Akimoto Tetsu, Otani Naoko, Takeshima Eri, Saito Osamu, Kusano Eiji, Nagata Daisuke
Division of Nephrology, Department of Internal Medicine, Jichi Medical University, Tochigi, Japan.
Clin Med Insights Case Rep. 2014 Jul 29;7:67-70. doi: 10.4137/CCRep.S16312. eCollection 2014.
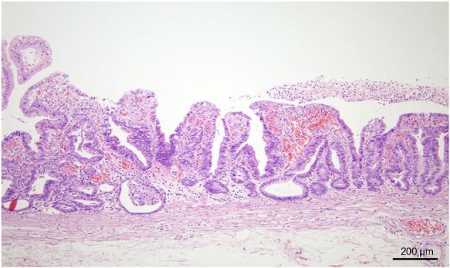
Renal biopsy is one of the pivotal diagnostic tools used in the field of nephrology. A morphological analysis of the kidney may also be of value for the overall management of patients with diabetic nephropathy. However, the indications for renal biopsy differ considerably among nephrologists, and no global consensus regarding performing this procedure among diabetic patients with various renal manifestations has yet been achieved. In this report, we would like to describe our serendipitous experience with a male type 2 diabetic patient presenting with nephrotic syndrome complicated by concurrent gastric carcinoma. We also discuss several conundrums that arose in the current case, which had an impact on our diagnostic and therapeutic decisions.
肾活检是肾脏病领域使用的关键诊断工具之一。肾脏的形态学分析对于糖尿病肾病患者的整体管理也可能具有价值。然而,肾活检的指征在肾脏病医生之间差异很大,对于患有各种肾脏表现的糖尿病患者进行该操作尚未达成全球共识。在本报告中,我们想描述我们偶然遇到的一名患有肾病综合征并并发胃癌的2型糖尿病男性患者的经历。我们还讨论了当前病例中出现的几个难题,这些难题对我们的诊断和治疗决策产生了影响。