• 文献检索
  • 文档翻译
  • 深度研究
  • 学术资讯
  • Suppr Zotero 插件Zotero 插件
  • 邀请有礼
  • 套餐&价格
  • 历史记录
应用&插件
Suppr Zotero 插件Zotero 插件浏览器插件Mac 客户端Windows 客户端微信小程序
定价
高级版会员购买积分包购买API积分包
服务
文献检索文档翻译深度研究API 文档MCP 服务
关于我们
关于 Suppr公司介绍联系我们用户协议隐私条款
关注我们

Suppr 超能文献

核心技术专利:CN118964589B侵权必究
粤ICP备2023148730 号-1Suppr @ 2026

文献检索

告别复杂PubMed语法,用中文像聊天一样搜索,搜遍4000万医学文献。AI智能推荐,让科研检索更轻松。

立即免费搜索

文件翻译

保留排版,准确专业,支持PDF/Word/PPT等文件格式,支持 12+语言互译。

免费翻译文档

深度研究

AI帮你快速写综述,25分钟生成高质量综述,智能提取关键信息,辅助科研写作。

立即免费体验

整块切除与骨移植:它会改变儿童单骨型膨胀性骨纤维异常增殖症的自然病程吗?

En bloc resection and bone graft: does it alter the natural history of monostotic expansile fibrous dysplasia in children?

作者信息

Li Lianyong, Hou Xiangyu, Li Qiwei, Zhang Lijun

机构信息

Department of Pediatric Orthopedics, Shengjing Hospital of China Medical University, Shenyang City, Liaoning Province, P,R, China.

出版信息

World J Surg Oncol. 2014 Nov 18;12:349. doi: 10.1186/1477-7819-12-349.

DOI:10.1186/1477-7819-12-349
PMID:25407316
原文链接:https://pmc.ncbi.nlm.nih.gov/articles/PMC4246437/
Abstract

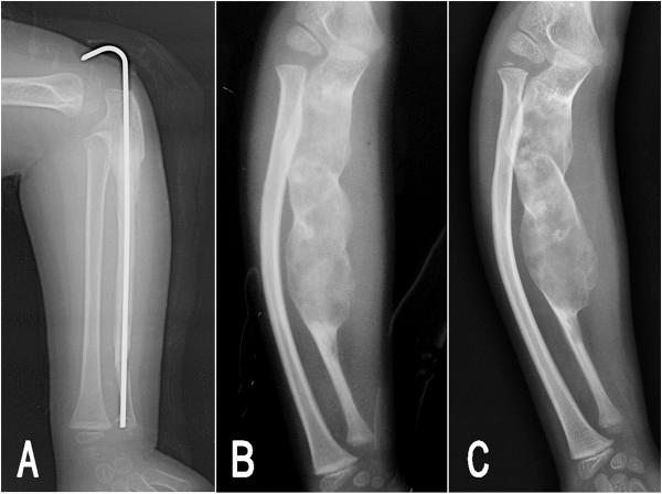
The surgical treatment of fibrous dysplasia remains a challenge for the pediatric orthopedist because of its high recurrence rate. Although a few successful treatments have been reported by using en bloc resection and bone graft in adults, this has not been reproduced in children. In this report, the authors present two children (2.5 and 6 years old) with monostotic expansile fibrous dysplasia involving the ulna and fibula, respectively, who underwent en bloc resection and autograft to replace the involved bones. Good bone union and functional recovery were obtained postoperatively. However, during a follow-up period of 8 and 5 years, respectively, the lesions recurred completely, and the deformities remained progressing over time. En bloc resection and bone graft cannot prevent recurrence in skeletally immature patients with monostotic expansile fibrous dysplasia, and cannot alter for the natural history of the disease. A combination of other management should be considered in children with fibrous dysplasia.

摘要

由于纤维结构不良的高复发率,其外科治疗对小儿骨科医生来说仍是一项挑战。尽管已有报道称在成人中采用整块切除和骨移植取得了一些成功的治疗案例,但在儿童中尚未得到重现。在本报告中,作者介绍了两名分别为2.5岁和6岁的儿童,他们分别患有累及尺骨和腓骨的单骨型膨胀性纤维结构不良,均接受了整块切除和自体骨移植以替换受累骨骼。术后获得了良好的骨愈合和功能恢复。然而,在分别为期8年和5年的随访期内,病变完全复发,畸形随时间持续进展。对于骨骼未成熟的单骨型膨胀性纤维结构不良患者,整块切除和骨移植无法预防复发,也无法改变疾病的自然病程。对于患有纤维结构不良的儿童,应考虑联合其他治疗方法。

https://cdn.ncbi.nlm.nih.gov/pmc/blobs/be63/4246437/181d65b77528/12957_2013_1811_Fig4_HTML.jpg
https://cdn.ncbi.nlm.nih.gov/pmc/blobs/be63/4246437/35055319b1af/12957_2013_1811_Fig1_HTML.jpg
https://cdn.ncbi.nlm.nih.gov/pmc/blobs/be63/4246437/1cc231934a25/12957_2013_1811_Fig2_HTML.jpg
https://cdn.ncbi.nlm.nih.gov/pmc/blobs/be63/4246437/1a49e04710b0/12957_2013_1811_Fig3_HTML.jpg
https://cdn.ncbi.nlm.nih.gov/pmc/blobs/be63/4246437/181d65b77528/12957_2013_1811_Fig4_HTML.jpg
https://cdn.ncbi.nlm.nih.gov/pmc/blobs/be63/4246437/35055319b1af/12957_2013_1811_Fig1_HTML.jpg
https://cdn.ncbi.nlm.nih.gov/pmc/blobs/be63/4246437/1cc231934a25/12957_2013_1811_Fig2_HTML.jpg
https://cdn.ncbi.nlm.nih.gov/pmc/blobs/be63/4246437/1a49e04710b0/12957_2013_1811_Fig3_HTML.jpg
https://cdn.ncbi.nlm.nih.gov/pmc/blobs/be63/4246437/181d65b77528/12957_2013_1811_Fig4_HTML.jpg

相似文献

1
En bloc resection and bone graft: does it alter the natural history of monostotic expansile fibrous dysplasia in children?整块切除与骨移植:它会改变儿童单骨型膨胀性骨纤维异常增殖症的自然病程吗?
World J Surg Oncol. 2014 Nov 18;12:349. doi: 10.1186/1477-7819-12-349.
2
The treatment of monostotic fibrous dysplasia of the first metatarsal with free vascularized fibular bone graft.采用游离带血管腓骨骨移植治疗第一跖骨单发性骨纤维异常增殖症。
J Foot Ankle Surg. 1993 Nov-Dec;32(6):604-10.
3
[Surgical reconstruction of fibrous dysplasia of bone in long-term follow-up].[骨纤维异常增殖症的手术重建:长期随访]
Z Orthop Ihre Grenzgeb. 2000 Mar-Apr;138(2):152-8. doi: 10.1055/s-2000-10131.
4
Monostotic fibrous dysplasia of the thoracic spine: clinopathological description and follow up. Case report.胸椎单骨型纤维结构不良:临床病理描述与随访。病例报告。
J Neurosurg. 2004 Apr;100(4 Suppl Spine):378-81. doi: 10.3171/spi.2004.100.4.0378.
5
Conservative surgical management of simple monostotic fibrous dysplasia of the proximal femur in a 19-year-old basketballer: a case report.一名19岁篮球运动员股骨近端单发性骨纤维异常增殖症的保守手术治疗:病例报告
J Med Case Rep. 2018 Aug 31;12(1):240. doi: 10.1186/s13256-018-1763-3.
6
Focal fibrocartilaginous dysplasia in the ulna: report on 3 cases.尺骨局灶性纤维软骨发育异常:3例报告
J Hand Surg Am. 2012 Nov;37(11):2300-3. doi: 10.1016/j.jhsa.2012.08.008.
7
Functional and radiological outcomes of a minimally invasive surgical approach to monostotic fibrous dysplasia.单发性骨纤维异常增殖症微创外科手术方法的功能及影像学结果
World J Surg Oncol. 2017 Jan 5;15(1):1. doi: 10.1186/s12957-016-1068-1.
8
Monostotic fibrous dysplasia of the mandible.下颌骨单发性骨纤维异常增殖症
J Craniofac Surg. 2012 Sep;23(5):e452-4. doi: 10.1097/SCS.0b013e318262d9b1.
9
[Surgical treatment for fibrous dysplasia of bone involving proximal femur].[股骨近端骨纤维异常增殖症的外科治疗]
Zhongguo Xiu Fu Chong Jian Wai Ke Za Zhi. 2009 Mar;23(3):261-4.
10
A variant of fibrous dysplasia (osteofibrous dysplasia).骨纤维发育不良的一种变体(骨化性纤维发育不良)。
J Bone Joint Surg Am. 1982 Feb;64(2):231-6.

引用本文的文献

1
Monostotic fibrous dysplasia at C7 treated with vertebroplasty: a case report and review of the literature.C7 单发性骨纤维发育不良行椎体成形术治疗:病例报告及文献复习。
World J Surg Oncol. 2019 Nov 9;17(1):186. doi: 10.1186/s12957-019-1717-2.
2
Fibrous dysplasia of bone: Surgical management options and outcomes of 22 cases.骨纤维异常增殖症:22例患者的手术治疗选择及结果
Mol Clin Oncol. 2018 Jul;9(1):98-103. doi: 10.3892/mco.2018.1636. Epub 2018 May 21.
3
Functional and radiological outcomes of a minimally invasive surgical approach to monostotic fibrous dysplasia.

本文引用的文献

1
Diagnostic value of investigating GNAS mutations in fibro-osseous lesions: a retrospective study of 91 cases of fibrous dysplasia and 40 other fibro-osseous lesions.探讨 GNAS 基因突变在纤维骨性病损中的诊断价值:一项对 91 例纤维结构不良和 40 例其他纤维骨性病损的回顾性研究。
Mod Pathol. 2013 Jul;26(7):911-21. doi: 10.1038/modpathol.2012.223. Epub 2013 Feb 1.
2
Resection of the entire first rib for fibrous dysplasia using a combined posterior-transmanubrial approach.采用后纵隔联合胸骨柄入路切除第一肋骨整块治疗骨纤维异常增殖症。
Gen Thorac Cardiovasc Surg. 2012 Sep;60(9):584-6. doi: 10.1007/s11748-012-0044-0. Epub 2012 May 22.
3
单发性骨纤维异常增殖症微创外科手术方法的功能及影像学结果
World J Surg Oncol. 2017 Jan 5;15(1):1. doi: 10.1186/s12957-016-1068-1.
The diagnostic utility of the GNAS mutation in patients with fibrous dysplasia: meta-analysis of 168 sporadic cases.
GNAS 突变在纤维结构不良患者中的诊断效用:168 例散发性病例的荟萃分析。
Hum Pathol. 2012 Aug;43(8):1234-42. doi: 10.1016/j.humpath.2011.09.012. Epub 2012 Jan 14.
4
Monostotic fibrous dysplasia of the ribs.肋骨单发性骨纤维发育不良
Interact Cardiovasc Thorac Surg. 2012 Jan;14(1):41-3. doi: 10.1093/icvts/ivr048. Epub 2011 Nov 16.
5
Fibrous dysplasia: a systematic review.骨纤维异常增殖症:一项系统评价。
Dentomaxillofac Radiol. 2009 May;38(4):196-215. doi: 10.1259/dmfr/16645318.
6
[Fibrous dysplasia of the rib. Ten case reports].[肋骨纤维发育不良。十例病例报告]
Rev Chir Orthop Reparatrice Appar Mot. 2008 May;94(3):301-7. doi: 10.1016/j.rco.2007.04.001. Epub 2008 Feb 20.
7
Free vascularized fibular grafting for reconstruction after tumor resection in the upper extremity.游离带血管腓骨移植在上肢肿瘤切除术后的重建应用
J Surg Oncol. 2006 Aug 1;94(2):114-27. doi: 10.1002/jso.20326.
8
Fibrous dysplasia of the fourth metacarpal: en-bloc resection and free metatarsal transfer.第四掌骨骨纤维异常增殖症:整块切除及游离跖骨移植
Orthopedics. 2006 Apr;29(4):371-2. doi: 10.3928/01477447-20060401-07.
9
Pamidronate treatment of polyostotic fibrous dysplasia: failure to prevent expansion of dysplastic lesions during childhood.帕米膦酸盐治疗多骨型纤维性骨发育不良:未能防止儿童期发育异常病变的扩展。
J Pediatr Endocrinol Metab. 2006 Jan;19(1):75-80. doi: 10.1515/jpem.2006.19.1.75.
10
Treatment of fibrous dysplasia of bone with intravenous pamidronate: long-term effectiveness and evaluation of predictors of response to treatment.静脉注射帕米膦酸治疗骨纤维异常增殖症:长期疗效及治疗反应预测因素评估
Bone. 2004 Jul;35(1):235-42. doi: 10.1016/j.bone.2004.03.004.