Suppr超能文献

1例伴有脱硫脱硫弧菌血症的肝脓肿病例

A Case of Liver Abscess with Desulfovibrio desulfuricans Bacteremia.

作者信息

Koyano Saho, Tatsuno Keita, Okazaki Mitsuhiro, Ohkusu Kiyofumi, Sasaki Takashi, Saito Ryoichi, Okugawa Shu, Moriya Kyoji

机构信息

Department of Infection Control and Prevention, The University of Tokyo Hospital, 7-3-1 Hongo, Bunkyo, Tokyo 113-8655, Japan.

Department of Microbiology, Gifu University Graduate School of Medicine, 1-1 Yanagido, Gifu, Gifu 501-1194, Japan.

出版信息

Case Rep Infect Dis. 2015;2015:354168. doi: 10.1155/2015/354168. Epub 2015 Jan 8.

Abstract

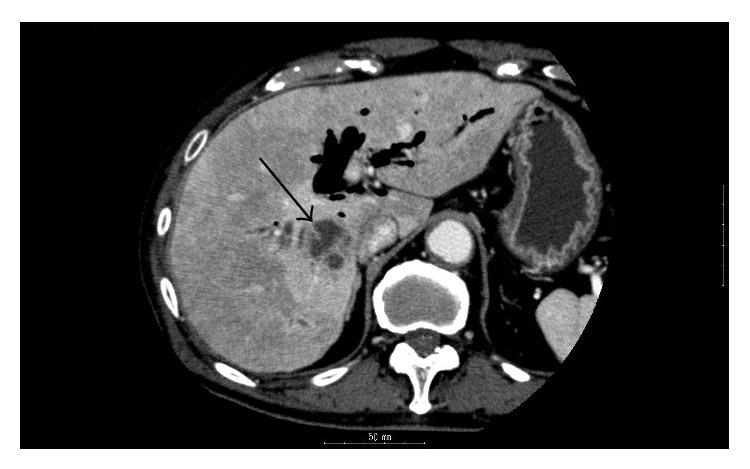
Desulfovibrio spp. are gram-negative, sulfate-reducing, and anaerobic bacteria found in the digestive tract of humans. Because Desulfovibrio spp. are infrequent causative agents of infectious diseases and are difficult to isolate and to identify from clinical specimens, the appropriate antibiotic therapy to infection with Desulfovibrio spp. has not been determined. We report the first case of liver abscess with bacteremia due to Desulfovibrio desulfuricans to show the clinical presentation and treatment. The patient was successfully treated with intravenous piperacillin-tazobactam and oral amoxicillin-clavulanic acid.

摘要

脱硫弧菌属是革兰氏阴性、硫酸盐还原厌氧菌,存在于人类消化道中。由于脱硫弧菌属是传染病的罕见病原体,且难以从临床标本中分离和鉴定,因此尚未确定针对脱硫弧菌属感染的合适抗生素治疗方法。我们报告了首例由脱硫脱硫弧菌引起的肝脓肿伴菌血症病例,以展示其临床表现和治疗情况。该患者通过静脉注射哌拉西林-他唑巴坦和口服阿莫西林-克拉维酸成功治愈。

https://cdn.ncbi.nlm.nih.gov/pmc/blobs/9ff5/4302366/7b315b5421f7/CRIID2015-354168.001.jpg

相似文献

1
A Case of Liver Abscess with Desulfovibrio desulfuricans Bacteremia.
Case Rep Infect Dis. 2015;2015:354168. doi: 10.1155/2015/354168. Epub 2015 Jan 8.
2
Desulfovibrio desulfuricans bacteremia: A case report and literature review.
Anaerobe. 2018 Feb;49:112-115. doi: 10.1016/j.anaerobe.2017.12.013. Epub 2018 Jan 4.
3
Desulfovibrio desulfuricans bacteremia in an immunocompromised host with a liver graft and ulcerative colitis.
J Clin Microbiol. 2012 Jan;50(1):199-201. doi: 10.1128/JCM.00987-11. Epub 2011 Nov 9.
5
Desulfovibrio desulfuricans bacteremia in a patient hospitalized with acute cerebral infarction: case report and review.
J Infect Chemother. 2014 Apr;20(4):274-7. doi: 10.1016/j.jiac.2013.10.009. Epub 2013 Dec 11.
6
[Description of a case of abdominal sepsis due to Desulfovibrio desulfuricans].
Rev Argent Microbiol. 2022 Oct-Dec;54(4):314-317. doi: 10.1016/j.ram.2022.05.002. Epub 2022 Jun 7.
7
A case of liver abscess co-infected with Desulfovibrio desulfuricans and Escherichia coli and review of the literature.
J Infect Chemother. 2018 May;24(5):393-397. doi: 10.1016/j.jiac.2017.11.006. Epub 2017 Dec 18.
9
[Anaerobiospirillum succiniciproducens and Desulfovibrio desulfuricans in 2 cases of insidious bacteremia].
Rev Argent Microbiol. 2017 Apr-Jun;49(2):146-152. doi: 10.1016/j.ram.2016.12.008. Epub 2017 May 12.
10
Desulfovibrio desulfuricans bacteremia and review of human Desulfovibrio infections.
J Clin Microbiol. 2003 Jun;41(6):2752-4. doi: 10.1128/JCM.41.6.2752-2754.2003.

引用本文的文献

3
4
in the Gut: The Enemy within?
Microorganisms. 2023 Jul 7;11(7):1772. doi: 10.3390/microorganisms11071772.
5
First case of a renal cyst infection caused by Desulfovibrio: a case report and literature review.
BMC Nephrol. 2022 May 23;23(1):194. doi: 10.1186/s12882-022-02803-w.
6
Early prediction of incident liver disease using conventional risk factors and gut-microbiome-augmented gradient boosting.
Cell Metab. 2022 May 3;34(5):719-730.e4. doi: 10.1016/j.cmet.2022.03.002. Epub 2022 Mar 29.
7
First case of bacteraemia successfully identified using MALDI-TOF MS.
New Microbes New Infect. 2019 Oct 23;32:100614. doi: 10.1016/j.nmni.2019.100614. eCollection 2019 Nov.
8
Hydrogen Sulfide in Physiology and Diseases of the Digestive Tract.
Microorganisms. 2015 Nov 12;3(4):866-89. doi: 10.3390/microorganisms3040866.

本文引用的文献

1
Desulfovibrio desulfuricans bacteremia in a patient hospitalized with acute cerebral infarction: case report and review.
J Infect Chemother. 2014 Apr;20(4):274-7. doi: 10.1016/j.jiac.2013.10.009. Epub 2013 Dec 11.
3
Desulfovibrio desulfuricans bacteremia in an immunocompromised host with a liver graft and ulcerative colitis.
J Clin Microbiol. 2012 Jan;50(1):199-201. doi: 10.1128/JCM.00987-11. Epub 2011 Nov 9.
5
Susceptibilities of 23 Desulfovibrio isolates from humans.
Antimicrob Agents Chemother. 2009 Dec;53(12):5308-11. doi: 10.1128/AAC.00630-09. Epub 2009 Sep 28.
6
Bacteremia caused by Desulfovibrio fairfieldensis.
J Infect Chemother. 2008 Oct;14(5):368-70. doi: 10.1007/s10156-008-0629-9. Epub 2008 Oct 21.
7
Biochemical differentiation and comparison of Desulfovibrio species and other phenotypically similar genera.
J Clin Microbiol. 2005 Aug;43(8):4041-5. doi: 10.1128/JCM.43.8.4041-4045.2005.
8
Desulfovibrio desulfuricans bacteremia and review of human Desulfovibrio infections.
J Clin Microbiol. 2003 Jun;41(6):2752-4. doi: 10.1128/JCM.41.6.2752-2754.2003.
9
Isolation of sulfate-reducing bacteria from human thoracoabdominal pus.
J Clin Microbiol. 2003 Mar;41(3):1304-6. doi: 10.1128/JCM.41.3.1304-1306.2003.
10
Isolation of the provisionally named Desulfovibrio fairfieldensis from human periodontal pockets.
Oral Microbiol Immunol. 2002 Oct;17(5):321-3. doi: 10.1034/j.1399-302x.2002.170510.x.

文献AI研究员

20分钟写一篇综述,助力文献阅读效率提升50倍。

立即体验

用中文搜PubMed

大模型驱动的PubMed中文搜索引擎

马上搜索

文档翻译

学术文献翻译模型,支持多种主流文档格式。

立即体验