Suppr超能文献

CT灌注成像在头颈部鳞状细胞癌治疗反应监测及预测中的作用

Role of CT perfusion in monitoring and prediction of response to therapy of head and neck squamous cell carcinoma.

作者信息

Preda Lorenzo, Calloni Sonia Francesca, Moscatelli Marco Elvio Manlio, Cossu Rocca Maria, Bellomi Massimo

机构信息

Division of Radiology, European Institute of Oncology, University of Milan, Via Ripamonti 435, 20141 Milan, Italy.

Division of Radiology, European Institute of Oncology, University of Milan, Via Ripamonti 435, 20141 Milan, Italy ; University of Milan, Via Festa del Perdono 7, 20122 Milan, Italy.

出版信息

Biomed Res Int. 2014;2014:917150. doi: 10.1155/2014/917150. Epub 2014 Jul 21.

Abstract

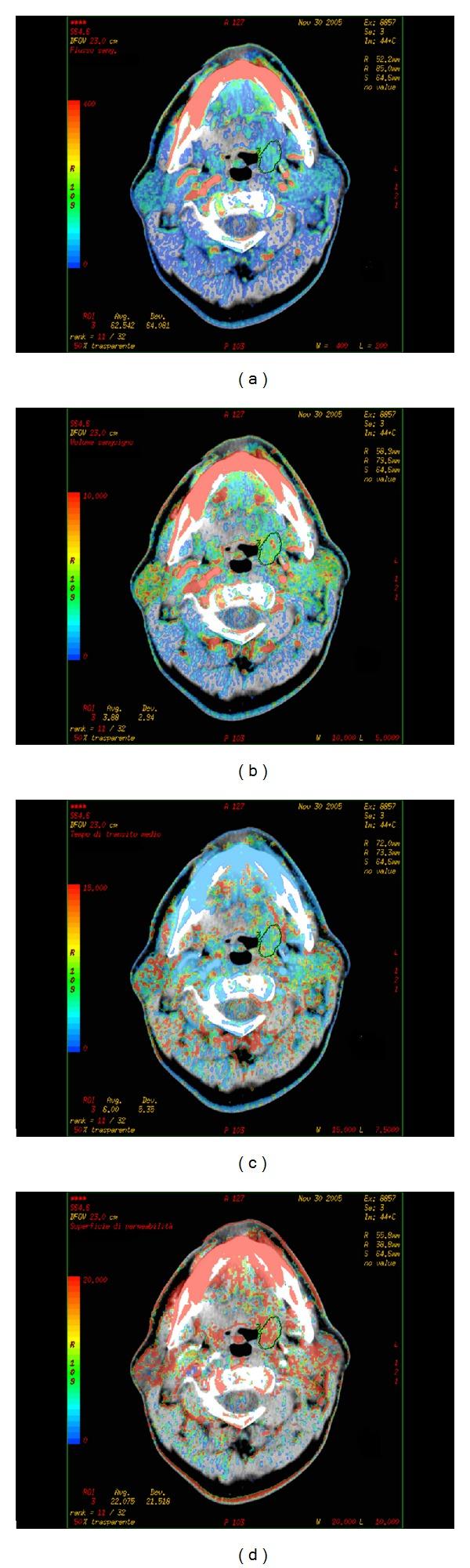
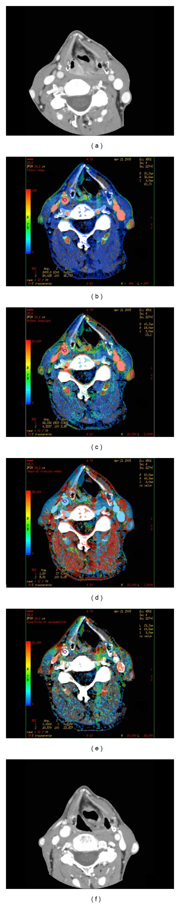
This review aims to summarize the technique and clinical applications of CT perfusion (CTp) of head and neck cancer. The most common pathologic type (90%) of head and neck cancer is squamous cell carcinoma (HNSCC): its diagnostic workup relies on CT and MRI, as they provide an accurate staging for the disease by determining tumour volume, assessing its extension, and detecting of lymph node metastases. Compared with conventional CT and MRI, CTp allows for obtaining measures of tumour vascular physiology and functional behaviour, and it has been demonstrated to be a feasible and useful tool in predicting local outcomes in patients undergoing radiation therapy and chemotherapy and may help monitor both treatments.

摘要

本综述旨在总结头颈部癌CT灌注(CTp)技术及其临床应用。头颈部癌最常见的病理类型(90%)是鳞状细胞癌(HNSCC):其诊断检查依赖于CT和MRI,因为它们通过确定肿瘤体积、评估其范围以及检测淋巴结转移为疾病提供准确分期。与传统CT和MRI相比,CTp能够获取肿瘤血管生理学和功能行为的相关测量值,并且已被证明是预测接受放疗和化疗患者局部预后的一种可行且有用的工具,还可能有助于监测这两种治疗。

https://cdn.ncbi.nlm.nih.gov/pmc/blobs/0e98/4129140/0f4310570902/BMRI2014-917150.001.jpg

相似文献

1
Role of CT perfusion in monitoring and prediction of response to therapy of head and neck squamous cell carcinoma.
Biomed Res Int. 2014;2014:917150. doi: 10.1155/2014/917150. Epub 2014 Jul 21.
2
Perfusion CT of head and neck cancer.
Eur J Radiol. 2014 Mar;83(3):537-44. doi: 10.1016/j.ejrad.2013.12.008. Epub 2013 Dec 16.
3
Head and neck squamous cell carcinoma: CT perfusion can help noninvasively predict intratumoral microvessel density.
Radiology. 2009 May;251(2):422-8. doi: 10.1148/radiol.2512080743. Epub 2009 Mar 10.
4
CT perfusion can predict overexpression of CXCL8 (interleukin-8) in head and neck squamous cell carcinoma.
AJNR Am J Neuroradiol. 2013 Dec;34(12):2338-42. doi: 10.3174/ajnr.A3610. Epub 2013 Jul 4.
5
Prediction of locoregional control in head and neck squamous cell carcinoma with serial CT perfusion during radiotherapy.
AJNR Am J Neuroradiol. 2011 Aug;32(7):1195-201. doi: 10.3174/ajnr.A2501. Epub 2011 Jul 14.
10

引用本文的文献

2
Dynamic contrast-enhanced computed tomography in dogs with nasal tumors.
J Vet Intern Med. 2023 May-Jun;37(3):1146-1154. doi: 10.1111/jvim.16722. Epub 2023 Apr 24.
3
Improving radiation physics, tumor visualisation, and treatment quantification in radiotherapy with spectral or dual-energy CT.
J Appl Clin Med Phys. 2022 Jan;23(1):e13468. doi: 10.1002/acm2.13468. Epub 2021 Nov 7.
5
Dual-energy CT perfusion imaging for differentiating WHO subtypes of thymic epithelial tumors.
Sci Rep. 2020 Mar 26;10(1):5511. doi: 10.1038/s41598-020-62466-1.
6
Elastic scattering spectroscopy for monitoring skin cancer transformation and therapy in the near infrared window.
Lasers Med Sci. 2020 Apr;35(3):701-708. doi: 10.1007/s10103-019-02894-2. Epub 2019 Oct 23.
7
Combining Radiotherapy With Anti-angiogenic Therapy and Immunotherapy; A Therapeutic Triad for Cancer?
Front Immunol. 2019 Jan 14;9:3107. doi: 10.3389/fimmu.2018.03107. eCollection 2018.
10
Validation of functional imaging as a biomarker for radiation treatment response.
Br J Radiol. 2015 Jul;88(1051):20150014. doi: 10.1259/bjr.20150014. Epub 2015 May 29.

本文引用的文献

1
Perfusion CT of head and neck cancer.
Eur J Radiol. 2014 Mar;83(3):537-44. doi: 10.1016/j.ejrad.2013.12.008. Epub 2013 Dec 16.
3
Biologic imaging of head and neck cancer: the present and the future.
AJNR Am J Neuroradiol. 2012 Apr;33(4):586-94. doi: 10.3174/ajnr.A2535. Epub 2011 Dec 22.
4
Prediction of locoregional control in head and neck squamous cell carcinoma with serial CT perfusion during radiotherapy.
AJNR Am J Neuroradiol. 2011 Aug;32(7):1195-201. doi: 10.3174/ajnr.A2501. Epub 2011 Jul 14.
5
Perfusion CT of head and neck cancer: effect of arterial input selection.
AJR Am J Roentgenol. 2011 Jun;196(6):1374-80. doi: 10.2214/AJR.10.5343.
6
Oropharyngeal squamous cell carcinoma: a unique disease on the rise?
Oral Oncol. 2010 Nov;46(11):780-5. doi: 10.1016/j.oraloncology.2010.08.011.
7
Perfusion CT in solid body-tumours. Part II: Clinical applications and future development.
Radiol Med. 2010 Sep;115(6):858-74. doi: 10.1007/s11547-010-0545-9. Epub 2010 Mar 9.
8
CT perfusion in solid-body tumours. Part I: Technical issues.
Radiol Med. 2010 Sep;115(6):843-57. doi: 10.1007/s11547-010-0519-y. Epub 2010 Feb 22.
9
CT perfusion in oncology: how to do it.
Cancer Imaging. 2010 Feb 11;10(1):8-19. doi: 10.1102/1470-7330.2010.0001.

文献AI研究员

20分钟写一篇综述,助力文献阅读效率提升50倍。

立即体验

用中文搜PubMed

大模型驱动的PubMed中文搜索引擎

马上搜索

文档翻译

学术文献翻译模型,支持多种主流文档格式。

立即体验