Suppr超能文献

磁共振成像显示症状性椎基底动脉夹层快速进展:一例报告

Rapid progression of symptomatic vertebrobasilar artery dissection on magnetic resonance imaging: a case report.

作者信息

Kim Hyung-Seok, Kwak Hyo-Sung, Hwang Seung Bae, Chung Gyung Ho

机构信息

Department of Neurosurgery, IS Hallym Medical Center, Incheon, Korea.

Department of Radiology, Chonbuk National University Medical School and Hospital, Jeonju, Korea.

出版信息

Neurointervention. 2014 Sep;9(2):106-8. doi: 10.5469/neuroint.2014.9.2.106. Epub 2014 Sep 3.

Abstract

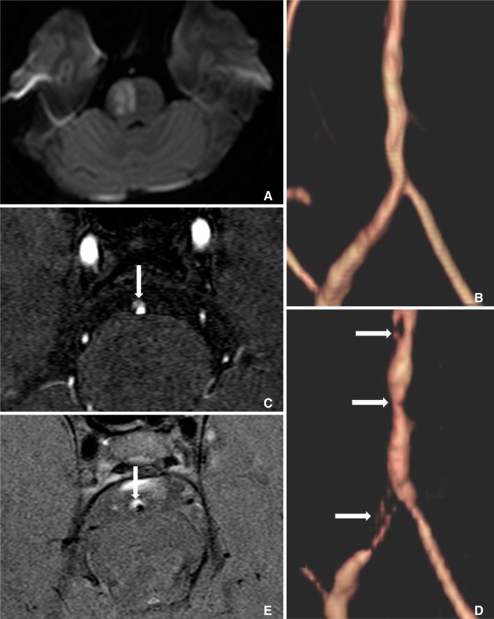
Spontaneous intracranial vertebrobasilar dissection can manifest with various clinical symptoms, including subarachnoid hemorrhage or ischemic symptoms from impaired posterior circulation. A 29-year-old woman came to our emergency department with a sudden onset of left sided mild motor weakness and headache. Initial magnetic resonance imaging (MRI) showed mild luminal irregularities in the vertebrobasilar arteries with an eccentric periluminal hematoma. Follow-up MRI obtained 3 days later showed a progression of vertebrobasilar dissection to multifocal stenoses with an increased intramural hematoma.

摘要

自发性颅内椎基底动脉夹层可表现为多种临床症状,包括蛛网膜下腔出血或后循环受损导致的缺血症状。一名29岁女性因突然出现左侧轻度运动无力和头痛前来我院急诊科就诊。初始磁共振成像(MRI)显示椎基底动脉管腔轻度不规则,伴有偏心性管周血肿。3天后进行的随访MRI显示椎基底动脉夹层进展为多灶性狭窄,壁内血肿增大。

https://cdn.ncbi.nlm.nih.gov/pmc/blobs/71d7/4239409/61ce03d84f3d/ni-9-106-g001.jpg

文献AI研究员

20分钟写一篇综述,助力文献阅读效率提升50倍。

立即体验

用中文搜PubMed

大模型驱动的PubMed中文搜索引擎

马上搜索

文档翻译

学术文献翻译模型,支持多种主流文档格式。

立即体验