Suppr超能文献

视觉诱发电位在诊断患有蛛网膜囊肿儿童的视觉通路功能障碍中的应用

Visual evoked potentials in a diagnosis of a visual pathway dysfunction of a child with an arachnoid cyst.

作者信息

Karaśkiewicz Joanna, Lubiński Wojciech, Penkala Krzysztof

机构信息

Department of Ophthalmology, Pomeranian Medical University, Ul. Powstańców Wielkopolskich 72, 70- 111, Szczecin, Poland,

出版信息

Doc Ophthalmol. 2015 Feb;130(1):77-81. doi: 10.1007/s10633-014-9468-4. Epub 2014 Nov 15.

Abstract

PURPOSE

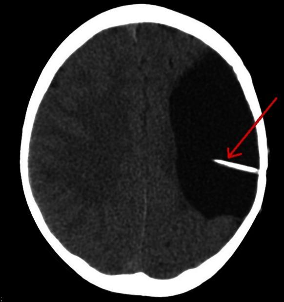
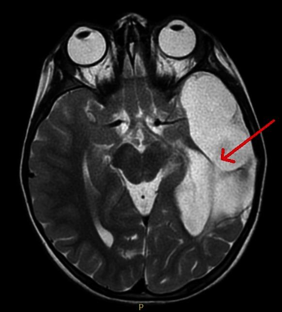
The aim of this case report was to demonstrate the usefulness of the flash visual evoked potentials in monitoring the effects of intracranial hypertension in a preterm-born child with a congenital arachnoid cyst.

METHODS AND RESULTS

At baseline, abnormalities were found in the right eye: exotropia and lack of foveal fixation. Visual acuity was not achieved. Pupillary responses were normal in both eyes. There was no evidence of nystagmus. Flash visual evoked potentials were normal and equal in both eyes. When repeated one year later the signal had deteriorated in both eyes; the peak times of N2 and P2 had increased. The increased VEP latencies were the only ocular signs noted. After referral to neurosurgery, intracranial hypertension was found and a shunt was performed.

CONCLUSIONS

Flash visual evoked potentials may be a valuable test in monitoring patients with arachnoid cysts.

摘要

目的

本病例报告的目的是证明闪光视觉诱发电位在监测一名患有先天性蛛网膜囊肿的早产儿颅内高压影响方面的作用。

方法与结果

基线时,右眼发现异常:外斜视和中央凹注视缺失。未达到视力。双眼瞳孔反应正常。无眼球震颤证据。双眼闪光视觉诱发电位正常且相等。一年后复查时,双眼信号均变差;N2和P2的峰值时间增加。VEP潜伏期增加是唯一观察到的眼部体征。转诊至神经外科后,发现颅内高压并进行了分流手术。

结论

闪光视觉诱发电位可能是监测蛛网膜囊肿患者的一项有价值的检查。

https://cdn.ncbi.nlm.nih.gov/pmc/blobs/1448/4302235/fd435dade3b4/10633_2014_9468_Fig1_HTML.jpg

文献AI研究员

20分钟写一篇综述,助力文献阅读效率提升50倍。

立即体验

用中文搜PubMed

大模型驱动的PubMed中文搜索引擎

马上搜索

文档翻译

学术文献翻译模型,支持多种主流文档格式。

立即体验