• 文献检索
  • 文档翻译
  • 深度研究
  • 学术资讯
  • Suppr Zotero 插件Zotero 插件
  • 邀请有礼
  • 套餐&价格
  • 历史记录
应用&插件
Suppr Zotero 插件Zotero 插件浏览器插件Mac 客户端Windows 客户端微信小程序
定价
高级版会员购买积分包购买API积分包
服务
文献检索文档翻译深度研究API 文档MCP 服务
关于我们
关于 Suppr公司介绍联系我们用户协议隐私条款
关注我们

Suppr 超能文献

核心技术专利:CN118964589B侵权必究
粤ICP备2023148730 号-1Suppr @ 2026

文献检索

告别复杂PubMed语法,用中文像聊天一样搜索,搜遍4000万医学文献。AI智能推荐,让科研检索更轻松。

立即免费搜索

文件翻译

保留排版,准确专业,支持PDF/Word/PPT等文件格式,支持 12+语言互译。

免费翻译文档

深度研究

AI帮你快速写综述,25分钟生成高质量综述,智能提取关键信息,辅助科研写作。

立即免费体验

微小RNA-183/-96/-182簇在大多数乳腺癌中上调,并增加细胞增殖和迁移。

MiR-183/-96/-182 cluster is up-regulated in most breast cancers and increases cell proliferation and migration.

作者信息

Li Pei, Sheng Cheng, Huang Lingling, Zhang Hui, Huang Lihua, Cheng Zeneng, Zhu Qubo

出版信息

Breast Cancer Res. 2014 Nov 14;16(6):473. doi: 10.1186/s13058-014-0473-z.

DOI:10.1186/s13058-014-0473-z
PMID:25394902
原文链接:https://pmc.ncbi.nlm.nih.gov/articles/PMC4303194/
Abstract

INTRODUCTION

The miR-183/-96/-182 cluster is a conserved polycistronic microRNA (miRNA) cluster which is highly expressed in most breast cancers. Although there are some sporadic reports which demonstrate the importance of each miRNA in this cluster in breast cancer, the biological roles of this cluster as a whole and its regulation mechanisms in breast cancer are still unclear. We compared the expression of this cluster in different cancer types, analyzed the regulation mechanism of this cluster, identified new target genes, and examined the impact of this cluster on breast cancer cells.

METHODS

The miRNA level was detected by LNA-based northern blot and Real-time PCR, and was also analyzed from TCGA dataset. Bioinformatics research and luciferase assay were applied to find the promoter regions and transcription factors. To investigate the biological effects of the miR-183/-96 /-182 cluster in breast cancer, we generated miR-96, miR-182 and miR-183 overexpression stable cell lines to check the overdose effects; we also used miR-Down™ antagomir for each miRNA as well as miR-183/-96 /-182 cluster sponge lentivirus to check the knockdown effects. Growth, migration, cell cycle profile and survival of these cells was then monitored by colony formation assay, MTT assay, cell wound healing assay, flow cytometry and microscopy. The target gene was validated by Real-time PCR, luciferase assay, Western blot and Phalloidin/DAPI counterstaining.

RESULTS

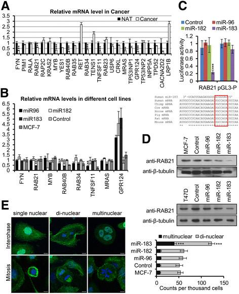
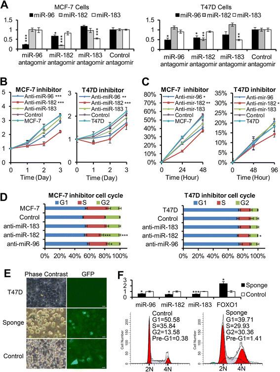
The miR-183/-96/-182 cluster was highly expressed in most breast cancers, and its transcription is disordered in breast cancer. The miR-183/-96/-182 cluster was transcribed in the same pri-miRNA and its transcription was regulated by ZEB1 and HSF2. It increased breast cell growth by promoting more rapid completion of mitosis, promoted cell migration and was essential for cell survival. MiR-183 targeted the RAB21 mRNA directly in breast cancer.

CONCLUSION

The miR-183/-96/-182 cluster is up-regulated in most breast cancer. It functions as an oncogene in breast cancer as it increases cell proliferation and migration.

摘要

引言

miR-183/-96/-182簇是一个保守的多顺反子微小RNA(miRNA)簇,在大多数乳腺癌中高度表达。尽管有一些零星报道表明该簇中每个miRNA在乳腺癌中的重要性,但该簇作为一个整体在乳腺癌中的生物学作用及其调控机制仍不清楚。我们比较了该簇在不同癌症类型中的表达,分析了该簇的调控机制,鉴定了新的靶基因,并研究了该簇对乳腺癌细胞的影响。

方法

通过基于锁核酸(LNA)的Northern印迹和实时定量PCR检测miRNA水平,并从癌症基因组图谱(TCGA)数据集进行分析。应用生物信息学研究和荧光素酶测定来寻找启动子区域和转录因子。为了研究miR-183/-96 /-182簇在乳腺癌中的生物学效应,我们构建了miR-96、miR-182和miR-183过表达稳定细胞系以检测过量表达的影响;我们还使用针对每个miRNA的miR-Down™反义寡核苷酸以及miR-183/-96 /-182簇海绵慢病毒来检测敲低效应。然后通过集落形成试验、MTT试验、细胞划痕愈合试验、流式细胞术和显微镜观察来监测这些细胞的生长、迁移、细胞周期分布和存活情况。通过实时定量PCR、荧光素酶测定、蛋白质免疫印迹和鬼笔环肽/4',6-二脒基-2-苯基吲哚(DAPI)复染来验证靶基因。

结果

miR-183/-96/-182簇在大多数乳腺癌中高度表达,其转录在乳腺癌中紊乱。miR-183/-96/-182簇由同一个初级miRNA转录,其转录受锌指E盒结合蛋白1(ZEB1)和热休克因子2(HSF2)调控。它通过促进有丝分裂更快完成来增加乳腺细胞生长,促进细胞迁移,并且对细胞存活至关重要。在乳腺癌中,miR-183直接靶向RAB21信使核糖核酸(mRNA)。

结论

miR-183/-96/-182簇在大多数乳腺癌中上调。它在乳腺癌中作为癌基因发挥作用,因为它增加细胞增殖和迁移。

https://cdn.ncbi.nlm.nih.gov/pmc/blobs/1da3/4303194/2d07394ba8ab/13058_2014_473_Fig7_HTML.jpg
https://cdn.ncbi.nlm.nih.gov/pmc/blobs/1da3/4303194/22373965f30a/13058_2014_473_Fig1_HTML.jpg
https://cdn.ncbi.nlm.nih.gov/pmc/blobs/1da3/4303194/f9d0fd32b898/13058_2014_473_Fig2_HTML.jpg
https://cdn.ncbi.nlm.nih.gov/pmc/blobs/1da3/4303194/068b910fdc78/13058_2014_473_Fig3_HTML.jpg
https://cdn.ncbi.nlm.nih.gov/pmc/blobs/1da3/4303194/e5152b0b411b/13058_2014_473_Fig4_HTML.jpg
https://cdn.ncbi.nlm.nih.gov/pmc/blobs/1da3/4303194/28bad7a297d0/13058_2014_473_Fig5_HTML.jpg
https://cdn.ncbi.nlm.nih.gov/pmc/blobs/1da3/4303194/02b6dac81694/13058_2014_473_Fig6_HTML.jpg
https://cdn.ncbi.nlm.nih.gov/pmc/blobs/1da3/4303194/2d07394ba8ab/13058_2014_473_Fig7_HTML.jpg
https://cdn.ncbi.nlm.nih.gov/pmc/blobs/1da3/4303194/22373965f30a/13058_2014_473_Fig1_HTML.jpg
https://cdn.ncbi.nlm.nih.gov/pmc/blobs/1da3/4303194/f9d0fd32b898/13058_2014_473_Fig2_HTML.jpg
https://cdn.ncbi.nlm.nih.gov/pmc/blobs/1da3/4303194/068b910fdc78/13058_2014_473_Fig3_HTML.jpg
https://cdn.ncbi.nlm.nih.gov/pmc/blobs/1da3/4303194/e5152b0b411b/13058_2014_473_Fig4_HTML.jpg
https://cdn.ncbi.nlm.nih.gov/pmc/blobs/1da3/4303194/28bad7a297d0/13058_2014_473_Fig5_HTML.jpg
https://cdn.ncbi.nlm.nih.gov/pmc/blobs/1da3/4303194/02b6dac81694/13058_2014_473_Fig6_HTML.jpg
https://cdn.ncbi.nlm.nih.gov/pmc/blobs/1da3/4303194/2d07394ba8ab/13058_2014_473_Fig7_HTML.jpg

相似文献

1
MiR-183/-96/-182 cluster is up-regulated in most breast cancers and increases cell proliferation and migration.微小RNA-183/-96/-182簇在大多数乳腺癌中上调,并增加细胞增殖和迁移。
Breast Cancer Res. 2014 Nov 14;16(6):473. doi: 10.1186/s13058-014-0473-z.
2
miR-381 inhibited breast cancer cells proliferation, epithelial-to-mesenchymal transition and metastasis by targeting CXCR4.miR-381 通过靶向 CXCR4 抑制乳腺癌细胞增殖、上皮间质转化和转移。
Biomed Pharmacother. 2017 Feb;86:426-433. doi: 10.1016/j.biopha.2016.12.051. Epub 2016 Dec 21.
3
MicroRNA-127 is downregulated by Tudor-SN protein and contributes to metastasis and proliferation in breast cancer cell line MDA-MB-231.微 RNA-127 受 Tudor-SN 蛋白下调,促进乳腺癌 MDA-MB-231 细胞系的转移和增殖。
Anat Rec (Hoboken). 2013 Dec;296(12):1842-9. doi: 10.1002/ar.22823. Epub 2013 Oct 24.
4
MicroRNA-211-5p suppresses tumour cell proliferation, invasion, migration and metastasis in triple-negative breast cancer by directly targeting SETBP1.微小RNA-211-5p通过直接靶向SETBP1抑制三阴性乳腺癌中的肿瘤细胞增殖、侵袭、迁移和转移。
Br J Cancer. 2017 Jun 27;117(1):78-88. doi: 10.1038/bjc.2017.150. Epub 2017 Jun 1.
5
Differential expression of miR-21, miR-125b and miR-191 in breast cancer tissue.miR-21、miR-125b和miR-191在乳腺癌组织中的差异表达。
Asia Pac J Clin Oncol. 2013 Mar;9(1):53-9. doi: 10.1111/j.1743-7563.2012.01548.x. Epub 2012 Jul 23.
6
[miR-101 inhibits the proliferation and migration of breast cancer cells via downregulating the expression of DNA methyltransferase 3a].[微小RNA-101通过下调DNA甲基转移酶3a的表达抑制乳腺癌细胞的增殖和迁移]
Xi Bao Yu Fen Zi Mian Yi Xue Za Zhi. 2016 Mar;32(3):299-303.
7
MicroRNA-31 controls G protein alpha-13 (GNA13) expression and cell invasion in breast cancer cells.微小RNA-31调控乳腺癌细胞中G蛋白α-13(GNA13)的表达及细胞侵袭。
Mol Cancer. 2015 Mar 26;14:67. doi: 10.1186/s12943-015-0337-x.
8
Tumor-suppressive microRNA-34a inhibits breast cancer cell migration and invasion via targeting oncogenic TPD52.肿瘤抑制性微小RNA-34a通过靶向致癌蛋白TPD52抑制乳腺癌细胞的迁移和侵袭。
Tumour Biol. 2016 Jun;37(6):7481-91. doi: 10.1007/s13277-015-4623-4. Epub 2015 Dec 17.
9
MicroRNA-125a-5p modulates human cervical carcinoma proliferation and migration by targeting ABL2.微小RNA-125a-5p通过靶向ABL2调节人宫颈癌的增殖和迁移。
Drug Des Devel Ther. 2015 Dec 24;10:71-9. doi: 10.2147/DDDT.S93104. eCollection 2016.
10
[Dectection and analysis of miRNA expression in breast cancer-associated fibroblasts].[乳腺癌相关成纤维细胞中微小RNA表达的检测与分析]
Xi Bao Yu Fen Zi Mian Yi Xue Za Zhi. 2014 Oct;30(10):1071-5.

引用本文的文献

1
Circulating miRNAs as potential liquid biomarkers for pediatric gliomas.循环微小RNA作为小儿胶质瘤潜在的液体生物标志物
Pediatr Res. 2025 Aug 20. doi: 10.1038/s41390-025-04320-6.
2
A guide to heat shock factors as multifunctional transcriptional regulators.热休克因子作为多功能转录调节因子的指南。
FEBS J. 2025 Aug;292(16):4133-4155. doi: 10.1111/febs.70139. Epub 2025 Jun 2.
3
A narrative review of sleep and breast cancer: from epidemiology to mechanisms.睡眠与乳腺癌的叙述性综述:从流行病学到发病机制

本文引用的文献

1
Association between mammographic density and basal-like and luminal A breast cancer subtypes.乳腺钼靶密度与基底样和腔面A型乳腺癌亚型之间的关联。
Breast Cancer Res. 2013;15(5):R76. doi: 10.1186/bcr3470.
2
Poised chromatin at the ZEB1 promoter enables breast cancer cell plasticity and enhances tumorigenicity.ZEB1 启动子处的静止染色质使乳腺癌细胞具有可塑性,并增强了致瘤性。
Cell. 2013 Jul 3;154(1):61-74. doi: 10.1016/j.cell.2013.06.005.
3
miRNA expression profiling of 51 human breast cancer cell lines reveals subtype and driver mutation-specific miRNAs.
Cancer Causes Control. 2025 May;36(5):457-472. doi: 10.1007/s10552-024-01951-8. Epub 2024 Dec 28.
4
Elevated MMP-9, Survivin, TGB1 and Downregulated Tissue Inhibitor of TIMP-1, Caspase-3 Activities are Independent of the Low Levels miR-183 in Endometriosis.基质金属蛋白酶-9、生存素、转化生长因子β1水平升高以及基质金属蛋白酶组织抑制因子-1、半胱天冬酶-3活性下调与子宫内膜异位症中低水平的微小RNA-183无关。
Int J Womens Health. 2024 Oct 23;16:1733-1742. doi: 10.2147/IJWH.S469864. eCollection 2024.
5
The Overexpressed MicroRNAs miRs-182, 155, 493, 454, and U6 snRNA and Underexpressed let-7c, miR-328, and miR-451a as Potential Biomarkers in Invasive Breast Cancer and Their Clinicopathological Significance.过表达的微小RNA miR-182、155、493、454和U6小核RNA以及低表达的let-7c、miR-328和miR-451a作为浸润性乳腺癌的潜在生物标志物及其临床病理意义
Oncology. 2025;103(2):112-127. doi: 10.1159/000540863. Epub 2024 Aug 12.
6
Exploring the intricate relationship between miRNA dysregulation and breast cancer development: insights into the impact of environmental chemicals.探讨 miRNA 失调与乳腺癌发展之间错综复杂的关系:环境化学物质影响的洞察。
Front Immunol. 2024 May 14;15:1333563. doi: 10.3389/fimmu.2024.1333563. eCollection 2024.
7
MicroRNA-183 cluster: a promising biomarker and therapeutic target in gastrointestinal malignancies.微小RNA-183簇:胃肠道恶性肿瘤中有前景的生物标志物和治疗靶点。
Am J Cancer Res. 2023 Dec 15;13(12):6147-6175. eCollection 2023.
8
CPSF3 Promotes Pre-mRNA Splicing and Prevents CircRNA Cyclization in Hepatocellular Carcinoma.CPSF3促进肝癌中的前体mRNA剪接并防止环状RNA环化
Cancers (Basel). 2023 Aug 11;15(16):4057. doi: 10.3390/cancers15164057.
9
Breast cancer tumor microenvironment affects Treg/IL-17-producing Treg/Th17 cell axis: Molecular and therapeutic perspectives.乳腺癌肿瘤微环境影响调节性T细胞/产生白细胞介素-17的调节性T细胞/辅助性T细胞17细胞轴:分子与治疗学视角
Mol Ther Oncolytics. 2023 Jan 11;28:132-157. doi: 10.1016/j.omto.2023.01.001. eCollection 2023 Mar 16.
10
The Role of Cow's Milk Consumption in Breast Cancer Initiation and Progression.牛奶消费在乳腺癌发生和发展中的作用。
Curr Nutr Rep. 2023 Mar;12(1):122-140. doi: 10.1007/s13668-023-00457-0. Epub 2023 Feb 2.
对51种人类乳腺癌细胞系进行的miRNA表达谱分析揭示了亚型和驱动基因突变特异性miRNA。
Breast Cancer Res. 2013 Apr 19;15(2):R33. doi: 10.1186/bcr3415.
4
Suppression of MIM by microRNA-182 activates RhoA and promotes breast cancer metastasis.miR-182 通过抑制 MIM 激活 RhoA 促进乳腺癌转移。
Oncogene. 2014 Mar 6;33(10):1287-96. doi: 10.1038/onc.2013.65. Epub 2013 Mar 11.
5
Expression and regulatory function of miRNA-182 in triple-negative breast cancer cells through its targeting of profilin 1.miRNA-182在三阴性乳腺癌细胞中通过靶向丝切蛋白1的表达及调控功能
Tumour Biol. 2013 Jun;34(3):1713-22. doi: 10.1007/s13277-013-0708-0. Epub 2013 Feb 22.
6
Up-regulation of miR-182 by β-catenin in breast cancer increases tumorigenicity and invasiveness by targeting the matrix metalloproteinase inhibitor RECK.在乳腺癌中,β-连环蛋白上调miR-182,通过靶向基质金属蛋白酶抑制剂RECK增加肿瘤发生能力和侵袭性。
Biochim Biophys Acta. 2013 Apr;1830(4):3067-76. doi: 10.1016/j.bbagen.2013.01.009. Epub 2013 Jan 16.
7
Inhibition of miR-96 expression reduces cell proliferation and clonogenicity of HepG2 hepatoma cells.抑制 miR-96 的表达可降低 HepG2 肝癌细胞的增殖和克隆形成能力。
Oncol Rep. 2013 Feb;29(2):653-61. doi: 10.3892/or.2012.2138. Epub 2012 Nov 14.
8
TGF-β induces miR-182 to sustain NF-κB activation in glioma subsets.TGF-β 诱导 miR-182 维持神经胶质瘤亚群中 NF-κB 的激活。
J Clin Invest. 2012 Oct;122(10):3563-78. doi: 10.1172/JCI62339. Epub 2012 Sep 24.
9
Down-regulation of miR-183 promotes migration and invasion of osteosarcoma by targeting Ezrin.下调 miR-183 通过靶向 Ezrin 促进骨肉瘤的迁移和侵袭。
Am J Pathol. 2012 Jun;180(6):2440-51. doi: 10.1016/j.ajpath.2012.02.023. Epub 2012 Apr 21.
10
Pleiotropic effects of miR-183~96~182 converge to regulate cell survival, proliferation and migration in medulloblastoma.miR-183~96~182 的多效作用集中于调控髓母细胞瘤中的细胞存活、增殖和迁移。
Acta Neuropathol. 2012 Apr;123(4):539-52. doi: 10.1007/s00401-012-0969-5. Epub 2012 Mar 10.