Suppr超能文献

含有牛乳铁蛋白的高分子量生物大分子复合物(HMW-bLf)前所未有的抗癌特性的鉴定。

Identification of unprecedented anticancer properties of high molecular weight biomacromolecular complex containing bovine lactoferrin (HMW-bLf).

作者信息

Ebrahim Fawzi, Shankaranarayanan Jayanth Suryanarayanan, Kanwar Jagat R, Gurudevan Sneha, Krishnan Uma Maheswari, Kanwar Rupinder K

机构信息

Nanomedicine-Laboratory of Immunology and Molecular Biomedical Research, School of Medicine, Faculty of Health, Deakin University, Geelong, Victoria, Australia.

Centre for Nanotechnology & Advanced Biomaterials (CeNTAB), School of Chemical & Biotechnology, SASTRA University, Thanjavur, India.

出版信息

PLoS One. 2014 Sep 15;9(9):e106568. doi: 10.1371/journal.pone.0106568. eCollection 2014.

Abstract

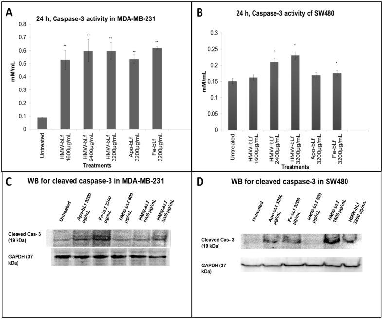
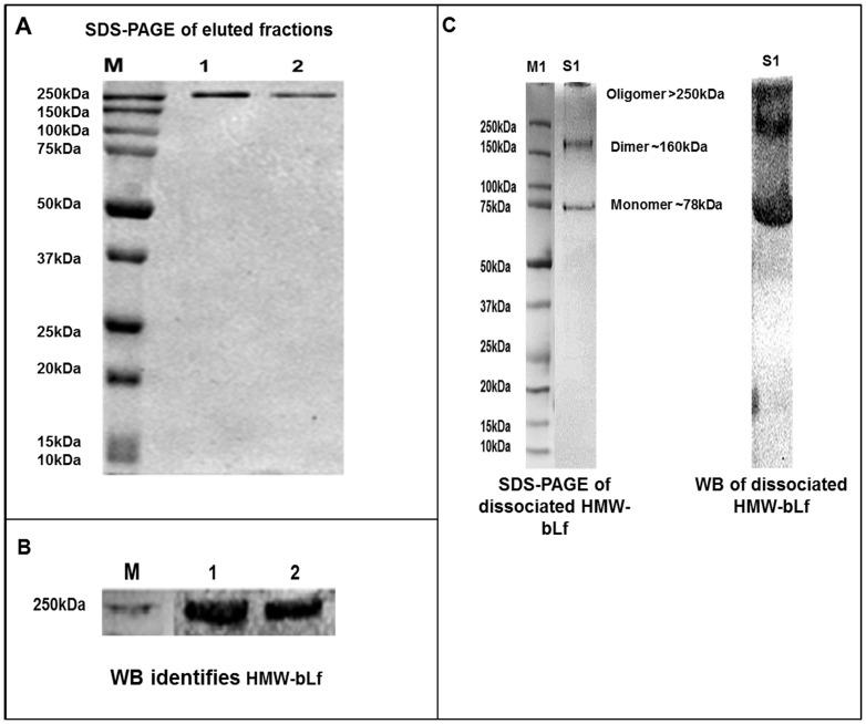
With the successful clinical trials, multifunctional glycoprotein bovine lactoferrin is gaining attention as a safe nutraceutical and biologic drug targeting cancer, chronic-inflammatory, viral and microbial diseases. Interestingly, recent findings that human lactoferrin oligomerizes under simulated physiological conditions signify the possible role of oligomerization in the multifunctional activities of lactoferrin molecule during infections and in disease targeting signaling pathways. Here we report the purification and physicochemical characterization of high molecular weight biomacromolecular complex containing bovine lactoferrin (≥250 kDa), from bovine colostrum, a naturally enriched source of lactoferrin. It showed structural similarities to native monomeric iron free (Apo) lactoferrin (∼78-80 kDa), retained anti-bovine lactoferrin antibody specific binding and displayed potential receptor binding properties when tested for cellular internalization. It further displayed higher thermal stability and better resistance to gut enzyme digestion than native bLf monomer. High molecular weight bovine lactoferrin was functionally bioactive and inhibited significantly the cell proliferation (p<0.01) of human breast and colon carcinoma derived cells. It induced significantly higher cancer cell death (apoptosis) and cytotoxicity in a dose-dependent manner in cancer cells than the normal intestinal cells. Upon cellular internalization, it led to the up-regulation of caspase-3 expression and degradation of actin. In order to identify the cutting edge future potential of this bio-macromolecule in medicine over the monomer, its in-depth structural and functional properties need to be investigated further.

摘要

随着临床试验的成功,多功能糖蛋白牛乳铁蛋白作为一种安全的营养保健品和针对癌症、慢性炎症、病毒和微生物疾病的生物药物正受到关注。有趣的是,最近的研究发现人乳铁蛋白在模拟生理条件下会发生寡聚化,这表明寡聚化在乳铁蛋白分子感染期间的多功能活性以及疾病靶向信号通路中可能发挥作用。在此,我们报告了从富含乳铁蛋白的天然来源牛初乳中纯化和表征含有牛乳铁蛋白(≥250 kDa)的高分子量生物大分子复合物的物理化学性质。它与天然单体无铁(脱铁)乳铁蛋白(约78-80 kDa)具有结构相似性,保留了抗牛乳铁蛋白抗体的特异性结合,并且在测试细胞内化时显示出潜在的受体结合特性。与天然牛乳铁蛋白单体相比,它还表现出更高的热稳定性和对肠道酶消化的更好抗性。高分子量牛乳铁蛋白具有功能生物活性,可显著抑制人乳腺癌和结肠癌细胞系的细胞增殖(p<0.01)。与正常肠道细胞相比,它在癌细胞中以剂量依赖性方式诱导显著更高的癌细胞死亡(凋亡)和细胞毒性。细胞内化后,它导致半胱天冬酶-3表达上调和肌动蛋白降解。为了确定这种生物大分子在医学上相对于单体的前沿未来潜力,需要进一步研究其深入的结构和功能特性。

https://cdn.ncbi.nlm.nih.gov/pmc/blobs/b8cf/4164354/107497ef4b9b/pone.0106568.g001.jpg

文献检索

告别复杂PubMed语法,用中文像聊天一样搜索,搜遍4000万医学文献。AI智能推荐,让科研检索更轻松。

立即免费搜索

文件翻译

保留排版,准确专业,支持PDF/Word/PPT等文件格式,支持 12+语言互译。

免费翻译文档

深度研究

AI帮你快速写综述,25分钟生成高质量综述,智能提取关键信息,辅助科研写作。

立即免费体验