• 文献检索
  • 文档翻译
  • 深度研究
  • 学术资讯
  • Suppr Zotero 插件Zotero 插件
  • 邀请有礼
  • 套餐&价格
  • 历史记录
应用&插件
Suppr Zotero 插件Zotero 插件浏览器插件Mac 客户端Windows 客户端微信小程序
定价
高级版会员购买积分包购买API积分包
服务
文献检索文档翻译深度研究API 文档MCP 服务
关于我们
关于 Suppr公司介绍联系我们用户协议隐私条款
关注我们

Suppr 超能文献

核心技术专利:CN118964589B侵权必究
粤ICP备2023148730 号-1Suppr @ 2026

文献检索

告别复杂PubMed语法,用中文像聊天一样搜索,搜遍4000万医学文献。AI智能推荐,让科研检索更轻松。

立即免费搜索

文件翻译

保留排版,准确专业,支持PDF/Word/PPT等文件格式,支持 12+语言互译。

免费翻译文档

深度研究

AI帮你快速写综述,25分钟生成高质量综述,智能提取关键信息,辅助科研写作。

立即免费体验

颊黏膜口腔淋巴管瘤:一例罕见病例报告

Oral lymphangioma of the buccal mucosa a rare case report.

作者信息

Yoganna Saligrama Seema, Rajendra Prasad Rame Gowda, Sekar B

机构信息

Consultant Oral Pathologist, Sarawathipuram, Mysore, India.

Department of Oral Surgery, JSS Dental College, JSS University, Mysore, India.

出版信息

J Pharm Bioallied Sci. 2014 Jul;6(Suppl 1):S188-91. doi: 10.4103/0975-7406.137465.

DOI:10.4103/0975-7406.137465
PMID:25210370
原文链接:https://pmc.ncbi.nlm.nih.gov/articles/PMC4157266/
Abstract

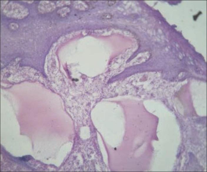
The lymphangioma are benign hamartomatous tumors of lymphatic vessels that arises from the sequestration of lymphatic that fails to communicate with the lymphatic system. Most common intra oral site being the anterior two-thirds of tongue, usually superficial in location and demonstrates a pebbly surface that resembles a cluster of translucent vesicles, they are typically soft and fluctuant masses. Secondary hemorrhage into the lymphatic spaces may cause some of these vesicles to become purple. They have been known to grow to large size causing difficulties in mastication and speech. A variant of lymphangioma is cystic hygroma grows as lymphatic anomaly found in the neck commonly present with significant airway obstruction. We present a rare case of lymphangioma affecting the buccal mucosa of a 14-year-old male.

摘要

淋巴管瘤是淋巴管的良性错构瘤性肿瘤,由与淋巴系统不连通的淋巴管隔离形成。口腔内最常见的部位是舌前三分之二,通常位于浅表,表面呈卵石样,类似一簇半透明水疱,通常为柔软且有波动感的肿块。淋巴管间隙内的继发性出血可能导致部分水疱变为紫色。已知它们可长得很大,导致咀嚼和言语困难。淋巴管瘤的一种变异型是囊状水瘤,作为一种淋巴管异常在颈部生长,通常伴有严重气道梗阻。我们报告一例罕见的淋巴管瘤累及一名14岁男性颊黏膜的病例。

https://cdn.ncbi.nlm.nih.gov/pmc/blobs/b893/4157266/17b49eec9b70/JPBS-6-188-g006.jpg
https://cdn.ncbi.nlm.nih.gov/pmc/blobs/b893/4157266/9d80cd7d37af/JPBS-6-188-g001.jpg
https://cdn.ncbi.nlm.nih.gov/pmc/blobs/b893/4157266/d3047928ef6e/JPBS-6-188-g002.jpg
https://cdn.ncbi.nlm.nih.gov/pmc/blobs/b893/4157266/4db814006bca/JPBS-6-188-g003.jpg
https://cdn.ncbi.nlm.nih.gov/pmc/blobs/b893/4157266/35a80526a672/JPBS-6-188-g004.jpg
https://cdn.ncbi.nlm.nih.gov/pmc/blobs/b893/4157266/c31fa188bc3b/JPBS-6-188-g005.jpg
https://cdn.ncbi.nlm.nih.gov/pmc/blobs/b893/4157266/17b49eec9b70/JPBS-6-188-g006.jpg
https://cdn.ncbi.nlm.nih.gov/pmc/blobs/b893/4157266/9d80cd7d37af/JPBS-6-188-g001.jpg
https://cdn.ncbi.nlm.nih.gov/pmc/blobs/b893/4157266/d3047928ef6e/JPBS-6-188-g002.jpg
https://cdn.ncbi.nlm.nih.gov/pmc/blobs/b893/4157266/4db814006bca/JPBS-6-188-g003.jpg
https://cdn.ncbi.nlm.nih.gov/pmc/blobs/b893/4157266/35a80526a672/JPBS-6-188-g004.jpg
https://cdn.ncbi.nlm.nih.gov/pmc/blobs/b893/4157266/c31fa188bc3b/JPBS-6-188-g005.jpg
https://cdn.ncbi.nlm.nih.gov/pmc/blobs/b893/4157266/17b49eec9b70/JPBS-6-188-g006.jpg

相似文献

1
Oral lymphangioma of the buccal mucosa a rare case report.颊黏膜口腔淋巴管瘤:一例罕见病例报告
J Pharm Bioallied Sci. 2014 Jul;6(Suppl 1):S188-91. doi: 10.4103/0975-7406.137465.
2
Oral lymphangioma: A rare case report.口腔淋巴管瘤:一例罕见病例报告。
Contemp Clin Dent. 2015 Oct-Dec;6(4):584-7. doi: 10.4103/0976-237X.169851.
3
Cavernous lymphangioma of the tongue in an adult: a case report.成人舌部海绵状淋巴管瘤1例报告
J Istanb Univ Fac Dent. 2017 Apr 3;51(2):49-53. doi: 10.17096/jiufd.64259. eCollection 2017.
4
Lymphangioma of the Dorsal Tongue.舌背部淋巴管瘤。
Head Neck Pathol. 2020 Jun;14(2):512-515. doi: 10.1007/s12105-019-01108-z. Epub 2019 Dec 10.
5
A Case of Intraoral Lymphangioma Circumscripta - A Diagnostic Dilemma.一例局限性口腔淋巴管瘤——诊断难题
J Clin Diagn Res. 2015 Oct;9(10):ZD11-3. doi: 10.7860/JCDR/2015/14741.6629. Epub 2015 Oct 1.
6
Lymphangioma in the Buccal Mucosa.颊黏膜淋巴管瘤
J Craniofac Surg. 2019 Nov-Dec;30(8):e696-e697. doi: 10.1097/SCS.0000000000005582.
7
Lymphangioma of the tongue - a case report and review of literature.舌淋巴管瘤——病例报告及文献综述
J Clin Diagn Res. 2014 Sep;8(9):ZD12-4. doi: 10.7860/JCDR/2014/9890.4792. Epub 2014 Sep 20.
8
Oral lymphangioma - Case reports and review of literature.
Contemp Clin Dent. 2012 Jan;3(1):116-8. doi: 10.4103/0976-237X.94561.
9
The treatment of lymphangioma in the buccal mucosa by radiofrequency ablation: a case report.射频消融治疗颊黏膜淋巴管瘤:一例报告
Oral Surg Oral Med Oral Pathol Oral Radiol Endod. 2006 Nov;102(5):e28-31. doi: 10.1016/j.tripleo.2006.03.007. Epub 2006 Aug 10.
10
Oral lymphangiomas - clinical and histopathological relations: An immunohistochemically analyzed case series of varied clinical presentations.口腔淋巴管瘤——临床与组织病理学关系:一个经免疫组织化学分析的不同临床表现病例系列
J Oral Maxillofac Pathol. 2018 Jan;22(Suppl 1):S108-S111. doi: 10.4103/jomfp.JOMFP_157_17.

引用本文的文献

1
Lymphangioma of the Lower Lip-A Diagnostic Dilemma: Report of a Rare Case with a Brief Literature Review.下唇淋巴管瘤——诊断难题:1例罕见病例报告及文献综述
Case Rep Dent. 2022 Jun 2;2022:7890338. doi: 10.1155/2022/7890338. eCollection 2022.
2
Acquired lymphatic malformations of the buccal mucosa: A case report.获得性颊黏膜淋巴管畸形:一例报告。
Clin Case Rep. 2018 Aug 15;6(10):1929-1932. doi: 10.1002/ccr3.1756. eCollection 2018 Oct.
3
Classical Cases of Lymphangioma - As Multiple Vesicular Eruptions.淋巴管瘤的典型病例——表现为多发性水疱样皮疹

本文引用的文献

1
Surgical management of congenital malformations of the lymphatic system.先天性淋巴系统畸形的外科治疗
Am J Surg. 1974 Aug;128(2):152-9.
2
Cystic lymphangioma in the adult parotid.成人腮腺的囊性淋巴管瘤
J Laryngol Otol. 1992 Jun;106(6):566-8. doi: 10.1017/s0022215100120171.
3
Lymphagiomas of the alveolar ridges in neonates.新生儿牙槽嵴淋巴管瘤
J Clin Diagn Res. 2016 Jun;10(6):ZD22-3. doi: 10.7860/JCDR/2016/18043.8046. Epub 2016 Jun 1.
4
A Case of Intraoral Lymphangioma Circumscripta - A Diagnostic Dilemma.一例局限性口腔淋巴管瘤——诊断难题
J Clin Diagn Res. 2015 Oct;9(10):ZD11-3. doi: 10.7860/JCDR/2015/14741.6629. Epub 2015 Oct 1.
Pediatrics. 1976 Dec;58(6):881-4.