Suppr超能文献

牵牛花综合征与多发性硬化症相关。

Morning glory syndrome associated with multiple sclerosis.

作者信息

Safari Anahid, Jafari Esmail, Borhani-Haghighi Afshin

机构信息

Clinical Neurology Research Center, School of Medicine, Shiraz University of Medical Sciences, Shiraz, Iran.

Department of Ophthalmology, Division of Corneal Disease, School of Medicine, Iran University of Medical Sciences, Tehran, Iran.

出版信息

Iran J Neurol. 2014 Jul 4;13(3):177-80.

Abstract

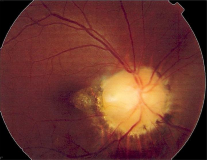
Morning glory syndrome (MGS) is a rare congenital optic disc anomaly characterized by a funnel-shaped, excavated optic disc surrounded by chorioretinal pigmentary disturbance. The main ophthalomoscopic feature of the MGS is enlarged optic disc with a funnel shaped scleral defect; elevated peripapillary chorioretinal pigmentation; and pale fluffy tissue of glial hyperplasia overlying the optic disc. Although most of the reported cases were isolated ocular abnormality, but it may occurs in association with other ophthalmic abnormalities such as cyst of the optic nerve atrophy, congenital cataract, microophthalmos, and aniridia. Craniofacial deformities such as cleft lip and palate, hypertelorism, dysplatic ears; renal abnormalities; and cardiac defects have also been reported with MGS. Herein, we present a case of MGS associated with multiple sclerosis - a rather unusual concurrence.

摘要

牵牛花综合征(MGS)是一种罕见的先天性视盘异常,其特征为漏斗状、凹陷的视盘,周围伴有脉络膜视网膜色素紊乱。MGS的主要检眼镜特征是视盘增大,伴有漏斗状巩膜缺损;视乳头周围脉络膜视网膜色素沉着升高;以及覆盖在视盘上的苍白蓬松的胶质增生组织。尽管大多数报道的病例为孤立性眼部异常,但它可能与其他眼科异常同时出现,如视神经萎缩囊肿、先天性白内障、小眼球和无虹膜。还报道了MGS伴有唇腭裂、眼距过宽、耳部发育异常等颅面畸形;肾脏异常;以及心脏缺陷。在此,我们报告一例与多发性硬化相关的MGS病例——这是一种相当不寻常的并发情况。

https://cdn.ncbi.nlm.nih.gov/pmc/blobs/ce91/4240937/18b7caa196de/IJNL-13-177-g001.jpg

文献AI研究员

20分钟写一篇综述,助力文献阅读效率提升50倍。

立即体验

用中文搜PubMed

大模型驱动的PubMed中文搜索引擎

马上搜索

文档翻译

学术文献翻译模型,支持多种主流文档格式。

立即体验