• 文献检索
  • 文档翻译
  • 深度研究
  • 学术资讯
  • Suppr Zotero 插件Zotero 插件
  • 邀请有礼
  • 套餐&价格
  • 历史记录
应用&插件
Suppr Zotero 插件Zotero 插件浏览器插件Mac 客户端Windows 客户端微信小程序
定价
高级版会员购买积分包购买API积分包
服务
文献检索文档翻译深度研究API 文档MCP 服务
关于我们
关于 Suppr公司介绍联系我们用户协议隐私条款
关注我们

Suppr 超能文献

核心技术专利:CN118964589B侵权必究
粤ICP备2023148730 号-1Suppr @ 2026

文献检索

告别复杂PubMed语法,用中文像聊天一样搜索,搜遍4000万医学文献。AI智能推荐,让科研检索更轻松。

立即免费搜索

文件翻译

保留排版,准确专业,支持PDF/Word/PPT等文件格式,支持 12+语言互译。

免费翻译文档

深度研究

AI帮你快速写综述,25分钟生成高质量综述,智能提取关键信息,辅助科研写作。

立即免费体验

年轻女性不明原发恶性肿瘤的致命性肺肿瘤栓塞性微血管病

Fatal Pulmonary Tumor Embolic Microangiopathy in Young Lady without Known Primary Malignancy.

作者信息

Hammodi Adel, Al-Azem M Ali, Hanafy Ahmed, Nakkar Talal

机构信息

King Fahad Specialist Hospital, P.O. Box 15215, Dammam 31444, Saudi Arabia.

Critical Care Department, King Fahad Specialist Hospital, P.O. Box 15215, Dammam 31444, Saudi Arabia.

出版信息

Case Rep Crit Care. 2014;2014:231081. doi: 10.1155/2014/231081. Epub 2014 Nov 13.

DOI:10.1155/2014/231081
PMID:25478243
原文链接:https://pmc.ncbi.nlm.nih.gov/articles/PMC4247920/
Abstract

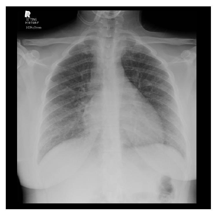
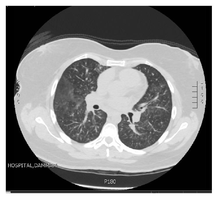
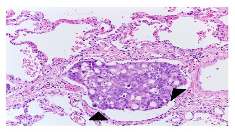
Pulmonary embolism (PE) is a common cause of morbidity and mortality in hospitalized patients. Malignancy, prolonged recumbence, and chemotherapy are renowned risk factors for development of clinically significant PE. Cancer exerts a multitude of pathophysiological processes, for example, hypercoagulability and abnormal vessels with sluggish circulation that can lead to PE. One of the peculiar characteristics of tumor cells is their ability to reach the circulation and behave as blood clot-not a metastasis-occluding the pulmonary circulation. We present a case of fatal pulmonary embolism diagnosed histologically to be due to tumor cell embolism.

摘要

肺栓塞(PE)是住院患者发病和死亡的常见原因。恶性肿瘤、长期卧床和化疗是临床上显著PE发生的著名危险因素。癌症会引发多种病理生理过程,例如高凝状态和血管异常伴循环缓慢,进而可能导致PE。肿瘤细胞的一个独特特征是它们能够进入循环系统并表现为血凝块——而非转移灶——阻塞肺循环。我们报告一例经组织学诊断为肿瘤细胞栓塞导致的致命性肺栓塞病例。

https://cdn.ncbi.nlm.nih.gov/pmc/blobs/d2e8/4247920/56f2277e07e4/CRICC2014-231081.003.jpg
https://cdn.ncbi.nlm.nih.gov/pmc/blobs/d2e8/4247920/91417fe142d0/CRICC2014-231081.001.jpg
https://cdn.ncbi.nlm.nih.gov/pmc/blobs/d2e8/4247920/c886ee03e7f4/CRICC2014-231081.002.jpg
https://cdn.ncbi.nlm.nih.gov/pmc/blobs/d2e8/4247920/56f2277e07e4/CRICC2014-231081.003.jpg
https://cdn.ncbi.nlm.nih.gov/pmc/blobs/d2e8/4247920/91417fe142d0/CRICC2014-231081.001.jpg
https://cdn.ncbi.nlm.nih.gov/pmc/blobs/d2e8/4247920/c886ee03e7f4/CRICC2014-231081.002.jpg
https://cdn.ncbi.nlm.nih.gov/pmc/blobs/d2e8/4247920/56f2277e07e4/CRICC2014-231081.003.jpg

相似文献

1
Fatal Pulmonary Tumor Embolic Microangiopathy in Young Lady without Known Primary Malignancy.年轻女性不明原发恶性肿瘤的致命性肺肿瘤栓塞性微血管病
Case Rep Crit Care. 2014;2014:231081. doi: 10.1155/2014/231081. Epub 2014 Nov 13.
2
A nationwide family study of pulmonary embolism: identification of high risk families with increased risk of hospitalized and fatal pulmonary embolism.全国性肺栓塞家系研究:识别具有更高住院和致命性肺栓塞风险的高危家族。
Thromb Res. 2012 Aug;130(2):178-82. doi: 10.1016/j.thromres.2012.02.002. Epub 2012 Mar 2.
3
[The Importance of the Type of Heart Circulation for the Prognosis of Pulmonary Embolism].[心脏循环类型对肺栓塞预后的重要性]
Kardiologiia. 2019 Dec 11;59(12):35-43. doi: 10.18087/cardio.2019.12.n634.
4
Long-term treatment with low-molecular-weight heparin prolonged the survival time for acute pulmonary embolism patients concurrent with malignancy: an observational analysis from a long-term follow-up study.
Thromb Res. 2015 Apr;135(4):582-7. doi: 10.1016/j.thromres.2014.11.015. Epub 2014 Nov 26.
5
Long-term mortality after massive, submassive, and low-risk pulmonary embolism.大面积、次大面积和低危肺栓塞患者的长期死亡率。
Vasc Med. 2020 Apr;25(2):141-149. doi: 10.1177/1358863X19886374. Epub 2019 Dec 17.
6
Pulmonary embolism in patients with transvenous cardiac implantable electronic device leads.经静脉植入心脏植入式电子装置导线患者的肺栓塞
Europace. 2016 Feb;18(2):246-52. doi: 10.1093/europace/euv038. Epub 2015 Mar 12.
7
Long term prognosis of acute pulmonary embolism.急性肺栓塞的长期预后。
Eur J Intern Med. 2019 Sep;67:84-88. doi: 10.1016/j.ejim.2019.07.004. Epub 2019 Jul 17.
8
Residual perfusion defects in patients with pulmonary embolism are related to impaired fibrinolytic capacity.肺栓塞患者的残余灌注缺损与纤溶能力受损有关。
Thromb Res. 2014 Sep;134(3):737-41. doi: 10.1016/j.thromres.2014.07.013. Epub 2014 Jul 17.
9
Central clot score at computed tomography as a predictor of 30-day mortality after acute pulmonary embolism.计算机断层扫描中心血栓评分对急性肺栓塞 30 天后死亡率的预测作用。
Ann Acad Med Singap. 2010 Jun;39(6):442-7.
10
Performance of the Wells score in patients with suspected pulmonary embolism during hospitalization: a delayed-type cross sectional study in a community hospital.在社区医院中,对疑似肺栓塞住院患者应用 Wells 评分的表现:一项迟发型横断面研究。
Thromb Res. 2014 Feb;133(2):177-81. doi: 10.1016/j.thromres.2013.11.018. Epub 2013 Nov 25.

引用本文的文献

1
Metastatic pancreatic cancer presenting with pulmonary arterial hypertension.转移性胰腺癌伴肺动脉高压。
Saudi Med J. 2023 Feb;44(2):218-222. doi: 10.15537/smj.2023.44.2.20220632.

本文引用的文献

1
Pulmonary tumor thrombotic microangiopathy diagnosed antemortem and treated with combination chemotherapy.生前诊断为肺肿瘤血栓性微血管病并接受联合化疗治疗。
Intern Med. 2012;51(19):2767-70. doi: 10.2169/internalmedicine.51.7682. Epub 2012 Oct 1.
2
[A case of adenocarcinoma of the lung with a pulmonary thromboembolism which improved with gefitinib].1例肺腺癌伴肺血栓栓塞症患者经吉非替尼治疗后病情改善
Nihon Kokyuki Gakkai Zasshi. 2011 Apr;49(4):282-6.
3
Fatal acute pulmonary hypertension caused by pulmonary tumour thrombotic microangiopathy.
肺肿瘤血栓性微血管病导致的致命性急性肺动脉高压
Int J Cardiol. 2008 Feb 20;124(1):e11-3. doi: 10.1016/j.ijcard.2006.11.162. Epub 2007 Mar 8.
4
Venous thromboembolic disease and cancer.静脉血栓栓塞性疾病与癌症
Postgrad Med J. 2006 Oct;82(972):642-8. doi: 10.1136/pgmj.2006.046987.
5
Pulmonary tumor embolism.肺肿瘤栓塞
Am J Respir Crit Care Med. 1997 Jun;155(6):2089-95. doi: 10.1164/ajrccm.155.6.9196119.
6
Left atrial myxoma and atrial septal defect with recurrent pulmonary emboli.左心房黏液瘤合并房间隔缺损伴复发性肺栓塞。
South Med J. 1985 Aug;78(8):992-4. doi: 10.1097/00007611-198508000-00026.
7
Clinical suspicion of autopsy-proven thrombotic and tumor pulmonary embolism in cancer patients.
Am Heart J. 1987 Dec;114(6):1432-5. doi: 10.1016/0002-8703(87)90548-5.
8
Pulmonary microvascular cytology in the diagnosis of lymphangitic carcinomatosis.肺微血管细胞学检查在淋巴管癌病诊断中的应用
N Engl J Med. 1989 Jul 13;321(2):71-6. doi: 10.1056/NEJM198907133210202.
9
Microscopic pulmonary tumor emboli associated with dyspnea.与呼吸困难相关的微小肺肿瘤栓子。
Cancer. 1975 Oct;36(4):1473-82. doi: 10.1002/1097-0142(197510)36:4<1473::aid-cncr2820360440>3.0.co;2-d.