Elzouki Abdel-Naser, Elkhider Hisham, Yacout Khalid, Al Muzrakchi Ahmed, Al-Thani Shaikah, Ismail Omer
Department of Medicine, Hamad General Hospital, Hamad Medical Corporation, Doha, Qatar.
Department of Medicine, Hamad General Hospital, Hamad Medical Corporation, Dohaa, Qatar.
Am J Case Rep. 2014 Aug 17;15:343-7. doi: 10.12659/AJCR.890661.
Male, 66.
Hepatocellular carcinoma.
Abdominal distension • painful right facial swelling • weight loss.
-.
-.
-.
Rare disease.
Hepatocellular carcinoma is a common cancer, but it rarely metastasizes to the salivary glands. A review of the literature revealed only 5 reported cases of hepatocellular carcinoma metastatic to parotid glands. We here report an additional case of this rare association.
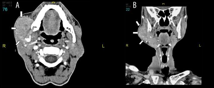
A 66-year-old male with a background of type 2 diabetes mellitus and post-alcoholic decompensated liver cirrhosis presented with a progressively enlarging painful right facial swelling for 2 months that was eventually found to be due to hepatocellular carcinoma metastatic to the right parotid gland. Fine needle aspiration from the right parotid showed sheets and single malignant cells that were interpreted as carcinoma not otherwise specific. However, biopsy showed metastatic hepatocellular carcinoma into the right parotid gland.
We report an additional case of the rare metastasis of hepatocellular carcinoma to the parotid glands. It should therefore be considered in a patient with decompensated liver cirrhosis presenting with a parotid swelling. Furthermore, the present case demonstrates the importance of the tissue biopsy for obtaining an accurate final diagnosis.
男性,66岁。
肝细胞癌。
腹胀、右侧面部疼痛性肿胀、体重减轻。
无。
无。
无。
罕见病。
肝细胞癌是一种常见癌症,但很少转移至唾液腺。文献回顾显示,仅有5例肝细胞癌转移至腮腺的报道。我们在此报告另外1例这种罕见的关联病例。
一名66岁男性,有2型糖尿病和酒精性失代偿期肝硬化病史,右侧面部逐渐增大的疼痛性肿胀2个月,最终发现是由于肝细胞癌转移至右侧腮腺。右侧腮腺细针穿刺显示成片及单个恶性细胞,诊断为非特异性癌。然而,活检显示为转移性肝细胞癌累及右侧腮腺。
我们报告另外1例肝细胞癌转移至腮腺的罕见病例。因此,对于出现腮腺肿胀的失代偿期肝硬化患者应考虑到这种情况。此外,本例表明组织活检对于获得准确的最终诊断很重要。