Suppr超能文献

在无TP53突变的癌细胞中,MDM4表达作为通过联合靶向MDM2和MDM4实现TP53重新激活的指标。

MDM4 expression as an indicator of TP53 reactivation by combined targeting of MDM2 and MDM4 in cancer cells without TP53 mutation.

作者信息

Hirose Mitsuaki, Yamato Kenji, Endo Shinji, Saito Rie, Ueno Takunori, Hirai Sachiko, Suzuki Hideo, Abei Masato, Natori Yukikazu, Hyodo Ichinosuke

机构信息

Department of Gastroenterology and Hepatology, Institute of Clinical Medicine, Graduate School of Comprehensive Human Sciences, University of Tsukuba, Tsukuba, Ibaraki, Japan.

RNAi Company Ltd., Hongo, Bunkyo-ku, Tokyo, Japan.

出版信息

Oncoscience. 2014 Nov 25;1(12):830-43. doi: 10.18632/oncoscience.103. eCollection 2014.

Abstract

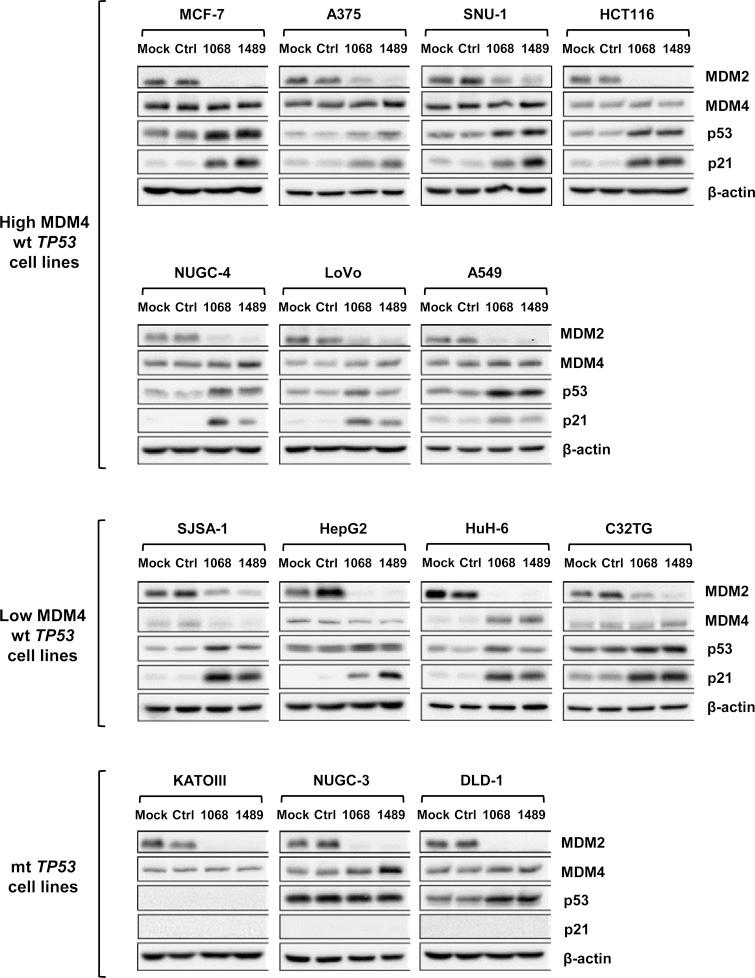
MDM2 and MDM4, a structurally related MDM2 homolog, negatively regulates expression and functions of TP53 tumor suppressor gene. To explore the precise expression patterns and function of MDM2 and MDM4 in wild-type (wt) TP53 cancer cells, we analyzed 11 various cancer cell lines with wt TP53. All cell lines exhibited deregulated expression of MDM2 and MDM4, and were divided into two distinct types; the one expressing high levels of MDM4 and another expressing low levels of MDM4. The low MDM4 type expressed higher MDM2 levels than the high MDM4 type. In cells with high MDM4 expression, knockdown of MDM4 or MDM2 reactivated TP53, and simultaneous knockdown of MDM2 and MDM4 synergistically reactivated TP53. In contrast, in cells with low MDM4 expression, knockdown of only MDM2 reactivated TP53. These results suggest that both MDM2 and MDM4 are closely involved in TP53 inactivation in cancer cells with high MDM4 expression, whereas only MDM2, and not MDM4, is a regulator of TP53 in cells with low MDM4 expression. MDM4 expression in wt TP53-tumors is a potential indicator for TP53 reactivation cancer therapy by simultaneous targeting of MDM4 and MDM2. Specific knockdown of MDM2 and MDM4 might be applicable for TP53 restoration therapy.

摘要

MDM2和结构相关的MDM2同源物MDM4对TP53肿瘤抑制基因的表达和功能起负调控作用。为了探究MDM2和MDM4在野生型(wt)TP53癌细胞中的精确表达模式和功能,我们分析了11种具有wt TP53的不同癌细胞系。所有细胞系均表现出MDM2和MDM4的表达失调,并分为两种不同类型;一种表达高水平的MDM4,另一种表达低水平的MDM4。低MDM4类型比高MDM4类型表达更高水平的MDM2。在MDM4高表达的细胞中,敲低MDM4或MDM2可重新激活TP53,同时敲低MDM2和MDM4可协同重新激活TP53。相反,在MDM4低表达的细胞中,仅敲低MDM2可重新激活TP53。这些结果表明,MDM2和MDM4在MDM4高表达的癌细胞中均密切参与TP53失活,而在MDM4低表达的细胞中,只有MDM2而非MDM4是TP53的调节因子。wt TP53肿瘤中的MDM4表达是通过同时靶向MDM4和MDM2进行TP53重新激活癌症治疗的潜在指标。特异性敲低MDM2和MDM4可能适用于TP53恢复治疗。

https://cdn.ncbi.nlm.nih.gov/pmc/blobs/6f06/4303891/132e3b7c3e49/oncoscience-01-0830-g001.jpg

文献AI研究员

20分钟写一篇综述,助力文献阅读效率提升50倍。

立即体验

用中文搜PubMed

大模型驱动的PubMed中文搜索引擎

马上搜索

文档翻译

学术文献翻译模型,支持多种主流文档格式。

立即体验