Garcia Leah A, Hlaing Su M, Gutierrez Richard A, Sanchez Maria D, Kovanecz Istvan, Artaza Jorge N, Ferrini Monica G
Division of Endocrinology, Metabolism and Molecular Medicine, Department of Internal Medicine, Charles R. Drew University of Medicine and Science, 1731 East 120th Street, Los Angeles, CA 90059, USA.
Department of Health and Life Science, College of Science and Health, Charles R. Drew University of Medicine and Science, Los Angeles, CA 90059, USA.
Int J Mol Sci. 2014 Sep 26;15(10):17204-20. doi: 10.3390/ijms151017204.
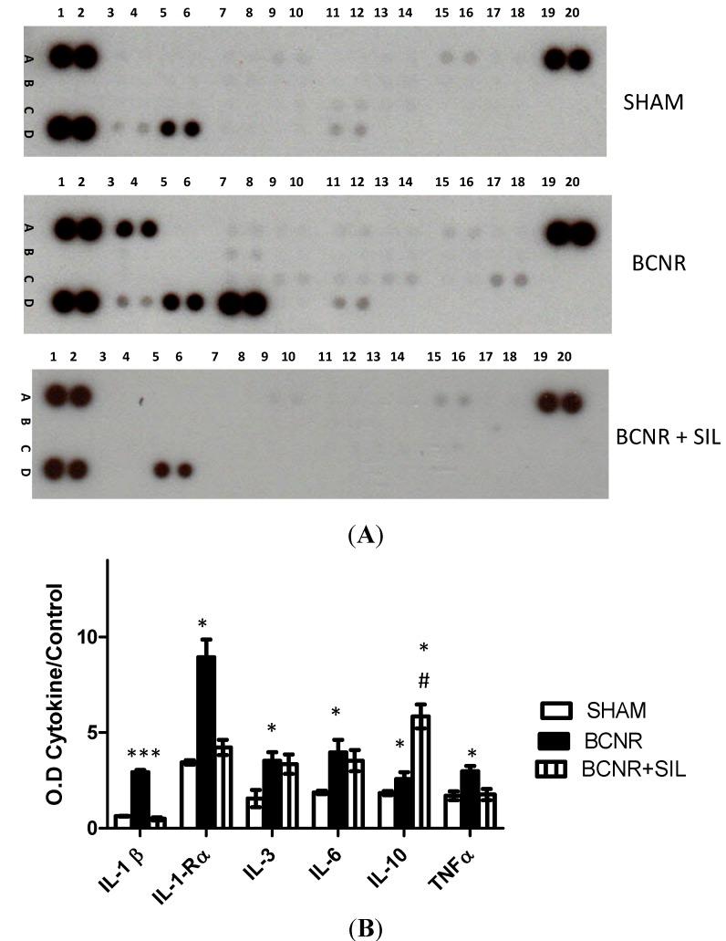
Erectile dysfunction is a common complication for patients undergoing surgeries for prostate, bladder, and colorectal cancers, due to damage of the nerves associated with the major pelvic ganglia (MPG). Functional re-innervation of target organs depends on the capacity of the neurons to survive and switch towards a regenerative phenotype. PDE5 inhibitors (PDE5i) have been successfully used in promoting the recovery of erectile function after cavernosal nerve damage (BCNR) by up-regulating the expression of neurotrophic factors in MPG. However, little is known about the effects of PDE5i on markers of neuronal damage and oxidative stress after BCNR. This study aimed to investigate the changes in gene and protein expression profiles of inflammatory, anti-inflammatory cytokines and oxidative stress related-pathways in MPG neurons after BCNR and subsequent treatment with sildenafil. Our results showed that BCNR in Fisher-344 rats promoted up-regulation of cytokines (interleukin- 1 (IL-1) β, IL-6, IL-10, transforming growth factor β 1 (TGFβ1), and oxidative stress factors (Nicotinamide adenine dinucleotide phosphate (NADPH) oxidase, Myeloperoxidase (MPO), inducible nitric oxide synthase (iNOS), TNF receptor superfamily member 5 (CD40) that were normalized by sildenafil treatment given in the drinking water. In summary, PDE5i can attenuate the production of damaging factors and can up-regulate the expression of beneficial factors in the MPG that may ameliorate neuropathic pain, promote neuroprotection, and favor nerve regeneration.
勃起功能障碍是前列腺癌、膀胱癌和结直肠癌手术患者常见的并发症,这是由于与主要盆腔神经节(MPG)相关的神经受损所致。靶器官的功能性再支配取决于神经元存活并转变为再生表型的能力。磷酸二酯酶5抑制剂(PDE5i)已成功用于促进海绵体神经损伤(BCNR)后勃起功能的恢复,通过上调MPG中神经营养因子的表达。然而,关于PDE5i对BCNR后神经元损伤标志物和氧化应激的影响知之甚少。本研究旨在探讨BCNR后及随后用西地那非治疗后MPG神经元中炎症、抗炎细胞因子和氧化应激相关通路的基因和蛋白质表达谱的变化。我们的结果表明,Fisher-344大鼠的BCNR促进了细胞因子(白细胞介素-1(IL-1)β、IL-6、IL-10、转化生长因子β1(TGFβ1))和氧化应激因子(烟酰胺腺嘌呤二核苷酸磷酸(NADPH)氧化酶、髓过氧化物酶(MPO)、诱导型一氧化氮合酶(iNOS)、肿瘤坏死因子受体超家族成员5(CD40))的上调,而饮用水中给予的西地那非治疗可使其恢复正常。总之,PDE5i可以减弱损伤因子的产生,并上调MPG中有益因子的表达,这可能改善神经性疼痛、促进神经保护并有利于神经再生。