Suppr超能文献

腹膜后胃肠道外间质瘤:影像学与病理对照

Retroperitoneal extragastrointestinal stromal tumor: radiologic pathologic correlation.

作者信息

Watal Pankaj, Brahmbhatt Swetang G, Thoriya Prashant J, Bahri Nandini U

机构信息

Department of Radiodiagnosis, MP Shah Government Medical College, Jamnagar, Gujarat, India.

出版信息

J Clin Imaging Sci. 2014 Jun 30;4:34. doi: 10.4103/2156-7514.135484. eCollection 2014.

Abstract

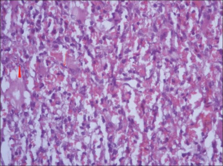
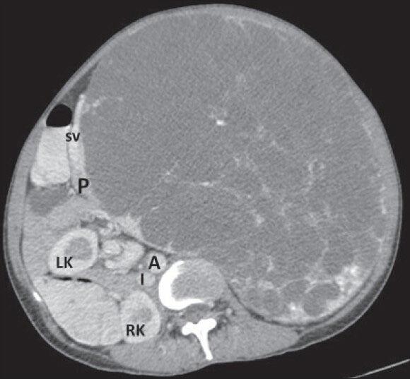
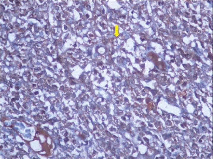
Neoplasms with histology and immunohistochemistry similar to gastrointestinal stromal tumors may occur primarily outside the gastrointestinal tract, usually in the omentum and mesentery. These are referred to as extragastrointestinal stromal tumors (EGISTs). Retroperitoneum is a very rare site for such neoplasms. We report a patient with EGIST in the retroperitoneum, elaborating the cross-sectional imaging and histopathologic findings.

摘要

组织学和免疫组化与胃肠道间质瘤相似的肿瘤可能主要发生在胃肠道外,通常位于大网膜和肠系膜。这些被称为胃肠道外间质瘤(EGISTs)。腹膜后是这类肿瘤非常罕见的发生部位。我们报告一例腹膜后EGIST患者,并详细阐述其横断面成像和组织病理学表现。

https://cdn.ncbi.nlm.nih.gov/pmc/blobs/91ba/4142468/172818a949c4/JCIS-4-34-g002.jpg

文献AI研究员

20分钟写一篇综述,助力文献阅读效率提升50倍。

立即体验

用中文搜PubMed

大模型驱动的PubMed中文搜索引擎

马上搜索

文档翻译

学术文献翻译模型,支持多种主流文档格式。

立即体验