Bonagiri Pranay R, Raman Anjalee, Hassan Sharjeel, Ramsey Andrea
Internal Medicine, Scripps Mercy Hospital, San Diego, USA.
Internal Medicine, Touro University California, Vallejo, USA.
Cureus. 2024 Jun 9;16(6):e62018. doi: 10.7759/cureus.62018. eCollection 2024 Jun.
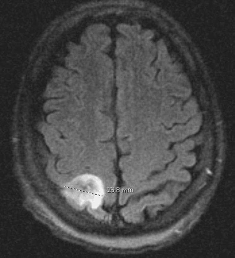
Glucocorticoids are ubiquitously used by physicians for a myriad of diseases. Though powerful and potentially lifesaving, sometimes the dangerous side effects are not at the forefront of our medical decision-making. By immunosuppressing patients, glucocorticoids can place patients at increased risk for not only the metabolic effects of chronic glucocorticoid use but also increased risk for opportunistic infections. Patients at increased risk include those on prolonged courses or those that require high doses. We report a case of a 34-year-old man who was initiated on glucocorticoids for an unknown rheumatologic disease and presented with generalized weakness, fatigue, nausea, and vomiting. The patient experienced a seizure, which prompted head imaging. A mass was found and eventually biopsied, which was notable for The patient was initiated on antifungals for CNS aspergillosis and recovered.
糖皮质激素被医生广泛用于治疗多种疾病。尽管其作用强大且可能挽救生命,但有时其危险的副作用并非我们医疗决策的首要考虑因素。通过抑制患者的免疫系统,糖皮质激素不仅会使患者面临长期使用糖皮质激素带来的代谢影响的风险增加,还会增加机会性感染的风险。风险增加的患者包括那些接受长期治疗或需要高剂量治疗的患者。我们报告一例34岁男性病例,该患者因不明风湿病开始使用糖皮质激素,随后出现全身无力、疲劳、恶心和呕吐。患者发生了癫痫发作,这促使进行头部影像学检查。发现了一个肿块并最终进行了活检,结果显示……患者开始接受抗真菌药物治疗中枢神经系统曲霉菌病并康复。