Suppr超能文献

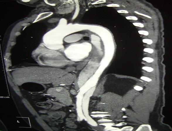
[Dissection of the descending thoracic aorta and abdominal aorta in Takayasu's arteritis: report of a case].

作者信息

Zaghdoudi Abdelaziz, Bukta Monika, Mongalgi Mohamed Ali, Malouche Kais, Malouche Sonia

机构信息

Hôpital Mahmoud El Matri de l'Ariana, Rue Ibn Khaldoun, Ariana, Tunisie.

Institut Hedi Rais d'Ophtalmologie de Tunis, Boulevard 9 Avril, Bab Saadoun, Tunis, Tunisie.

出版信息

Pan Afr Med J. 2014 Mar 13;17:196. doi: 10.11604/pamj.2014.17.196.2052. eCollection 2014.

Abstract
摘要
https://cdn.ncbi.nlm.nih.gov/pmc/blobs/7261/4228997/a80b7771a328/PAMJ-17-196-g001.jpg

相似文献

1
[Dissection of the descending thoracic aorta and abdominal aorta in Takayasu's arteritis: report of a case].
Pan Afr Med J. 2014 Mar 13;17:196. doi: 10.11604/pamj.2014.17.196.2052. eCollection 2014.
2
Calcium sign of thoracic aortic dissection in Takayasu's arteritis.
BMJ Case Rep. 2018 Feb 22;2018:bcr-2018-224313. doi: 10.1136/bcr-2018-224313.
4
Aortic aneurysms in patients with Takayasu's arteritis: CT evaluation.
AJR Am J Roentgenol. 2000 Dec;175(6):1727-33. doi: 10.2214/ajr.175.6.1751727.
5
Chronic total occlusion of abdominal aorta due to Takayasu's arteritis: a noteworthy finding.
Eur Heart J Cardiovasc Imaging. 2015 Oct;16(10):1128. doi: 10.1093/ehjci/jev124. Epub 2015 Aug 7.
6
An autopsy study of Takayasu arteritis in India.
Int J Cardiol. 1998 Oct 1;66 Suppl 1:S85-90; discussion S91. doi: 10.1016/s0167-5273(98)00155-7.
7
Diagnosis and surgical treatment of a Takayasu disease on an abdominal aortic dissection.
Ann Vasc Surg. 2011 May;25(4):556.e1-5. doi: 10.1016/j.avsg.2010.12.013. Epub 2011 Mar 25.
8
Surgical reconstruction of an ascending aortic dissection in Takayasu's arteritis.
Ann Thorac Surg. 1992 Aug;54(2):359-60. doi: 10.1016/0003-4975(92)91402-u.
9
[Acute rupture of an abdominal aortic aneurysm revealing Takayasu arteritis].
J Mal Vasc. 2013 Dec;38(6):373-6. doi: 10.1016/j.jmv.2013.09.005. Epub 2013 Nov 6.
10
Mega-aorta syndrome development in giant cell arteritis. A same entity?
Ann Vasc Surg. 2011 Nov;25(8):1141.e1-3. doi: 10.1016/j.avsg.2011.07.006.

引用本文的文献

1
A Systematic Review of Acute Thoracic Aortic Dissections in Africa-The Need for a Registry.
Aorta (Stamford). 2022 Dec;10(6):279-289. doi: 10.1055/s-0042-1757797. Epub 2022 Dec 20.
2
[Dissection of the abdominal aorta revealing Takayasu´s disease: about a case in Guinea].
Pan Afr Med J. 2020 Sep 8;37:34. doi: 10.11604/pamj.2020.37.34.21441. eCollection 2020.

本文引用的文献

1
Diagnosis and surgical treatment of a Takayasu disease on an abdominal aortic dissection.
Ann Vasc Surg. 2011 May;25(4):556.e1-5. doi: 10.1016/j.avsg.2010.12.013. Epub 2011 Mar 25.
2
[Epidemiology of Takayasu's disease in Maghreb].
Rev Med Interne. 2009 Dec;30 Suppl 4:S253-4. doi: 10.1016/j.revmed.2009.09.018. Epub 2009 Nov 5.
3
[Takayasu arteritis: a French single centre experience].
Rev Med Interne. 2010 Mar;31(3):208-15. doi: 10.1016/j.revmed.2009.01.011. Epub 2009 Mar 18.
4
[Pathogenesis of primary large vessel arteritis].
Rev Med Interne. 2009 Jul;30(7):578-84. doi: 10.1016/j.revmed.2008.08.002. Epub 2008 Sep 18.
5
Takayasu arteritis in children.
J Rheumatol. 2008 May;35(5):913-9. Epub 2008 Mar 15.
8
Diagnostic criteria for Takayasu arteritis.
Int J Cardiol. 1996 Aug;54 Suppl:S141-7. doi: 10.1016/s0167-5273(96)88783-3.
9
Takayasu arteritis. A study of 32 North American patients.
Medicine (Baltimore). 1985 Mar;64(2):89-99.
10
The American College of Rheumatology 1990 criteria for the classification of Takayasu arteritis.
Arthritis Rheum. 1990 Aug;33(8):1129-34. doi: 10.1002/art.1780330811.

文献AI研究员

20分钟写一篇综述,助力文献阅读效率提升50倍。

立即体验

用中文搜PubMed

大模型驱动的PubMed中文搜索引擎

马上搜索

文档翻译

学术文献翻译模型,支持多种主流文档格式。

立即体验