Suppr超能文献

胸段椎间孔外骨母细胞瘤:诊断困境及3年随访的治疗情况

Extraosseous thoracic foraminal osteoblastoma: diagnostic dilemma and management with 3 year follow-up.

作者信息

Hadgaonkar Shailesh Ramakant, Shyam Ashok Kumar, Shah Kunal Chandrakant, Khurjekar Ketan Shripad, Sancheti Parag Kantilal

机构信息

Sancheti Institute for Orthopaedics and Rehabilitation, Pune, India.

出版信息

Asian Spine J. 2014 Oct;8(5):689-94. doi: 10.4184/asj.2014.8.5.689. Epub 2014 Oct 18.

Abstract

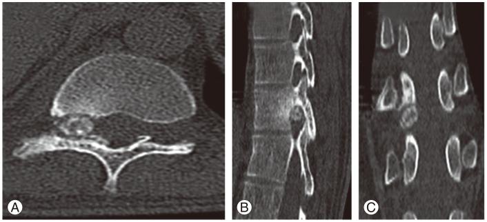
Osteoblastomas are bone forming lesions arising mainly from posterior elements of the vertebra. They are commonly encountered in the cervical and lumbar regions. We present a case of a thoracic osteoblastoma which is extra osseous and is not communicating with any part of the vertebra present intraforaminally. This is a rare presentation of an osteoblastoma. Imaging studies do not accurately diagnose the osteiod lesion. The size of the lesion and cortical erosion seen on the computed tomography scan help in differentiating the osteoid osteoma and osteoblastoma, but they are less sensitive and specific. Thus a histopathology is the investigation of choice to diagnose the osteoblastoma. Early and adequate removal of mass prevents malignant transformation, metastasis, and recurrence. In our case we excised the pars interarticularis unilaterally, removed the osteoid mass intact, and performed unilateral instrumented fusion. There was no recurrence and solid fusion was seen at 3 years follow up.

摘要

骨母细胞瘤是主要起源于椎体后部结构的成骨性病变。它们常见于颈椎和腰椎区域。我们报告一例胸段骨母细胞瘤病例,该肿瘤位于骨外,与椎间孔内的椎体任何部分均无相通。这是骨母细胞瘤的一种罕见表现。影像学检查不能准确诊断骨样病变。计算机断层扫描上所见病变大小和皮质侵蚀有助于鉴别骨样骨瘤和骨母细胞瘤,但它们的敏感性和特异性较低。因此,组织病理学检查是诊断骨母细胞瘤的首选检查方法。早期充分切除肿块可防止恶性转化、转移和复发。在我们的病例中,我们单侧切除关节突,完整切除骨样肿块,并进行单侧器械辅助融合。随访3年未见复发,且融合牢固。

https://cdn.ncbi.nlm.nih.gov/pmc/blobs/e615/4206822/6785912737b2/asj-8-689-g001.jpg

文献AI研究员

20分钟写一篇综述,助力文献阅读效率提升50倍。

立即体验

用中文搜PubMed

大模型驱动的PubMed中文搜索引擎

马上搜索

文档翻译

学术文献翻译模型,支持多种主流文档格式。

立即体验