Suppr超能文献

¹⁸F 氟脱氧葡萄糖正电子发射断层扫描在胸腺瘤中的作用。

The role of [¹⁸F]fluorodeoxyglucose positron emission tomography in thymic epithelial tumors.

机构信息

Division of Thoracic Oncology, Shizuoka Cancer Center, 1007 Shimonagakubo Nagaizumi-cho, Sunto-gun, Shizuoka, 411-8777, Japan.

出版信息

Cancer Imaging. 2011 Nov 30;11(1):195-201. doi: 10.1102/1470-7330.2011.0028.

Abstract

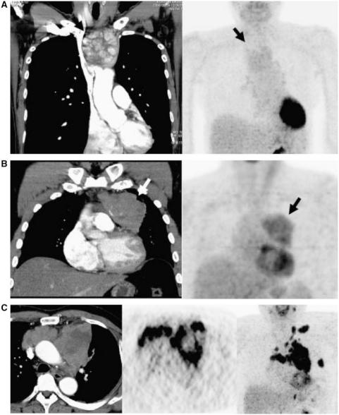
The purpose of this study was to systemically review the available literature regarding the diagnostic performance of positron emission tomography (PET) using 2-[18F]fluoro-2-deoxy-D-glucose ([18F]FDG) in patients with thymic epithelial tumors. We reviewed 13 studies that evaluated the diagnostic role of thymic epithelial tumors with [18F]FDG-PET. [18F]FDG-PET is a useful radiological modality for differentiating between thymomas and thymic carcinoma. However, [18F]FDG-PET may not be useful for differentiating low-risk thymoma and high-risk thymoma. One paper reported that [18F]FDG-PET has a predictive significance for treatment and prognosis in thymic epithelial tumors. Two papers reported that the degree of [18F]FDG uptake in thymic epithelial tumors is based on glucose metabolism. [18F]FDG-PET may have a further use for radiological differential diagnosis of thymomas and thymic carcinomas.

摘要

本研究旨在系统回顾关于正电子发射断层扫描(PET)使用 2-[18F]氟-2-脱氧-D-葡萄糖([18F]FDG)在胸腺瘤患者中的诊断性能的现有文献。我们回顾了 13 项评估 [18F]FDG-PET 在胸腺瘤诊断作用的研究。[18F]FDG-PET 是一种区分胸腺瘤和胸腺癌的有用影像学方法。然而,[18F]FDG-PET 可能对区分低危胸腺瘤和高危胸腺瘤没有帮助。有一篇论文报道 [18F]FDG-PET 对胸腺瘤的治疗和预后具有预测意义。有两篇论文报道胸腺瘤中 [18F]FDG 的摄取程度基于葡萄糖代谢。[18F]FDG-PET 可能在胸腺瘤和胸腺癌的影像学鉴别诊断中有进一步的应用。

https://cdn.ncbi.nlm.nih.gov/pmc/blobs/268f/3266585/be4572ef9968/ci11002801.jpg

文献AI研究员

20分钟写一篇综述,助力文献阅读效率提升50倍。

立即体验

用中文搜PubMed

大模型驱动的PubMed中文搜索引擎

马上搜索

文档翻译

学术文献翻译模型,支持多种主流文档格式。

立即体验