Suppr超能文献

促甲状腺激素(TSH)信号通过调节双特异性磷酸酶6(DUSP6)克服甲状腺乳头状癌发生过程中B-RafV600E诱导的衰老。

TSH signaling overcomes B-RafV600E-induced senescence in papillary thyroid carcinogenesis through regulation of DUSP6.

作者信息

Kim Young Hwa, Choi Yong Won, Han Jae Ho, Lee Jeonghun, Soh Euy Young, Park So Hyun, Kim Jang-Hee, Park Tae Jun

机构信息

Department of Biochemistry and Molecular Biology, Ajou University School of Medicine, Suwon, South Korea; Department of Biomedical Sciences, Graduate School, Ajou University, Suwon, South Korea.

Department of Pathology, Ajou University School of Medicine, Suwon, South Korea.

出版信息

Neoplasia. 2014 Dec;16(12):1107-20. doi: 10.1016/j.neo.2014.10.005.

Abstract

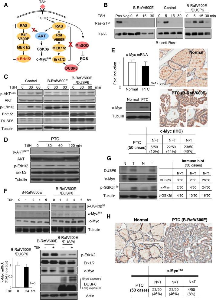
B-RafV600E oncogene mutation occurs most commonly in papillary thyroid carcinoma (PTC) and is associated with tumor initiation. However, a genetic modification by B-RafV600E in thyrocytes results in oncogene-induced senescence (OIS). In the present study, we explored the factors involved in the senescence overcome program in PTC. First of all, we observed down-regulation of p-extracellular signal-regulated kinases 1/2 and up-regulation of dual specific phosphatase 6 (DUSP6) in the PTC with B-RafV600E mutation. DUSP6 overexpression in vitro induced extracellular signal-regulated kinases 1/2 dephosphorylation and inhibited B-RafV600E-induced senescence in thyrocytes. Although DUSP6 protein was degraded by B-RafV600E-induced reactive oxygen species (ROS), thyroid-stimulating hormone (TSH) stabilized DUSP6 protein by increasing Mn superoxide dismutase expression and inhibited B-RafV600E-induced senescence. Although serum TSH was not increased, its receptor was markedly upregulated in PTC with B-RafV600E. Furthermore, TSH together with DUSP6 reactivated Ras signaling, resulted in activation of Ras/AKT/glycogen synthase kinase 3β, and stabilized c-Myc protein by inhibiting its degradation. These observations led us to conclude that increased TSH signaling overcomes OIS and is essential for B-RafV600E-induced papillary thyroid carcinogenesis.

摘要

B-RafV600E癌基因突变最常见于甲状腺乳头状癌(PTC),并与肿瘤起始相关。然而,甲状腺细胞中B-RafV600E的基因修饰会导致癌基因诱导的衰老(OIS)。在本研究中,我们探讨了PTC中衰老克服程序所涉及的因素。首先,我们观察到在具有B-RafV600E突变的PTC中,磷酸化细胞外信号调节激酶1/2水平下调,双特异性磷酸酶6(DUSP6)水平上调。体外DUSP6过表达诱导细胞外信号调节激酶1/2去磷酸化,并抑制甲状腺细胞中B-RafV600E诱导的衰老。虽然DUSP6蛋白被B-RafV600E诱导的活性氧(ROS)降解,但促甲状腺激素(TSH)通过增加锰超氧化物歧化酶的表达来稳定DUSP6蛋白,并抑制B-RafV600E诱导的衰老。虽然血清TSH没有增加,但其受体在具有B-RafV600E的PTC中明显上调。此外,TSH与DUSP6一起重新激活Ras信号,导致Ras/AKT/糖原合酶激酶3β激活,并通过抑制c-Myc蛋白降解来稳定其水平。这些观察结果使我们得出结论,TSH信号增加克服了OIS,并且对于B-RafV600E诱导的甲状腺乳头状癌发生至关重要。

https://cdn.ncbi.nlm.nih.gov/pmc/blobs/64cc/4309262/059f56b0a922/gr1.jpg

文献检索

告别复杂PubMed语法,用中文像聊天一样搜索,搜遍4000万医学文献。AI智能推荐,让科研检索更轻松。

立即免费搜索

文件翻译

保留排版,准确专业,支持PDF/Word/PPT等文件格式,支持 12+语言互译。

免费翻译文档

深度研究

AI帮你快速写综述,25分钟生成高质量综述,智能提取关键信息,辅助科研写作。

立即免费体验