Suppr超能文献

肾瘤:一种由肾素介导的高血压的不常见病因。

Reninoma: an uncommon cause of Renin-mediated hypertension.

机构信息

Department of Paediatrics and Child Health, The University of Queensland , Brisbane, QLD , Australia ; Department of Paediatrics, Mater Children's Hospital , Brisbane, QLD , Australia.

Department of Paediatrics, Mater Children's Hospital , Brisbane, QLD , Australia.

出版信息

Front Pediatr. 2014 Aug 15;2:89. doi: 10.3389/fped.2014.00089. eCollection 2014.

Abstract

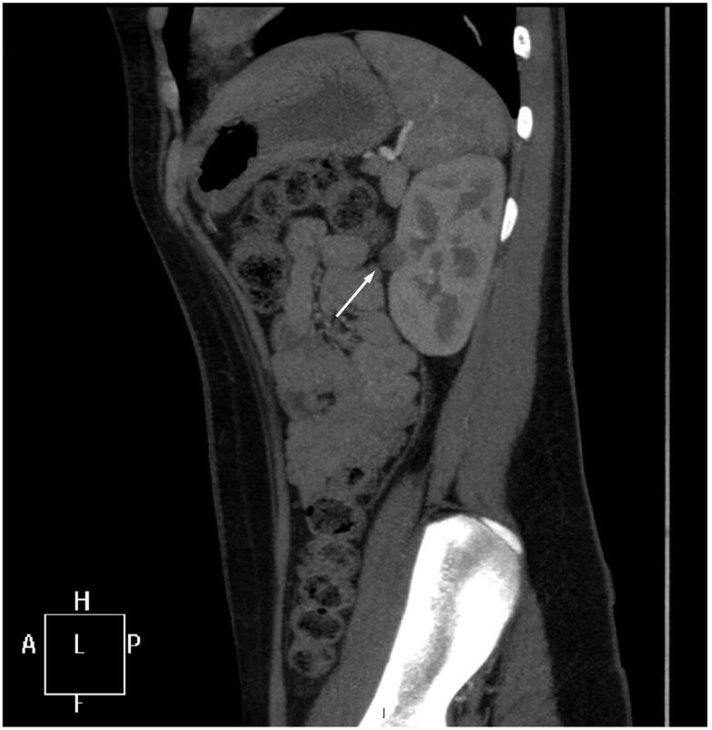
Reninoma (juxtaglomerular cell tumor) is a rare cause of renin-mediated hypertension. Reninomas are usually diagnosed in adolescents and young adults with occasional reports in younger children. Patients typically present with a long history of headaches leading to a diagnosis of severe hypertension that responds well to antihypertensive treatment targeting the renin-angiotensin-aldosterone system. The clue to clinical diagnosis is the presence of hypokalemia and metabolic alkalosis on the first blood sample drawn before any treatment is instituted. Elevated blood levels of renin and aldosterone confirm the clinical suspicion of renin-mediated hypertension. Diagnostic imaging is employed to identify the source of excessive renin production. While renal ultrasound can miss reninoma, contrast CT or magnetic resonance imaging of the kidneys are diagnostic modalities of choice leading to the correct diagnosis. Renal vein renin sampling with lateralization might help to identify the site of excessive renin production. Nephron-sparing surgery is curative with maintenance of normal blood pressure after discontinuation of antihypertensive medications in the majority of patients. In this paper, we present the case of reninoma in an adolescent girl emphasizing clinical presentation, diagnostic evaluation, and medical and surgical treatment of this rare tumor. We also discuss important points in the management of children presenting with renin-mediated hypertension.

摘要

肾素瘤(肾小球旁细胞瘤)是一种罕见的肾素介导性高血压的病因。肾素瘤通常在青少年和年轻成人中诊断,偶尔也有报道见于年幼的儿童。患者通常表现为长期头痛史,导致严重的高血压诊断,对针对肾素-血管紧张素-醛固酮系统的降压治疗反应良好。临床诊断的线索是在开始任何治疗之前抽取的第一份血样中存在低钾血症和代谢性碱中毒。升高的血肾素和醛固酮水平证实了肾素介导性高血压的临床怀疑。诊断性影像学检查用于确定过度肾素产生的来源。虽然肾脏超声可能会漏诊肾素瘤,但肾的对比 CT 或磁共振成像则是诊断的首选方法,可明确诊断。肾静脉肾素取样并进行侧化有助于确定过度肾素产生的部位。大多数患者在停止使用降压药物后,保肾手术可治愈,且血压恢复正常。本文介绍了一例青少年女性的肾素瘤病例,重点介绍了该罕见肿瘤的临床表现、诊断评估以及内科和外科治疗。我们还讨论了在治疗表现为肾素介导性高血压的儿童时需要注意的要点。

https://cdn.ncbi.nlm.nih.gov/pmc/blobs/630c/4133731/71e9e78ef2ef/fped-02-00089-g001.jpg

文献AI研究员

20分钟写一篇综述,助力文献阅读效率提升50倍。

立即体验

用中文搜PubMed

大模型驱动的PubMed中文搜索引擎

马上搜索

文档翻译

学术文献翻译模型,支持多种主流文档格式。

立即体验