Suppr超能文献

核溶原虫的形态学和分子特征——一种被忽视但常见的感染某些欧洲蜥蜴的寄生虫

Morphological and molecular characterization of Karyolysus--a neglected but common parasite infecting some European lizards.

作者信息

Haklová-Kočíková Božena, Hižňanová Adriana, Majláth Igor, Račka Karol, Harris David James, Földvári Gábor, Tryjanowski Piotr, Kokošová Natália, Malčeková Beáta, Majláthová Viktória

机构信息

Institute of Parasitology, Slovak Academy of Sciences, Hlinkova 3, 040 01, Košice, Slovak Republic.

Institute of Biology and Ecology, University of P. J. Šafárik in Košice, Moyzesova 11, 040 01, Košice, Slovak Republic.

出版信息

Parasit Vectors. 2014 Dec 10;7:555. doi: 10.1186/s13071-014-0555-x.

Abstract

BACKGROUND

Blood parasites of the genus Karyolysus Labbé, 1894 (Apicomplexa: Adeleida: Karyolysidae) represent the protozoan haemogregarines found in various genera of lizards, including Lacerta, Podarcis, Darevskia (Lacertidae) and Mabouia (Scincidae). The vectors of parasites are gamasid mites from the genus Ophionyssus.

METHODS

A total of 557 individuals of lacertid lizards were captured in four different localities in Europe (Hungary, Poland, Romania and Slovakia) and blood was collected. Samples were examined using both microscopic and molecular methods, and phylogenetic relationships of all isolates of Karyolysus sp. were assessed for the first time. Karyolysus sp. 18S rRNA isolates were evaluated using Bayesian and Maximum Likelihood analyses.

RESULTS

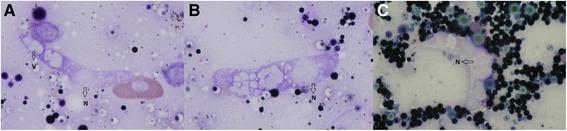
A total of 520 blood smears were examined microscopically and unicellular protozoan parasites were found in 116 samples (22.3% prevalence). The presence of two Karyolysus species, K. latus and K. lacazei was identified. In total, of 210 samples tested by polymerase chain reaction (PCR), the presence of parasites was observed in 64 individuals (prevalence 30.5%). Results of phylogenetic analyses revealed the existence of four haplotypes, all part of the same lineage, with other parasites identified as belonging to the genus Hepatozoon.

CONCLUSIONS

Classification of these parasites using current taxonomy is complex - they were identified in both mites and ticks that typically are considered to host Karyolysus and Hepatozoon respectively. Furthermore although distortions to the intermediate host erythrocyte nuclei were observed, the defining characteristic of Karyolysus, the haplotypes were nearly identical to those reported from lizards in the Iberian Peninsula, where such distortions were not reported and which were thus identified as Hepatozoon. Based on the phylogenetic analyses, neither vertebrate host, nor geographical patterns of the studied blood parasites could be established.

摘要

背景

1894年拉贝命名的核虫属(Karyolysus Labbé)血液寄生虫(顶复门:阿德勒亚纲:核虫科)是在包括蜥蜴属(Lacerta)、意大利壁蜥属(Podarcis)、岩蜥属(Darevskia,蜥蜴科)和马布亚属(Mabouia,石龙子科)等各种蜥蜴属中发现的原生动物血簇虫。寄生虫的传播媒介是血革螨属(Ophionyssus)的革螨。

方法

在欧洲四个不同地点(匈牙利、波兰、罗马尼亚和斯洛伐克)捕获了总共557只蜥蜴科蜥蜴,并采集了血液。使用显微镜和分子方法对样本进行检查,并首次评估了所有核虫属分离株的系统发育关系。使用贝叶斯分析和最大似然分析对核虫属18S rRNA分离株进行评估。

结果

共对520份血涂片进行了显微镜检查,在116份样本中发现了单细胞原生动物寄生虫(患病率为22.3%)。鉴定出两种核虫属物种,即宽核虫(K. latus)和拉卡泽核虫(K. lacazei)。总共,在通过聚合酶链反应(PCR)检测的210份样本中,在64只个体中观察到寄生虫的存在(患病率为30.5%)。系统发育分析结果显示存在四种单倍型,它们都是同一谱系的一部分,其他寄生虫被鉴定为属于肝簇虫属(Hepatozoon)。

结论

使用当前分类法对这些寄生虫进行分类很复杂——它们在通常分别被认为是核虫属和肝簇虫属宿主的革螨和蜱中都被鉴定出来。此外,尽管观察到中间宿主红细胞核有变形,这是核虫属的决定性特征,但这些单倍型与伊比利亚半岛蜥蜴中报道的单倍型几乎相同,在伊比利亚半岛未报道有这种变形,因此被鉴定为肝簇虫属。基于系统发育分析,无法确定所研究血液寄生虫的脊椎动物宿主或地理分布模式。

https://cdn.ncbi.nlm.nih.gov/pmc/blobs/237f/4298996/8f3dc910f14d/13071_2014_555_Fig1_HTML.jpg

文献检索

告别复杂PubMed语法,用中文像聊天一样搜索,搜遍4000万医学文献。AI智能推荐,让科研检索更轻松。

立即免费搜索

文件翻译

保留排版,准确专业,支持PDF/Word/PPT等文件格式,支持 12+语言互译。

免费翻译文档

深度研究

AI帮你快速写综述,25分钟生成高质量综述,智能提取关键信息,辅助科研写作。

立即免费体验