Suppr超能文献

过氧化物酶体增殖物激活受体α激动剂苯扎贝特在戊四氮诱导的点燃癫痫模型中的抗点燃作用

Anti-kindling Effect of Bezafibrate, a Peroxisome Proliferator-activated Receptors Alpha Agonist, in Pentylenetetrazole Induced Kindling Seizure Model.

作者信息

Saha Lekha, Bhandari Swati, Bhatia Alka, Banerjee Dibyajyoti, Chakrabarti Amitava

机构信息

Department of Pharmacology, Postgraduate Institute of Medical Education & Research, Sector 12, Chandigarh;

Department of Experimental Medicine and Biotechnology, Postgraduate Institute Of Medical Education & Research, Sector 12, Chandigarh, India.

出版信息

J Epilepsy Res. 2014 Dec 31;4(2):45-54. doi: 10.14581/jer.14011. eCollection 2014 Dec.

Abstract

BACKGROUND AND PURPOSE

Studies in the animals suggested that Peroxisome proliferators activated receptors (PPARs) may be involved in seizure control and selective agonists of PPAR α or PPAR γ raise seizure thresholds. The present study was contemplated with the aim of evaluating the anti kindling effects and the mechanism of bezafibrate, a Peroxisome proliferator-activated receptors α (PPAR-α) agonist in pentylenetetrazole (PTZ) induced kindling model of seizures in rats.

METHODS

In a PTZ kindled Wistar rat model, different doses of bezafibrate (100 mg/kg, 200 mg/kg and 300 mg/kg) were administered intraperitoneally 30 minutes before the PTZ injection. The PTZ injection was given on alternate day till the animal became fully kindled or till 10 weeks. The parameters measured were the latency to develop kindling and incidence of kindling, histopathological study of hippocampus, hippocampal lipid peroxidation studies, serum neuron specific enolase, and hippocampal DNA fragmentation study.

RESULTS

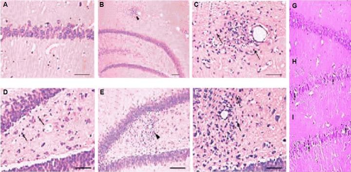
In this study, bezafibrate significantly reduced the incidence of kindling in PTZ treated rats and exhibited a marked prolongation in the latencies to seizures. In the present study bezafibrate decreased the thiobarbituric acid-reactive substance i.e. Malondialdehyde levels, increased the reduced glutathione levels, catalase and superoxide dismutase activity in the brain. This added to its additional neuroprotective effects. Bezafibrate also reduced the neuronal damage and apoptosis in hippocampal area of the brain. Therefore bezafibrate exerted anticonvulsant properties in PTZ induced kindling model in rats.

CONCLUSIONS

These findings may provide insights into the understanding of the mechanism of bezafibrate as an anti kindling agent and could offer a useful support to the basic antiepileptic therapy in preventing the development of PTZ induced seizures, suggesting its potential for therapeutic applications in temporal lobe epilepsy.

摘要

背景与目的

动物研究表明,过氧化物酶体增殖物激活受体(PPARs)可能参与癫痫控制,PPARα或PPARγ的选择性激动剂可提高癫痫阈值。本研究旨在评估苯扎贝特(一种过氧化物酶体增殖物激活受体α(PPAR-α)激动剂)在戊四氮(PTZ)诱导的大鼠癫痫点燃模型中的抗点燃作用及其机制。

方法

在PTZ点燃的Wistar大鼠模型中,在注射PTZ前30分钟腹腔注射不同剂量的苯扎贝特(100mg/kg、200mg/kg和300mg/kg)。每隔一天注射PTZ,直到动物完全点燃或直至10周。测量的参数包括点燃的潜伏期和点燃发生率、海马组织病理学研究、海马脂质过氧化研究、血清神经元特异性烯醇化酶以及海马DNA片段化研究。

结果

在本研究中,苯扎贝特显著降低了PTZ处理大鼠的点燃发生率,并显著延长了癫痫发作的潜伏期。在本研究中,苯扎贝特降低了硫代巴比妥酸反应性物质即丙二醛水平,增加了脑中还原型谷胱甘肽水平、过氧化氢酶和超氧化物歧化酶活性。这增加了其额外的神经保护作用。苯扎贝特还减少了脑中海马区的神经元损伤和细胞凋亡。因此,苯扎贝特在PTZ诱导的大鼠点燃模型中发挥了抗惊厥特性。

结论

这些发现可能有助于深入了解苯扎贝特作为抗点燃剂的机制,并可为预防PTZ诱导的癫痫发作的基础抗癫痫治疗提供有用的支持,表明其在颞叶癫痫治疗中的潜在应用价值。

https://cdn.ncbi.nlm.nih.gov/pmc/blobs/a86d/4295053/97adb8fe6015/er-4-2-45f1.jpg

相似文献

2
Understanding the anti-kindling role and its mechanism of Resveratrol in Pentylenetetrazole induced-kindling in a rat model.
Pharmacol Biochem Behav. 2014 May;120:57-64. doi: 10.1016/j.pbb.2014.01.010. Epub 2014 Jan 30.
9
Modulation of P2X Purinoceptor 3 (P2X3) in Pentylenetetrazole-Induced Kindling Epilepsy in Rats.
Med Sci Monit. 2018 Sep 5;24:6165-6177. doi: 10.12659/MSM.910352.

引用本文的文献

1
PPARα suppresses low-intensity-noise-induced body weight gain in mice: the activated HPA axis plays an critical role.
Int J Obes (Lond). 2024 Sep;48(9):1274-1282. doi: 10.1038/s41366-024-01550-2. Epub 2024 Jun 20.
2
3
Downregulatory effect of miR-342-3p on epileptogenesis in the PTZ-kindling model.
Mol Biol Rep. 2022 Dec;49(12):11997-12006. doi: 10.1007/s11033-022-08017-5. Epub 2022 Oct 22.
4
Repurposing Peroxisome Proliferator-Activated Receptor Agonists in Neurological and Psychiatric Disorders.
Pharmaceuticals (Basel). 2021 Oct 8;14(10):1025. doi: 10.3390/ph14101025.
5
Emerging perspectives on mitochondrial dysfunctioning and inflammation in epileptogenesis.
Inflamm Res. 2021 Dec;70(10-12):1027-1042. doi: 10.1007/s00011-021-01511-9. Epub 2021 Oct 15.
7
Houtt Extract Attenuates Neuronal Loss and Glial Activation in Pentylenetetrazol-Induced Kindling Model.
Iran J Pharm Res. 2019 Spring;18(2):812-825. doi: 10.22037/ijpr.2019.1100670.
8
Effects of GLP-1 Receptor Activation on a Pentylenetetrazole-Kindling Rat Model.
Brain Sci. 2019 May 14;9(5):108. doi: 10.3390/brainsci9050108.
9
Modulation of P2X Purinoceptor 3 (P2X3) in Pentylenetetrazole-Induced Kindling Epilepsy in Rats.
Med Sci Monit. 2018 Sep 5;24:6165-6177. doi: 10.12659/MSM.910352.

本文引用的文献

1
PPAR-alpha agonists as novel antiepileptic drugs: preclinical findings.
PLoS One. 2013 May 27;8(5):e64541. doi: 10.1371/journal.pone.0064541. Print 2013.
2
Antiepileptic action of N-palmitoylethanolamine through CB1 and PPAR-α receptor activation in a genetic model of absence epilepsy.
Neuropharmacology. 2013 Jun;69:115-26. doi: 10.1016/j.neuropharm.2012.11.017. Epub 2012 Dec 1.
3
Bezafibrate administration improves behavioral deficits and tau pathology in P301S mice.
Hum Mol Genet. 2012 Dec 1;21(23):5091-105. doi: 10.1093/hmg/dds355. Epub 2012 Aug 24.
4
Novel use of a lipid-lowering fibrate medication to prevent nicotine reward and relapse: preclinical findings.
Neuropsychopharmacology. 2012 Jul;37(8):1838-47. doi: 10.1038/npp.2012.31. Epub 2012 Mar 28.
5
Fatty acid oxidation and epilepsy.
Epilepsy Res. 2012 Jul;100(3):224-8. doi: 10.1016/j.eplepsyres.2011.05.022. Epub 2011 Aug 19.
6
7
Peroxisome proliferator-activated receptors-alpha modulate dopamine cell activity through nicotinic receptors.
Biol Psychiatry. 2010 Aug 1;68(3):256-64. doi: 10.1016/j.biopsych.2010.04.016. Epub 2010 Jun 8.
8
From surface to nuclear receptors: the endocannabinoid family extends its assets.
Curr Med Chem. 2010;17(14):1450-67. doi: 10.2174/092986710790980014.
10
Fenofibrate, a peroxisome proliferator-activated receptor-alpha agonist, exerts anticonvulsive properties.
Epilepsia. 2009 Apr;50(4):943-8. doi: 10.1111/j.1528-1167.2008.01901.x. Epub 2008 Nov 24.

文献AI研究员

20分钟写一篇综述,助力文献阅读效率提升50倍。

立即体验

用中文搜PubMed

大模型驱动的PubMed中文搜索引擎

马上搜索

文档翻译

学术文献翻译模型,支持多种主流文档格式。

立即体验