Suppr超能文献

支气管炭末沉着症:一种肺部良性肿块病变的新诊断

Bronchial anthracosis: a new diagnosis for benign mass lesions of the lung.

作者信息

Mirsadraee Majid, Asna-Ashari Amir, Attaran Davood, Naghibi Saeed, Mirsadraee Saeed

机构信息

Department of Internal Medicine, Medical school of Islamic Azad University-Mashhad Branch, Iran.

Department of Pulmonary Medicine, Mashhad University of Medical Sciences, Mashhad, Iran.

出版信息

Tanaffos. 2013;12(4):10-8.

Abstract

BACKGROUND

This study aimed to identify the most important new radiological presentations of anthracosis and anthracofibrosis and evaluate the risk ratio for accurate diagnosis of these conditions using computed tomography instead of bronchoscopy.

MATERIALS AND METHODS

This prospective, case-control study evaluated three groups of 70 patients with a bronchoscopic diagnosis of simple anthracosis and anthracofibrosis and 40 patients with a non-anthracotic diagnosis (control group). Bronchoscopy, chest radiographs and computed tomography (CT) (parenchymal and mediastinal windows) were reviewed. Special attention was given to mass lesions, calcified lymph nodes, bronchi and bronchial stenosis.

RESULTS

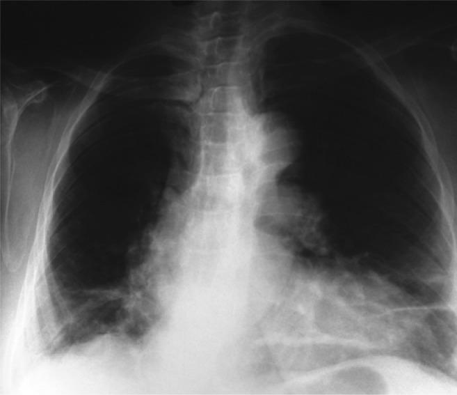
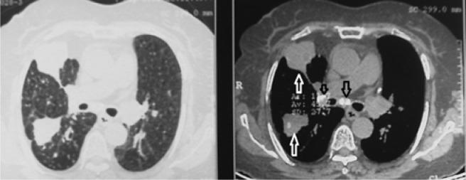
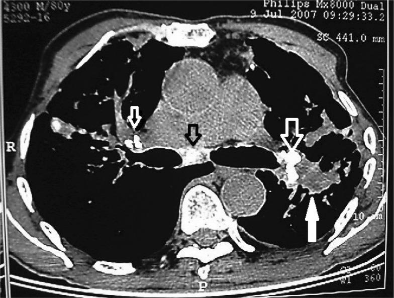
Abnormal chest x-rays were observed in 93% of patients with bronchial anthracofibrosis; patchy consolidation was the most prevalent finding. The most significant CT finding was lymph node calcification (80%, odds ratio = 22.9), followed by bronchial calcification and bronchial stenosis (odds ratio = 6 and 2.91, respectively). Other significant findings were mass-like lesions (14%) and collapse (20%). CT findings were unremarkable in less than 1/6 of subjects.

CONCLUSION

Lymph node and bronchial calcification can serve as accurate signs in diagnosing anthracosis of the lung. In addition, mass lesions, collapse and infiltration may be associated with a benign course.

摘要

背景

本研究旨在确定煤尘肺和煤尘纤维沉着症最重要的新的放射学表现,并评估使用计算机断层扫描而非支气管镜检查准确诊断这些病症的风险比。

材料与方法

这项前瞻性病例对照研究评估了三组患者,其中70例经支气管镜诊断为单纯煤尘肺和煤尘纤维沉着症,40例为非煤尘肺诊断(对照组)。回顾了支气管镜检查、胸部X光片和计算机断层扫描(CT)(实质和纵隔窗)结果。特别关注了肿块病变、钙化淋巴结、支气管和支气管狭窄情况。

结果

93%的支气管煤尘纤维沉着症患者胸部X光片异常;斑片状实变是最常见的表现。最显著的CT表现是淋巴结钙化(80%,优势比=22.9),其次是支气管钙化和支气管狭窄(优势比分别为6和2.91)。其他显著表现为肿块样病变(14%)和肺不张(20%)。不到六分之一的受试者CT表现不明显。

结论

淋巴结和支气管钙化可作为诊断肺部煤尘肺的准确征象。此外,肿块病变、肺不张和浸润可能与良性病程相关。

https://cdn.ncbi.nlm.nih.gov/pmc/blobs/0b69/4153268/be57852bb705/Tanaffos-12-010-g001.jpg

文献AI研究员

20分钟写一篇综述,助力文献阅读效率提升50倍。

立即体验

用中文搜PubMed

大模型驱动的PubMed中文搜索引擎

马上搜索

文档翻译

学术文献翻译模型,支持多种主流文档格式。

立即体验