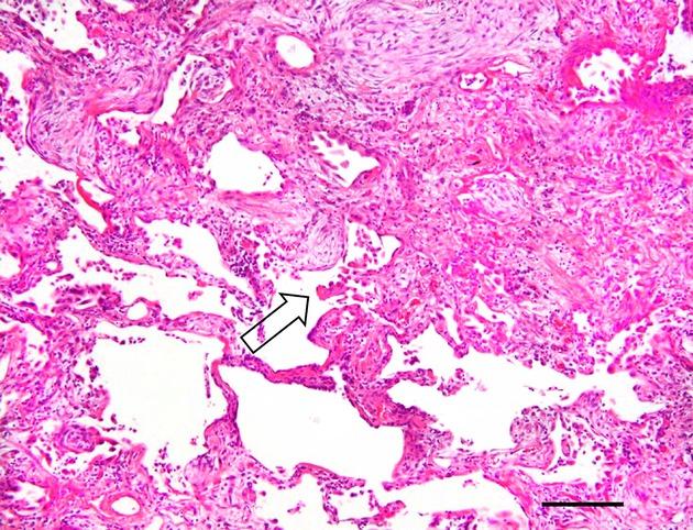
Pneumocyte injury is a characteristic of pulmonary interstitial pneumonias (IPs). Histological markers of pneumocyte injury and inflammation include pneumocyte necrosis, erosion, hyaline membrane and fibrin exudation with subsequent intraluminal granulation tissue formation. We found that intracytoplasmic inclusions in pneumocytes are ubiquitin-positive (Ub(+) ) and that the number of Ub(+) pneumocytes shows positive correlation with the extent of diffuse alveolar damage (DAD). To determine the role of Ub(+) pneumocytes and inclusions in IPs, we studied their relationship with pathological and clinical features of DAD, usual interstitial pneumonia (UIP) and organizing pneumonia (OP), including airspace enlargement with fibrosis (AEF). We analysed Ub(+) pneumocytes, inclusions, erosions and intraluminal granulation tissue in relation to pneumocyte injury. The numbers of immunohistochemically identified Ub(+) inclusions in each IP were higher than the number of inclusions detected by light microscopy. The inclusions detected by Ub(+) immunostaining were identical to the inclusions observed by light microscopy. UIP and DAD had many Ub(+) inclusions, while OP and AEF had fewer Ub(+) inclusions. These results suggest that the extent of Ub(+) inclusions reflects the severity of pneumocyte injury among IPs. Thus, Ub(+) inclusions are a histological marker of pneumocyte injury that may be helpful in determining the severity and prognosis of IPs.

摘要

肺细胞损伤是肺间质性肺炎(IPs)的一个特征。肺细胞损伤和炎症的组织学标志物包括肺细胞坏死、糜烂、透明膜和纤维蛋白渗出,随后形成管腔内肉芽组织。我们发现肺细胞内的包涵体是泛素阳性(Ub(+)),并且Ub(+)肺细胞的数量与弥漫性肺泡损伤(DAD)的程度呈正相关。为了确定Ub(+)肺细胞和包涵体在IPs中的作用,我们研究了它们与DAD、普通间质性肺炎(UIP)和机化性肺炎(OP)的病理和临床特征的关系,包括伴有纤维化的气腔扩大(AEF)。我们分析了与肺细胞损伤相关的Ub(+)肺细胞、包涵体、糜烂和管腔内肉芽组织。每个IP中免疫组化鉴定的Ub(+)包涵体数量高于光学显微镜检测到的包涵体数量。通过Ub(+)免疫染色检测到的包涵体与光学显微镜观察到的包涵体相同。UIP和DAD有许多Ub(+)包涵体,而OP和AEF的Ub(+)包涵体较少。这些结果表明,Ub(+)包涵体的程度反映了IPs中肺细胞损伤的严重程度。因此,Ub(+)包涵体是肺细胞损伤的组织学标志物,可能有助于确定IPs的严重程度和预后。

https://cdn.ncbi.nlm.nih.gov/pmc/blobs/d350/4329384/8025531e4780/his0066-0161-f1.jpg

文献AI研究员

20分钟写一篇综述,助力文献阅读效率提升50倍。

立即体验

用中文搜PubMed

大模型驱动的PubMed中文搜索引擎

马上搜索

文档翻译

学术文献翻译模型,支持多种主流文档格式。

立即体验