Huang Lei, Wong Sunnie, Snyder Evan Y, Hamblin Milton H, Lee Jean-Pyo
Stem Cell Res Ther. 2014 Nov 23;5(6):129. doi: 10.1186/scrt519.
Clinically, a good deal of injury from stroke results from ischemic-reperfusion. There is a loss of cerebral parenchyma and its associated cells, disruption of neuronal connections, compromise of the blood-brain barrier, and inflammation. We tested whether exogenously engrafted human neural stem cells could migrate rapidly and extensively to damaged regions, following transplantation into a neurogenic site where migration cues are already underway during stroke onset, then counteract a number of these pathological processes.
One day post-injury, we injected human neural stem cells (hNSCs) into the ipsilesional hippocampus of a mouse model of stroke with middle cerebral artery occlusion to induce focal ischemia followed by reperfusion (MCAO/R). The time frame for hNSC transplantation corresponded to upregulation of endogenous proinflammatory cytokines. We examined the effect of hNSC transplantation on pathological processes and behavioral dysfunction 48 hours post-injury.
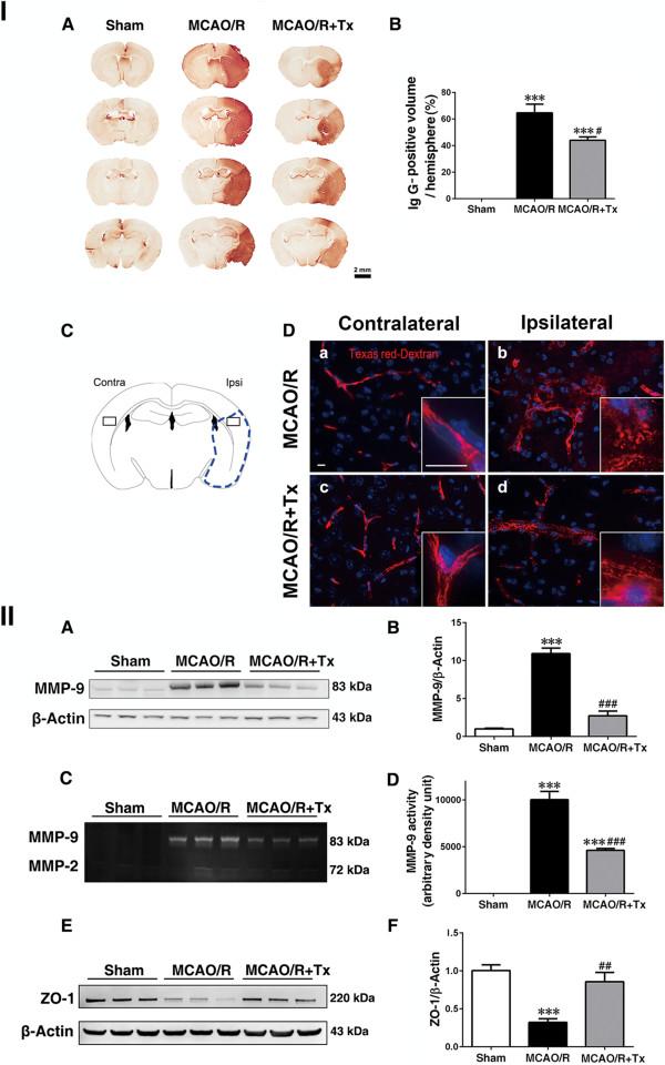
Twenty-four hours after transplantation, engrafted hNSCs had migrated extensively to the lesion, and infarct volume was reduced relative to MCAO/R controls. The behavioral deficits seen in MCAO/R controls were also significantly improved. Given this rapid response, we hypothesized that the mechanisms underlying therapeutic activity were anti-inflammatory rather than due to cell replacement. In support of this idea, in hNSC-transplanted mice we observed reduced microglial activation, decreased expression of proinflammatory factors (tumor necrosis factor-α, interleukin (IL)-6, IL-1β, monocyte chemotactic protein-1, macrophage inflammatory protein-1α) and adhesion molecules (intercellular adhesion molecule-1, vascular cell adhesion molecule-1), and amelioration of blood-brain barrier damage.
While long-term effects of engrafted hNSCs on the amelioration of ischemic stroke-induced behavioral dysfunction in a rodent model have been reported, our study is the first to show rapid, beneficial impacts on behavioral function (within 24 hours) upon early delivery of hNSCs into the hippocampus.
临床上,大量中风损伤是由缺血再灌注引起的。会出现脑实质及其相关细胞的损失、神经元连接中断、血脑屏障受损以及炎症反应。我们测试了外源性植入的人神经干细胞在移植到中风发作时迁移信号已经启动的神经源性位点后,是否能够快速且广泛地迁移到受损区域,进而对抗多种这些病理过程。
在损伤后一天,我们将人神经干细胞(hNSCs)注射到大脑中动脉闭塞诱导局灶性缺血再灌注(MCAO/R)的中风小鼠模型的同侧海马体中。hNSC移植的时间框架与内源性促炎细胞因子的上调相对应。我们在损伤后48小时检查了hNSC移植对病理过程和行为功能障碍的影响。
移植后24小时,植入的hNSCs已广泛迁移至损伤部位,与MCAO/R对照组相比,梗死体积减小。MCAO/R对照组中观察到的行为缺陷也得到了显著改善。鉴于这种快速反应,我们推测治疗活性的潜在机制是抗炎作用而非细胞替代作用。支持这一观点的是,在hNSC移植的小鼠中,我们观察到小胶质细胞活化减少、促炎因子(肿瘤坏死因子-α、白细胞介素(IL)-6、IL-1β、单核细胞趋化蛋白-1、巨噬细胞炎性蛋白-1α)和黏附分子(细胞间黏附分子-1、血管细胞黏附分子-1)的表达降低,以及血脑屏障损伤得到改善。
虽然已有报道称植入的hNSCs对啮齿动物模型中缺血性中风诱导的行为功能障碍的改善具有长期影响,但我们的研究首次表明,早期将hNSCs注入海马体对行为功能有快速的有益影响(在24小时内)。