Basaran Recep, Efendioglu Mustafa, Bolukbasi Fatih Han, Aslan Sahin, Isik Nejat, Kaner Tuncay
Department of Neurosurgery, Dr. Ismail Karakuyu Simav State Hospital, Kutahya, Turkey.
Department of Neurosurgery, Istanbul Medeniyet University Goztepe Education and Research Hospital, Istanbul, Turkey.
Asian Spine J. 2014 Aug;8(4):516-20. doi: 10.4184/asj.2014.8.4.516. Epub 2014 Aug 19.
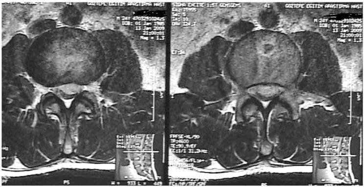
Pseudotumor cerebri is a condition of increased intracranial pressure in the absence of clinical, laboratory or radiological pathology. Spinal intradural hematoma formation after lumboperitoneal shunt (LPS) implantation is very rare, but it can cause sudden and serious deterioration. In this report, we present a patient who developed an intradural hematoma following LPS operation. A 27-year-old male patient suffering from headaches and progressive vision loss was diagnosed with pseudotumor cerebri. He underwent LPS operation in January 2009. Four hours after the operation, he developed urinary and fecal incontinence with paraparesis (1/5). Lumbar magnetic resonance imaging identified an intradural hematoma at the level of L2-L3, and he was reoperated. The intradural hematoma was removed. Physical therapy was started because of paraparesis. Two months later, the patient's muscle strength had increased to 3/5. Surgeons must remember that, LPS implantation can cause a spinal intradural hematoma in a small percentage of patients, with catastrophic results.
假性脑瘤是一种在无临床、实验室或放射学病理改变情况下出现颅内压升高的病症。腰大池腹腔分流术(LPS)植入后发生脊髓硬膜内血肿非常罕见,但可导致病情突然严重恶化。在本报告中,我们介绍了一名在LPS手术后发生硬膜内血肿的患者。一名27岁男性患者,因头痛和进行性视力丧失被诊断为假性脑瘤。他于2009年1月接受了LPS手术。术后4小时,他出现大小便失禁并伴有双下肢轻瘫(肌力1/5)。腰椎磁共振成像显示L2-L3水平存在硬膜内血肿,随后他接受了再次手术,硬膜内血肿被清除。由于双下肢轻瘫,开始进行物理治疗。两个月后,患者肌力增至3/5。外科医生必须牢记,LPS植入在一小部分患者中可导致脊髓硬膜内血肿,后果严重。