Suppr超能文献

A silent storm.

作者信息

Lim Chiow Teen, Phoa Lee Lan

机构信息

Department of Respiratory and Critical Care Medicine, Khoo Teck Puat Hospital Singapore, Singapore.

出版信息

Respirol Case Rep. 2014 Mar;2(1):18-20. doi: 10.1002/rcr2.35. Epub 2013 Dec 10.

Abstract

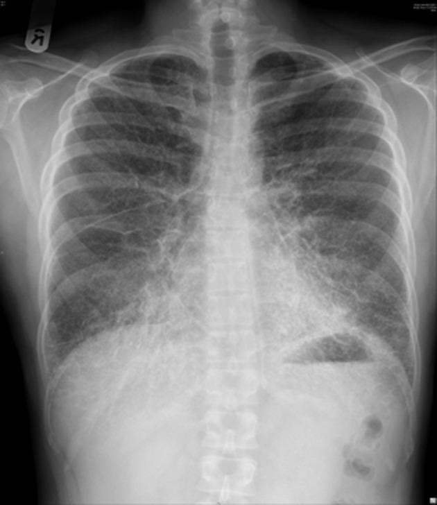
Pulmonary alveolar microlithiasis is a rare, inherited pulmonary disorder affecting young adults. Diagnosis and monitoring is important as it may progress to pulmonary fibrosis and respiratory failure. No effective treatment has been found to date.

摘要
https://cdn.ncbi.nlm.nih.gov/pmc/blobs/91e9/4184723/83bbcb585131/rcr20002-0018-f1.jpg

文献AI研究员

20分钟写一篇综述,助力文献阅读效率提升50倍。

立即体验

用中文搜PubMed

大模型驱动的PubMed中文搜索引擎

马上搜索

文档翻译

学术文献翻译模型,支持多种主流文档格式。

立即体验