Suppr超能文献

囊性胸腺瘤患者的相关成像:CT、MR与PET/CT对比

Correlative Imaging in a Patient with Cystic Thymoma: CT, MR and PET/CT Comparison.

作者信息

Romeo Valeria, Esposito Alfredo, Maurea Simone, Camera Luigi, Mainenti Pier Paolo, Palmieri Giovannella, Buonerba Carlo, Salvatore Marco

机构信息

Department of Diagnostic Imaging, University Federico II, Fondazione SDN (IRCCS), Naples, Italy.

Institute of Biostructures and Bioimaging (IBB-CNR), University Federico II, Fondazione SDN (IRCCS), Naples, Italy.

出版信息

Pol J Radiol. 2015 Jan 13;80:22-6. doi: 10.12659/PJR.892105. eCollection 2015.

Abstract

BACKGROUND

Cystic thymoma is a rare variant of thymic neoplasm characterized by almost complete cystic degeneration with mixed internal structure. We describe a case of a 60 year-old woman with a cystic thymoma studied with advanced tomographic imaging stydies. CT, MRI and PET/CT with (18)F-FDG were performed; volumetric CT and MRI images provided better anatomic evaluation for pre-operative assessment, while PET/CT was helpful for lesion characterization based on (18)F-FDG uptake. Although imaging studies are mandatory for pre-operative evaluation of cystic thymoma, final diagnosis still remains surgical.

CASE REPORT

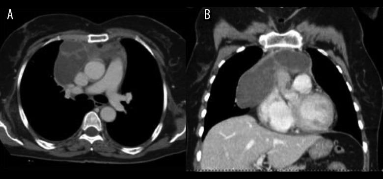
A 60-year-old woman with recent chest pain and no history of previous disease was admitted to our departement to investigate the result of a previous chest X-ray that showed bilateral mediastinal enlargement; for this purpose, enhanced chest CT scan was performed using a 64-rows scanner (Toshiba, Aquilion 64, Japan) before and after intravenous bolus administration of iodinated non ionic contrast agent; CT images demonstrated the presence of a large mediastinal mass (11×8 cm) located in the anterior mediastinum who extended from the anonymous vein to the cardio-phrenic space, compressing the left atrium and causing medium lobe atelectasis; bilateral pleural effusion was also present.

CONCLUSIONS

In conclusion, correlative imaging plays a foundamental role for the diagnostic evaluation of patient with cystic thymoma. In particular, volumetric CT and MRI studies can provide better anatomic informations regarding internal structure and local tumor spread for pre-operative assessment. Conversely, metabolic imaging using (18)F-FDG PET/CT is helpful for lesion characterization differentiating benign from malignant lesion on the basis of intense tracer uptake. The role of PET/MRI is still under investigation. However, final diagnosis still remains surgical even though imaging studies are mandatory for pre-operative patient management.

摘要

背景

囊性胸腺瘤是胸腺肿瘤的一种罕见变异类型,其特征为几乎完全囊性退变伴内部结构混合。我们描述了一例60岁患有囊性胸腺瘤的女性患者,对其进行了先进的断层成像研究。进行了CT、MRI以及 (18)F-FDG PET/CT检查;容积CT和MRI图像为术前评估提供了更好的解剖学评价,而PET/CT有助于基于 (18)F-FDG摄取对病变进行特征性描述。尽管影像学检查对于囊性胸腺瘤的术前评估是必不可少的,但最终诊断仍需依靠手术。

病例报告

一名60岁女性,近期出现胸痛,既往无疾病史,因之前胸部X线显示双侧纵隔增宽而入住我院进行进一步检查;为此,在静脉推注碘化非离子型造影剂前后,使用64排螺旋CT扫描仪(日本东芝Aquilion 64)进行了增强胸部CT扫描;CT图像显示前纵隔有一个巨大纵隔肿块(11×8 cm),从无名静脉延伸至心膈角区,压迫左心房并导致中叶肺不张;同时还存在双侧胸腔积液。

结论

总之,相关影像学检查在囊性胸腺瘤患者的诊断评估中起着重要作用。特别是,容积CT和MRI研究可为术前评估提供有关内部结构和局部肿瘤扩散的更好解剖学信息。相反,使用 (18)F-FDG PET/CT的代谢成像有助于根据示踪剂摄取情况区分良性与恶性病变,对病变进行特征性描述。PET/MRI的作用仍在研究中。然而,尽管影像学检查对于术前患者管理是必不可少的,但最终诊断仍需依靠手术。

https://cdn.ncbi.nlm.nih.gov/pmc/blobs/3567/4294593/9b62869187ef/poljradiol-80-22-g001.jpg

文献AI研究员

20分钟写一篇综述,助力文献阅读效率提升50倍。

立即体验

用中文搜PubMed

大模型驱动的PubMed中文搜索引擎

马上搜索

文档翻译

学术文献翻译模型,支持多种主流文档格式。

立即体验