Cagırmaz T, Yapici C, Orak M M, Guler O
Orthopedics and Traumatology Department, Nisa Hospital, Istanbul, Turkey.
Orthopedics and Traumatology Department, Balıklıgol Hospital, Sanlıurfa, Turkey.
Int J Surg Case Rep. 2015;6C:107-10. doi: 10.1016/j.ijscr.2014.12.003. Epub 2014 Dec 13.
Bilateral femoral neck fractures can occur due to high- or low-energy trauma, in the presence of various predisposing factors, such as osteoporosis, renal osteodystrophy, hypocalcemic seizures, primary or metastatic tumors, electroconvulsive therapy, epileptic seizures, and hormonal disorders.
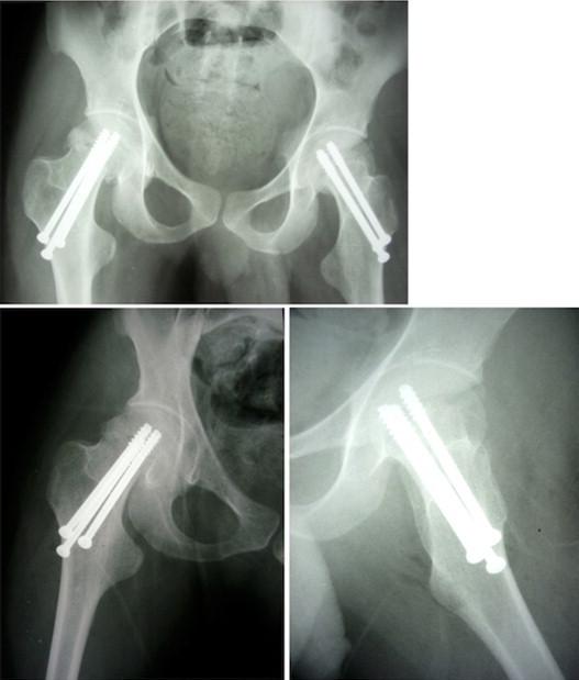
This report presents a case of bilateral femoral neck fractures that occurred during an epileptic attack in a 24-year-old male with mental retardation. His complaints had started after a grand mal epileptic attack 10 days earlier. Bilateral displaced femoral neck fractures (Garden type 4) were seen in lateral radiographs of both hips. The patient was operated on urgently, with closed reduction, three stainless steel cannulated screws, and internal fixation applied to both hips. At postoperative week 12, solid joining was achieved and active walking with complete loading was started.
Bilateral femoral neck fractures can occur following a grand mal epilepsy attack in young patients. The use of antiepileptic drugs can also lead to the development of pathological fractures by reducing bone mineral density.
Femoral neck fractures should be suspected in patients with epilepsy who present with severe pain in both hips and an inability to walk. Stainless steel implants can be used for treatment. The viability of the femoral head should be evaluated by scintigraphy. Bone mineral density should be monitored in patients who use anti-epileptic drugs, and internal fixation is preferred in the treatment of femoral neck fractures.
双侧股骨颈骨折可因高能量或低能量创伤而发生,存在多种诱发因素,如骨质疏松症、肾性骨营养不良、低钙血症性惊厥、原发性或转移性肿瘤、电休克治疗、癫痫发作及激素紊乱等。
本报告呈现了一例24岁智力发育迟缓男性在癫痫发作时发生双侧股骨颈骨折的病例。他的症状在10天前一次大发作癫痫后开始出现。双髋部侧位X线片显示双侧股骨颈骨折移位(Garden 4型)。患者接受了紧急手术,进行了闭合复位,在双髋部应用了3枚不锈钢空心螺钉并进行内固定。术后第12周,实现了牢固愈合,并开始完全负重的主动行走。
双侧股骨颈骨折可发生于年轻患者的大发作癫痫之后。使用抗癫痫药物也可通过降低骨矿物质密度导致病理性骨折。
对于出现双髋部剧痛且无法行走的癫痫患者,应怀疑股骨颈骨折。可使用不锈钢植入物进行治疗。应通过骨闪烁显像评估股骨头的活力。对于使用抗癫痫药物的患者,应监测骨矿物质密度,治疗股骨颈骨折时首选内固定。