Suppr超能文献

家族性中脑周围蛛网膜下腔出血:两例病例报告。

Familial perimesencephalic subarachnoid hemorrhage: two case reports.

作者信息

Cıkla Ulaş, Aagaard-Kienitz Beverly, Turski Patrick A, Menekse Guner, Niemann David B, Başkaya Mustafa K

机构信息

Department of Neurological Surgery, School of Medicine and Public Health, University of Wisconsin, Madison, WI, USA.

出版信息

J Med Case Rep. 2014 Nov 22;8:380. doi: 10.1186/1752-1947-8-380.

Abstract

INTRODUCTION

Non-aneurysmal spontaneous subarachnoid hemorrhage is characterized by an accumulation of a limited amount of subarachnoid hemorrhage, predominantly around the midbrain, and a lack of blood in the brain parenchyma or ventricular system. It represents 5% of all spontaneous subarachnoid hemorrhage cases. In spite of extensive investigation, understanding of the mechanisms leading to perimesencephalic non-aneurysmal subarachnoid hemorrhage remains incompletely defined. A growing body of evidence has supported a familial predisposition for non-aneurysmal spontaneous subarachnoid hemorrhage.

CASE PRESENTATION

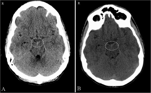
A 39-year-old Caucasian man presented with sudden onset headache associated with diplopia. His computed tomography scan revealed perimesencephalic subarachnoid hemorrhage. A cerebral angiogram showed no apparent source of bleeding. He was treated conservatively and discharged after 1 week without any neurological deficits. The older brother of the first case, a 44-year-old Caucasian man, presented 1.5 years later with acute onset of headache and his computed tomography scan also showed perimesencephalic non-aneurysmal subarachnoid hemorrhage. He was discharged home with normal neurological examination 1 week later. Follow-up angiograms did not reveal any source of bleeding in either patient.

CONCLUSIONS

We report the cases of two siblings with perimesencephalic non-aneurysmal subarachnoid hemorrhage, which may further suggest a familial predisposition of non-aneurysmal spontaneous subarachnoid hemorrhage and may also point out the possible higher risk of perimesencephalic non-aneurysmal subarachnoid hemorrhage in the first-degree relatives of patients with perimesencephalic non-aneurysmal subarachnoid hemorrhage.

摘要

引言

非动脉瘤性自发性蛛网膜下腔出血的特征是蛛网膜下腔出血积聚量有限,主要围绕中脑,脑实质或脑室系统无血液。它占所有自发性蛛网膜下腔出血病例的5%。尽管进行了广泛研究,但对导致中脑周围非动脉瘤性蛛网膜下腔出血的机制仍未完全明确。越来越多的证据支持非动脉瘤性自发性蛛网膜下腔出血存在家族易感性。

病例报告

一名39岁的白种男性因突发头痛伴复视而就诊。他的计算机断层扫描显示中脑周围蛛网膜下腔出血。脑血管造影未显示明显的出血源。他接受了保守治疗,1周后出院,无任何神经功能缺损。第一例患者的哥哥,一名44岁的白种男性,1.5年后因急性头痛就诊,其计算机断层扫描也显示中脑周围非动脉瘤性蛛网膜下腔出血。1周后他神经系统检查正常出院。随访血管造影未发现任何一例患者有出血源。

结论

我们报告了两例患有中脑周围非动脉瘤性蛛网膜下腔出血的兄弟姐妹病例,这可能进一步提示非动脉瘤性自发性蛛网膜下腔出血的家族易感性,也可能指出中脑周围非动脉瘤性蛛网膜下腔出血患者的一级亲属发生中脑周围非动脉瘤性蛛网膜下腔出血的风险可能更高。

https://cdn.ncbi.nlm.nih.gov/pmc/blobs/2998/4275759/63eb513a9fc4/1752-1947-8-380-1.jpg

文献检索

告别复杂PubMed语法,用中文像聊天一样搜索,搜遍4000万医学文献。AI智能推荐,让科研检索更轻松。

立即免费搜索

文件翻译

保留排版,准确专业,支持PDF/Word/PPT等文件格式,支持 12+语言互译。

免费翻译文档

深度研究

AI帮你快速写综述,25分钟生成高质量综述,智能提取关键信息,辅助科研写作。

立即免费体验