Suppr超能文献

桑白皮及包括桑素在内的天然产物对气道MUC5AC黏蛋白体内分泌及体外产生的影响

Effects of Morus alba L. and Natural Products Including Morusin on In Vivo Secretion and In Vitro Production of Airway MUC5AC Mucin.

作者信息

Lee Hyun Jae, Ryu Jiho, Park Su Hyun, Woo Eun-Rhan, Kim A Ryun, Lee Sang Kook, Kim Yeong Shik, Kim Ju-Ock, Hong Jang-Hee, Lee Choong Jae

机构信息

Department of Pharmacology, Chungnam National University School of Medicine, Daejeon, Korea.

Department of Pharmacy, College of Pharmacy, Chosun University, Gwangju, Korea.

出版信息

Tuberc Respir Dis (Seoul). 2014 Aug;77(2):65-72. doi: 10.4046/trd.2014.77.2.65. Epub 2014 Aug 29.

Abstract

BACKGROUND

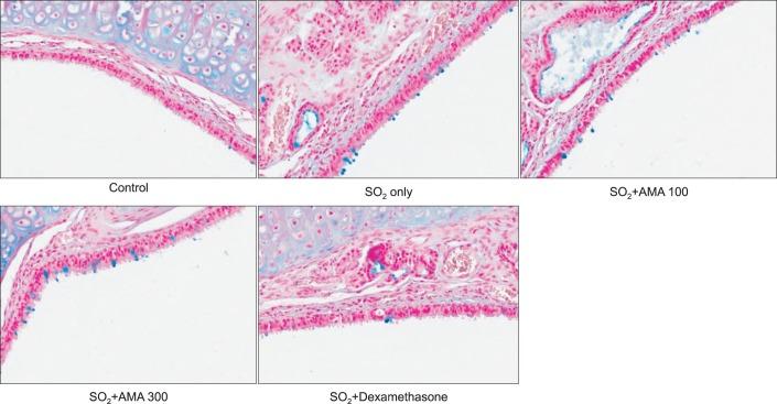
It is valuable to find the potential activity of regulating the excessive mucin secretion by the compounds derived from various medicinal plants. We investigated whether aqueous extract of the root bark of Morus alba L. (AMA), kuwanon E, kuwanon G, mulberrofuran G, and morusin significantly affect the secretion and production of airway mucin using in vivo and in vitro experimental models.

METHODS

Effect of AMA was examined on hypersecretion of airway mucin in sulfur dioxide-induced acute bronchitis in rats. Confluent NCI-H292 cells were pretreated with ethanolic extract, kuwanon E, kuwanon G, mulberrofuran G, or morusin for 30 minutes and then stimulated with phorbol 12-myristate 13-acetate (PMA) for 24 hours. The MUC5AC mucin secretion and production were measured by enzyme-linked immunosorbent assay.

RESULTS

AMA stimulated the secretion of airway mucin in sulfur dioxide-induced bronchitis rat model; aqueous extract, ethanolic extract, kuwanon E, kuwanon G, mulberrofuran G and morusin inhibited the production of MUC5AC mucin induced by PMA from NCI-H292 cells, respectively.

CONCLUSION

These results suggest that extract of the root bark and the natural products derived from Morus alba L. can regulate the secretion and production of airway mucin and, at least in part, explains the folk use of extract of Morus alba L. as mucoregulators in diverse inflammatory pulmonary diseases.

摘要

背景

发现源自各种药用植物的化合物调节过量粘蛋白分泌的潜在活性具有重要价值。我们使用体内和体外实验模型研究了桑白皮水提取物(AMA)、桑根酮E、桑根酮G、桑呋喃G和桑色素是否显著影响气道粘蛋白的分泌和产生。

方法

检测AMA对二氧化硫诱导的大鼠急性支气管炎中气道粘蛋白分泌过多的影响。将汇合的NCI-H292细胞用乙醇提取物、桑根酮E、桑根酮G、桑呋喃G或桑色素预处理30分钟,然后用佛波醇12-肉豆蔻酸酯13-乙酸酯(PMA)刺激24小时。通过酶联免疫吸附测定法测量MUC5AC粘蛋白的分泌和产生。

结果

AMA在二氧化硫诱导的支气管炎大鼠模型中刺激气道粘蛋白的分泌;水提取物、乙醇提取物、桑根酮E、桑根酮G、桑呋喃G和桑色素分别抑制PMA诱导的NCI-H292细胞中MUC5AC粘蛋白的产生。

结论

这些结果表明,桑白皮提取物和源自桑属植物的天然产物可以调节气道粘蛋白的分泌和产生,并且至少部分地解释了桑白皮提取物在多种炎症性肺病中作为粘蛋白调节剂的民间用途。

https://cdn.ncbi.nlm.nih.gov/pmc/blobs/f17b/4165662/b317185ef269/trd-77-65-g001.jpg

文献AI研究员

20分钟写一篇综述,助力文献阅读效率提升50倍。

立即体验

用中文搜PubMed

大模型驱动的PubMed中文搜索引擎

马上搜索

文档翻译

学术文献翻译模型,支持多种主流文档格式。

立即体验