Suppr超能文献

从传统托槽系统到自锁托槽系统:能否将使用前者的经验应用于后者?

From conventional to self-ligating bracket systems: is it possible to aggregate the experience with the former to the use of the latter?

作者信息

Capistrano Anderson, Cordeiro Aldir, Siqueira Danilo Furquim, Capelozza Filho Leopoldino, Cardoso Mauricio de Almeida, Almeida-Pedrin Renata Rodrigues de

出版信息

Dental Press J Orthod. 2014 May-Jun;19(3):139-57. doi: 10.1590/2176-9451.19.3.139-157.sar.

Abstract

INTRODUCTION

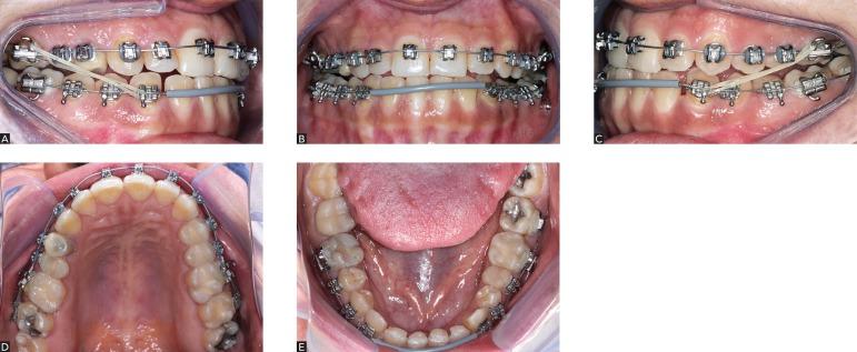
Orthodontics, just as any other science, has undergone advances in technology that aim at improving treatment efficacy with a view to reducing treatment time, providing patients with comfort, and achieving the expected, yet hardly attained long-term stability. The current advances in orthodontic technology seem to represent a period of transition between conventional brackets (with elastic modules) and self-ligating brackets systems. Scientific evidence does not always confirm the clear clinical advantages of the self-ligating system, particularly with regard to reduced time required for alignment and leveling (a relatively simple protocol), greater comfort for patients, and higher chances of performing treatment without extractions - even though the number of extractions is more closely related to patient's facial morphological pattern, regardless of the technique of choice. Orthodontics has recently and brilliantly used bracket individualization in compensatory treatment with a view to improving treatment efficacy with lower biological costs and reduced treatment time.

OBJECTIVE

This paper aims at presenting a well-defined protocol employed to produce a better treatment performance during this period of technological transition. It explores the advantages of each system, particularly with regards to reduced treatment time and increased compensatory tooth movement in adult patients. It particularly addresses compensable Class III malocclusions, comparing the self-ligating brackets system, in which greater expansive and protrusive tooth movement (maxillary arch) is expected, with Capelozza Prescription III conventional brackets, in which maintaining the original form of the arch (mandibular arch) with as little changes as possible is key to yield the desired results.

摘要

引言

正畸学与其他任何学科一样,经历了技术进步,其目的是提高治疗效果,以缩短治疗时间,为患者提供舒适感,并实现预期但难以达到的长期稳定性。正畸技术的当前进步似乎代表了传统托槽(带弹性组件)和自锁托槽系统之间的过渡时期。科学证据并不总是能证实自锁系统的明显临床优势,特别是在排齐整平所需时间减少(相对简单的方案)、患者舒适度提高以及不拔牙进行治疗的可能性更大方面——尽管拔牙数量与患者的面部形态模式关系更为密切,而与所选技术无关。正畸学最近出色地将托槽个性化应用于代偿性治疗,以较低的生物学成本和缩短的治疗时间提高治疗效果。

目的

本文旨在介绍一种明确的方案,用于在这一技术过渡时期实现更好的治疗效果。它探讨了每种系统的优势,特别是在缩短成年患者治疗时间和增加代偿性牙齿移动方面。它特别针对可代偿的III类错牙合畸形,比较自锁托槽系统(预期上颌弓有更大的扩弓和前突牙齿移动)与卡佩洛扎III型传统托槽(尽可能少地改变下颌弓的原始形态以获得理想效果的关键)。

https://cdn.ncbi.nlm.nih.gov/pmc/blobs/f2b7/4296614/80f291f9536a/dpjo-19-03-0139-g01.jpg

文献AI研究员

20分钟写一篇综述,助力文献阅读效率提升50倍。

立即体验

用中文搜PubMed

大模型驱动的PubMed中文搜索引擎

马上搜索

文档翻译

学术文献翻译模型,支持多种主流文档格式。

立即体验