Suppr超能文献

复发性卵巢类固醇细胞瘤,未另作说明,采用减瘤手术、射频消融及辅助化疗进行治疗。

Recurrent ovarian steroid cell tumor, not otherwise specified managed with debulking surgery, radiofrequency ablation, and adjuvant chemotherapy.

作者信息

Kim Jin Suk, Park Seong Nam, Kim Byoung Ryun

机构信息

Department of Obstetrics and Gynecology, Wonkwang University School of Medicine, Iksan, Korea.

出版信息

Obstet Gynecol Sci. 2014 Nov;57(6):534-8. doi: 10.5468/ogs.2014.57.6.534. Epub 2014 Nov 20.

Abstract

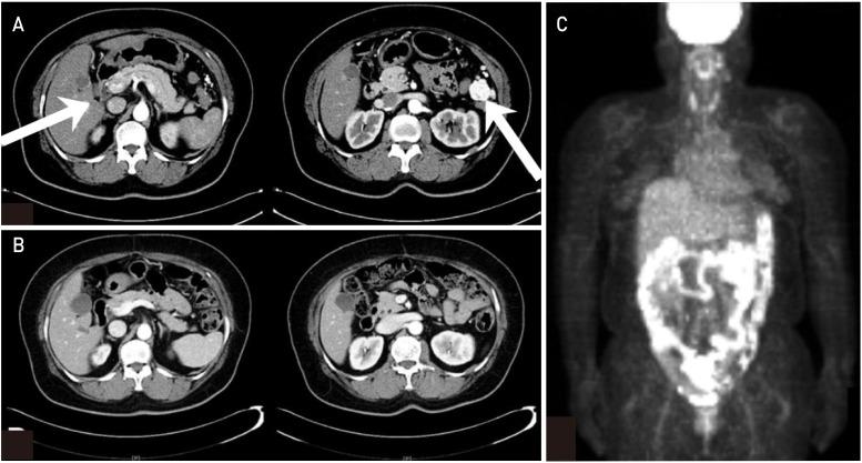
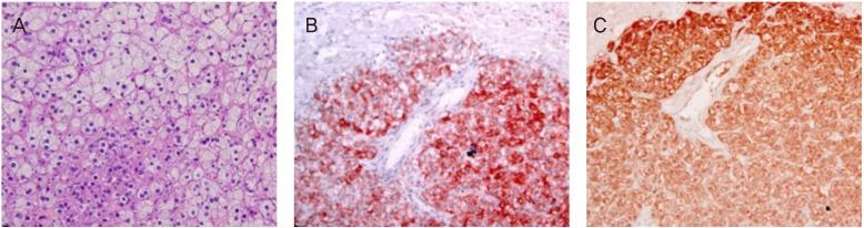
Steroid cell tumors, not otherwise specified, are infrequently encountered ovarian neoplasms, which constitute <0.1% of all ovarian tumors. Most of these tumors are unilateral, and almost one-third of all cases are reportedly malignant. However, because most of these tumors are diagnosed in the early stage, and do not recur or metastasize, little is known about their response to therapies such as chemotherapy or radiation. Here, we present a rare case of recurrent steroid cell tumor, not otherwise specified that showed a complete response after debulking surgery, radiofrequency ablation, and adjuvant chemotherapy.

摘要

未另行指定的类固醇细胞瘤是罕见的卵巢肿瘤,占所有卵巢肿瘤的比例不到0.1%。这些肿瘤大多为单侧性,据报道,所有病例中近三分之一为恶性。然而,由于这些肿瘤大多在早期被诊断出来,且不复发或转移,因此对其对化疗或放疗等治疗的反应了解甚少。在此,我们报告一例罕见的复发性未另行指定的类固醇细胞瘤病例,该病例在肿瘤减灭术、射频消融和辅助化疗后显示出完全缓解。

https://cdn.ncbi.nlm.nih.gov/pmc/blobs/c86c/4245350/cba3c4f267d9/ogs-57-534-g001.jpg

文献AI研究员

20分钟写一篇综述,助力文献阅读效率提升50倍。

立即体验

用中文搜PubMed

大模型驱动的PubMed中文搜索引擎

马上搜索

文档翻译

学术文献翻译模型,支持多种主流文档格式。

立即体验