Suppr超能文献

诊断性脑血管造影术后延迟性血管间歇性跛行:血管封堵器动脉切开闭合装置的一种罕见并发症

Delayed Vascular Claudication Following Diagnostic Cerebral Angiography: A Rare Complication of the AngioSeal Arteriotomy Closure Device.

作者信息

Corley Jacquelyn A, Kasliwal Manish K, Tan Lee A, Lopes Demetrius K

机构信息

Department of Neurosurgery, Rush University Medical Center, Chicago, IL, United States.

出版信息

J Cerebrovasc Endovasc Neurosurg. 2014 Sep;16(3):275-80. doi: 10.7461/jcen.2014.16.3.275. Epub 2014 Sep 30.

Abstract

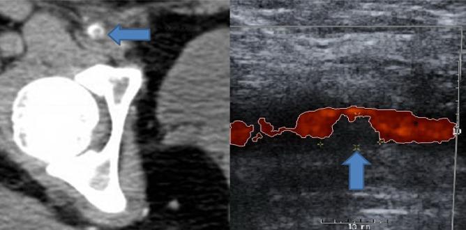
With rapidly increasing numbers of neuroendovascular procedures performed annually in recent years, use of arterial closure devices after femoral artery access has been exceedingly common secondary to reduced time to hemostasis, decreased patient discomfort, earlier mobilization, and shortened hospital stay. Although uncommon, use of these devices can lead to a different spectrum of complications, as compared to manual compression. Ischemic symptoms following the use of these devices can have unexpected clinical sequelae and can occur in a delayed fashion. Awareness and recognition of such complications is important with the dramatically increased use of these devices in recent years. We report on a case of delayed vascular complication manifesting as vascular claudication following use of the AngioSeal closure device.

摘要

近年来,随着每年进行的神经血管内手术数量迅速增加,股动脉穿刺后使用动脉闭合装置极为普遍,这是因为止血时间缩短、患者不适感减轻、能更早活动以及住院时间缩短。与手动压迫相比,虽然这些装置的使用并不常见,但可能导致一系列不同的并发症。使用这些装置后的缺血症状可能会产生意想不到的临床后果,并且可能延迟出现。鉴于近年来这些装置的使用显著增加,认识和识别此类并发症很重要。我们报告一例使用血管封堵器(AngioSeal)后出现延迟性血管并发症,表现为血管性跛行的病例。

https://cdn.ncbi.nlm.nih.gov/pmc/blobs/5b41/4205255/1620742f8fca/jcen-16-275-g001.jpg

文献AI研究员

20分钟写一篇综述,助力文献阅读效率提升50倍。

立即体验

用中文搜PubMed

大模型驱动的PubMed中文搜索引擎

马上搜索

文档翻译

学术文献翻译模型,支持多种主流文档格式。

立即体验