Suppr超能文献

一名系统性红斑狼疮患者的脑曲霉菌瘤:病例报告及简短文献综述

Cerebral aspergilloma in a SLE patient: A case report with short literature review.

作者信息

Chowdhury Forhad Hossain, Haque Mohammod Raziul, Khan Shafiqul Kabir, Alam Sarwar Morshed

机构信息

Department of Neurosurgery, Dhaka Medical College Hospital, Dhaka, Bangladesh.

出版信息

Asian J Neurosurg. 2014 Apr;9(2):58-61. doi: 10.4103/1793-5482.136710.

Abstract

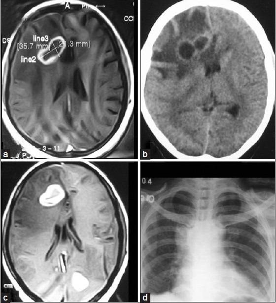
Aspergillosis of brain is very rare, and commonly seen in immunocompromised or immunosuppressed patient. Here, we report a cerebral aspergillosis condition in a late teen girl who is a Systemic Lupus Erythromatosis patient with steroid therapy. She developed headaches, vomitings, and convulsions. On the basis of clinical and neuroimaging, a diagnosis of cerebral tuberculoma was made, and she was put on anti-TB therapy, but she did not respond. Later, surgical partial excision biopsy confirmed the diagnosis. Her cerebral lesions responded with antifungal itraconazole therapy. The case will be presented with short literature review. Such a report in the literature is rare.

摘要

脑曲霉病非常罕见,常见于免疫功能低下或免疫抑制的患者。在此,我们报告一名十几岁晚期女孩的脑曲霉病病例,她是一名接受类固醇治疗的系统性红斑狼疮患者。她出现了头痛、呕吐和抽搐症状。基于临床和神经影像学检查,诊断为脑结核瘤,并给予抗结核治疗,但她没有反应。后来,手术部分切除活检确诊了病情。她的脑部病变对抗真菌药物伊曲康唑治疗有反应。该病例将结合简短的文献综述进行介绍。此类文献报道很少见。

https://cdn.ncbi.nlm.nih.gov/pmc/blobs/9880/4129578/5c1a7b23413a/AJNS-9-58-g001.jpg

文献AI研究员

20分钟写一篇综述,助力文献阅读效率提升50倍。

立即体验

用中文搜PubMed

大模型驱动的PubMed中文搜索引擎

马上搜索

文档翻译

学术文献翻译模型,支持多种主流文档格式。

立即体验