Suppr超能文献

先天性疾病患儿长期中心静脉导管尖端的最佳位置

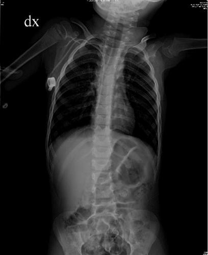
Optimal position of a long-term central venous catheter tip in a pediatric patient with congenital diseases.

作者信息

Caruselli Marco, Galante Dario, Ficcadenti Anna, Carboni Laura, Franco Federica, Fabrizzi Benedetta, Amici Lucia, Giretti Roberto, Rocchi Giovanni, Rinaldelli Giampaolo

机构信息

Anestesia and Intensive Care Unit, Salesi Children's Hospital , Ancona, Italy.

Anesthesia and Intensive Care Unit, University Hospital , Foggia, Italy.

出版信息

Pediatr Rep. 2012 Sep 28;4(3):e32. doi: 10.4081/pr.2012.e32. eCollection 2012 Jul 31.

Abstract

Progress in medical and scientific research has increased the chances of survival for young patients with congenital diseases, children who, in the past, would not have had any chance of survival. Nowadays, congenital diseases can be treated with appropriate replacement therapies. These treatments can be difficult to administer in young patients because of the high frequency of administration (sometimes more than a dose per week), the use of intravenous infusion and the long-term or life-term requirement.

摘要

医学和科学研究的进展提高了患有先天性疾病的年轻患者的存活几率,这些儿童在过去没有任何存活的机会。如今,先天性疾病可以通过适当的替代疗法进行治疗。由于给药频率高(有时每周超过一剂)、使用静脉输液以及长期或终身需求,这些治疗在年轻患者中可能难以实施。

https://cdn.ncbi.nlm.nih.gov/pmc/blobs/e1b6/4227319/76a622b52218/pr-2012-3-e32-g001.jpg

相似文献

1
Optimal position of a long-term central venous catheter tip in a pediatric patient with congenital diseases.
Pediatr Rep. 2012 Sep 28;4(3):e32. doi: 10.4081/pr.2012.e32. eCollection 2012 Jul 31.
2
Tip position of long-term central venous access devices used for parenteral nutrition.
JPEN J Parenter Enteral Nutr. 2007 Sep-Oct;31(5):382-7. doi: 10.1177/0148607107031005382.
3
Depth of a central venous catheter tip: length of insertion guideline for pediatric patients.
Acta Anaesthesiol Scand. 2006 Mar;50(3):355-7. doi: 10.1111/j.1399-6576.2006.00951.x.
4
Traditional Long-Term Central Venous Catheters Versus Transhepatic Venous Catheters in Infants and Young Children.
Pediatr Crit Care Med. 2017 Oct;18(10):944-948. doi: 10.1097/PCC.0000000000001276.
6
Venous air embolism during home infusion therapy.
Pediatrics. 2002 Jan;109(1):E15. doi: 10.1542/peds.109.1.e15.
7
Catheter malplacement during central venous cannulation through arm veins in pediatric patients.
J Neurosurg Anesthesiol. 2003 Jul;15(3):170-5. doi: 10.1097/00008506-200307000-00003.
9
Transhepatic Central Venous Catheters in Pediatric Patients With Congenital Heart Disease.
Pediatr Crit Care Med. 2015 Oct;16(8):726-32. doi: 10.1097/PCC.0000000000000484.

引用本文的文献

1
2
Surgical Management of Cardiac Masses in Right Atrium Among Bone Sarcoma Pediatric Patients With Totally Implanted Ports.
Front Oncol. 2022 Jun 16;12:926387. doi: 10.3389/fonc.2022.926387. eCollection 2022.

本文引用的文献

1
Central venous catheters in neonates: from simple monolumen to port catheter.
J Vasc Access. 2011 Jan-Mar;12(1):4-8. doi: 10.5301/jva.2010.5850.
2
Quality improvement guidelines for central venous access.
J Vasc Interv Radiol. 2010 Jul;21(7):976-81. doi: 10.1016/j.jvir.2010.03.006.
4
How correct is the correct length for central venous catheter insertion.
Indian J Crit Care Med. 2009 Jul-Sep;13(3):159-62. doi: 10.4103/0972-5229.58543.
6
ESPEN Guidelines on Parenteral Nutrition: central venous catheters (access, care, diagnosis and therapy of complications).
Clin Nutr. 2009 Aug;28(4):365-77. doi: 10.1016/j.clnu.2009.03.015. Epub 2009 May 21.
7
The pinch-off syndrome in a pediatric patient.
Paediatr Anaesth. 2009 Feb;19(2):179-81. doi: 10.1111/j.1460-9592.2008.02689.x.
8
Vascular access in oncology patients.
CA Cancer J Clin. 2008 Nov-Dec;58(6):323-46. doi: 10.3322/CA.2008.0015. Epub 2008 Oct 29.
9
Guidelines on the insertion and management of central venous access devices in adults.
Int J Lab Hematol. 2007 Aug;29(4):261-78. doi: 10.1111/j.1751-553X.2007.00931.x.
10
The optimal depth of central venous catheter for infants less than 5 kg.
Anesth Analg. 2005 Nov;101(5):1301-1303. doi: 10.1213/01.ANE.0000180997.72988.FE.

文献AI研究员

20分钟写一篇综述,助力文献阅读效率提升50倍。

立即体验

用中文搜PubMed

大模型驱动的PubMed中文搜索引擎

马上搜索

文档翻译

学术文献翻译模型,支持多种主流文档格式。

立即体验