Suppr超能文献

Urinary bladder radiotherapy-related chondroblastic osteosarcoma: Rare case report and review of literature.

作者信息

Almadani Noorah, Alsaad Khaled O, Al-Matrafi Hamoud, Al Hadab Abdulrahman, Abdullah Nouf, AlKushi Abdulmohsen

机构信息

Department of Pathology and Laboratory Medicine, King Abdulaziz Medical City and College of Medicine, King Saud University for Health Sciences, Riyadh, Saudi Arabia.

Department of Surgery, Section of Urology, King Abdulaziz Medical City and College of Medicine, King Saud University for Health Sciences, Riyadh, Saudi Arabia.

出版信息

Urol Ann. 2014 Jul;6(3):247-50. doi: 10.4103/0974-7796.134289.

Abstract

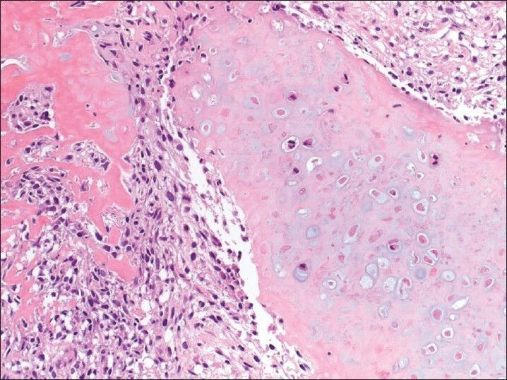
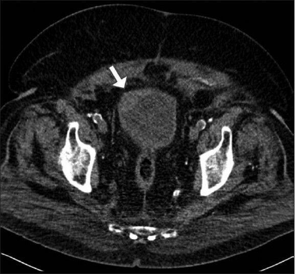
Radiation-related osteosarcomas are well described malignant mesenchymal neoplasms, yet their pathogenesis is not fully understood. They are generally classified into either skeletal osteosarcomas, or their and rare soft tissue counterpart. The occurrence of osteosarcoma in the urinary bladder (UB) following radiotherapy is exceedingly rare. To the best of our knowledge, only two cases of radiation-related urinary bladder osteosarcoma have been published; we herein describe another case of an 85-year-old man who developed post radiotherapy chondroblastic osteosarcoma of the urinary bladder four years following initial surgical resection and radiotherapy for bladder urothelial carcinoma. We believe that this is the first case of radiation-related chondroblastic osteosarcoma arising in the urinary bladder. In addition, we review the literature and explore the possible histogenesis of this rare neoplasm.

摘要
https://cdn.ncbi.nlm.nih.gov/pmc/blobs/ba8a/4127865/6136e037bf28/UA-6-247-g001.jpg

文献AI研究员

20分钟写一篇综述,助力文献阅读效率提升50倍。

立即体验

用中文搜PubMed

大模型驱动的PubMed中文搜索引擎

马上搜索

文档翻译

学术文献翻译模型,支持多种主流文档格式。

立即体验