Suppr超能文献

四环素类似物(强力霉素、米诺环素和COL-3)对急性髓性白血病HL-60细胞的细胞毒性作用。

Cytotoxic effects of tetracycline analogues (doxycycline, minocycline and COL-3) in acute myeloid leukemia HL-60 cells.

作者信息

Song Hairong, Fares Mona, Maguire Kim R, Sidén Ake, Potácová Zuzana

机构信息

Experimental Cancer Medicine, Clinical Research Center Novum, Department of Laboratory Medicine, Karolinska University Hospital Huddinge, Karolinska Institute, Stockholm, Sweden.

Department of Neurology, Karolinska University Hospital, Stockholm Sweden.

出版信息

PLoS One. 2014 Dec 15;9(12):e114457. doi: 10.1371/journal.pone.0114457. eCollection 2014.

Abstract

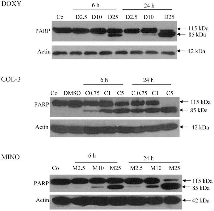
Tetracycline analogues (TCNAs) have been shown to inhibit matrix metalloproteinases and to induce apoptosis in several cancer cell types. In the present study, the cytotoxic effects of TCNAs doxycycline (DOXY), minocycline (MINO) and chemically modified tetracycline-3 (COL-3) were investigated in the human acute myeloid leukemia HL-60 cell line. Cells were incubated with TCNAs in final concentrations of 0.5-100 µg/ml for 24 h. Viability of the leukemic cells was inhibited in a concentration-dependent manner using resazurin assay. The estimated IC50s were 9.2 µg/ml for DOXY, 9.9 µg/ml for MINO and 1.3 µg/ml for COL-3. All three TCNAs induced potent cytotoxic effects and cell death. Apoptosis, which was assessed by morphological changes and annexin V positivity, was concentration- and time-dependent following incubation with any one of the drugs. TCNAs induced DNA double strand breaks soon after treatment commenced as detected by γH2AX and western blot. The loss of mitochondrial membrane potential (Δψm), caspase activation and cleavage of PARP and Bcl-2 were observed; however, the sequence of events differed among the drugs. Pancaspase inhibitor Z-VAD-FMK improved survival of TCNAs-treated cells and decreased TCNAs-induced apoptosis. In summary, we demonstrated that TCNAs had a cytotoxic effect on the HL-60 leukemic cell line. Apoptosis was induced via mitochondria-mediated and caspase-dependent pathways in HL-60 cells by all three TCNAs. COL-3 exerted the strongest anti-proliferative and pro-apoptotic effects in concentrations that have been achieved in human plasma in reported clinical trials. These results indicate that there is a therapeutic potential of TCNAs in leukemia.

摘要

四环素类似物(TCNAs)已被证明可抑制基质金属蛋白酶,并在多种癌细胞类型中诱导细胞凋亡。在本研究中,研究了四环素类似物强力霉素(DOXY)、米诺环素(MINO)和化学修饰四环素-3(COL-3)对人急性髓系白血病HL-60细胞系的细胞毒性作用。将细胞与终浓度为0.5-100μg/ml的TCNAs孵育24小时。使用刃天青测定法,白血病细胞的活力以浓度依赖性方式受到抑制。DOXY的估计半数抑制浓度(IC50)为9.2μg/ml,MINO为9.9μg/ml,COL-3为1.3μg/ml。所有三种TCNAs均诱导了强大的细胞毒性作用和细胞死亡。通过形态学变化和膜联蛋白V阳性评估的细胞凋亡在与任何一种药物孵育后呈浓度和时间依赖性。如通过γH2AX和蛋白质印迹法检测到的,TCNAs在治疗开始后不久就诱导了DNA双链断裂。观察到线粒体膜电位(Δψm)丧失、半胱天冬酶激活以及聚(ADP-核糖)聚合酶(PARP)和Bcl-2的裂解;然而,不同药物之间事件的顺序有所不同。泛半胱天冬酶抑制剂Z-VAD-FMK提高了经TCNAs处理的细胞的存活率,并减少了TCNAs诱导的细胞凋亡。总之,我们证明了TCNAs对HL-60白血病细胞系具有细胞毒性作用。所有三种TCNAs均通过线粒体介导的和半胱天冬酶依赖性途径在HL-60细胞中诱导细胞凋亡。在已报道的临床试验中,COL-3在人血浆中达到的浓度下发挥了最强的抗增殖和促凋亡作用。这些结果表明TCNAs在白血病治疗中具有潜在的治疗价值。

https://cdn.ncbi.nlm.nih.gov/pmc/blobs/6055/4266609/0f07d9b3cf53/pone.0114457.g001.jpg

文献AI研究员

20分钟写一篇综述,助力文献阅读效率提升50倍。

立即体验

用中文搜PubMed

大模型驱动的PubMed中文搜索引擎

马上搜索

文档翻译

学术文献翻译模型,支持多种主流文档格式。

立即体验