• 文献检索
  • 文档翻译
  • 深度研究
  • 学术资讯
  • Suppr Zotero 插件Zotero 插件
  • 邀请有礼
  • 套餐&价格
  • 历史记录
应用&插件
Suppr Zotero 插件Zotero 插件浏览器插件Mac 客户端Windows 客户端微信小程序
定价
高级版会员购买积分包购买API积分包
服务
文献检索文档翻译深度研究API 文档MCP 服务
关于我们
关于 Suppr公司介绍联系我们用户协议隐私条款
关注我们

Suppr 超能文献

核心技术专利:CN118964589B侵权必究
粤ICP备2023148730 号-1Suppr @ 2026

文献检索

告别复杂PubMed语法,用中文像聊天一样搜索,搜遍4000万医学文献。AI智能推荐,让科研检索更轻松。

立即免费搜索

文件翻译

保留排版,准确专业,支持PDF/Word/PPT等文件格式,支持 12+语言互译。

免费翻译文档

深度研究

AI帮你快速写综述,25分钟生成高质量综述,智能提取关键信息,辅助科研写作。

立即免费体验

侵袭性乳腺癌中内皮细胞促卵泡激素受体的表达及肿瘤周边的血管重塑

Endothelial follicle-stimulating hormone receptor expression in invasive breast cancer and vascular remodeling at tumor periphery.

作者信息

Planeix François, Siraj Mohammad-Ahsan, Bidard François-Clément, Robin Blaise, Pichon Christophe, Sastre-Garau Xavier, Antoine Martine, Ghinea Nicolae

机构信息

INSERM "Tumoral Angiogenesis" Laboratory, Curie Institute, Research Center, Translational Research Department, 26 rue d'Ulm, Paris, France.

Curie Hospital, Oncology Department, 26 rue d'Ulm, Paris, France.

出版信息

J Exp Clin Cancer Res. 2015 Feb 5;34(1):12. doi: 10.1186/s13046-015-0128-7.

DOI:10.1186/s13046-015-0128-7
PMID:25652007
原文链接:https://pmc.ncbi.nlm.nih.gov/articles/PMC4321709/
Abstract

BACKGROUND

Follicle-stimulating hormone receptor (FSHR) is expressed on the endothelial surface of blood vessels associated with solid tumor periphery, where angiogenesis is known to occur. The correlation between FSHR expression and formation of new peritumoral vessels has not been previously investigated.

METHODS

We used immunohistochemical techniques involving specific antibodies to detect FSHR and the endothelial markers (CD34, VEGFR2, and D2-40) in tissue samples from 83 patients with lymph node-negative, invasive breast cancer representing four main clinical treatment groups: HR+/HER2-, HR+/HER2+, HR-/HER2+ and triple-negative.

RESULTS

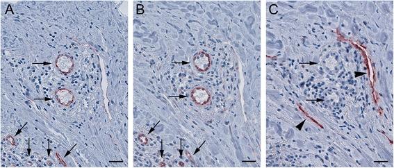
The FSHR+ vessels were exclusively located at breast cancer periphery, in a layer that extended 2 mm into and 5 mm outside of the tumor. The percentage of blood vessels expressing FSHR reached a maximum of 100% at the demarcation line between the tumor and the normal tissue. Common among FSHR+ vessels, regardless of breast cancer type, were the high densities of arterioles and venules (6.4 ± 1.4 and 13.9 ± 2.1 vessels/mm(2), respectively). These values were 3-fold higher that those noticed for CD34+ arterioles and venules associated with normal breast tissue located at a distance greater than 10 mm outside the tumors. The average density of FSHR+ and CD34+ blood vessels as well as of D2-40+ lymphatic vessels did not differ significantly among breast cancer subgroups. FSHR+ vessels did not express VEGFR2. The endothelial FSHR expression correlated significantly with the peritumoral CD34+ vessels' density (p < 0.001) and tumor size (p = 0.01).

CONCLUSION

Endothelial FSHR expression in breast cancer is associated with vascular remodeling at tumor periphery.

摘要

背景

促卵泡激素受体(FSHR)表达于实体瘤周边血管的内皮表面,已知此处会发生血管生成。此前尚未研究FSHR表达与肿瘤周围新血管形成之间的相关性。

方法

我们采用免疫组织化学技术,使用特异性抗体检测83例淋巴结阴性浸润性乳腺癌患者组织样本中的FSHR以及内皮标志物(CD34、VEGFR2和D2-40),这些患者代表四个主要临床治疗组:HR+/HER2-、HR+/HER2+、HR-/HER2+和三阴性。

结果

FSHR+血管仅位于乳腺癌周边,在肿瘤内部延伸2毫米和外部延伸5毫米的一层中。在肿瘤与正常组织的分界线上,表达FSHR的血管百分比最高可达100%。无论乳腺癌类型如何,FSHR+血管的共同特征是小动脉和小静脉密度高(分别为6.4±1.4和13.9±2.1条血管/mm²)。这些值比与肿瘤外距离大于10毫米处的正常乳腺组织相关的CD34+小动脉和小静脉的值高3倍。乳腺癌亚组之间FSHR+和CD34+血管以及D2-40+淋巴管的平均密度无显著差异。FSHR+血管不表达VEGFR2。内皮FSHR表达与肿瘤周围CD34+血管密度(p<0.001)和肿瘤大小(p=0.01)显著相关。

结论

乳腺癌中的内皮FSHR表达与肿瘤周边的血管重塑有关。

https://cdn.ncbi.nlm.nih.gov/pmc/blobs/7901/4321709/01bae903baef/13046_2015_128_Fig5_HTML.jpg
https://cdn.ncbi.nlm.nih.gov/pmc/blobs/7901/4321709/4e5e3c452a6e/13046_2015_128_Fig1_HTML.jpg
https://cdn.ncbi.nlm.nih.gov/pmc/blobs/7901/4321709/0c8592e6f35f/13046_2015_128_Fig2_HTML.jpg
https://cdn.ncbi.nlm.nih.gov/pmc/blobs/7901/4321709/90dd253c5184/13046_2015_128_Fig3_HTML.jpg
https://cdn.ncbi.nlm.nih.gov/pmc/blobs/7901/4321709/d81a9e3dd8b6/13046_2015_128_Fig4_HTML.jpg
https://cdn.ncbi.nlm.nih.gov/pmc/blobs/7901/4321709/01bae903baef/13046_2015_128_Fig5_HTML.jpg
https://cdn.ncbi.nlm.nih.gov/pmc/blobs/7901/4321709/4e5e3c452a6e/13046_2015_128_Fig1_HTML.jpg
https://cdn.ncbi.nlm.nih.gov/pmc/blobs/7901/4321709/0c8592e6f35f/13046_2015_128_Fig2_HTML.jpg
https://cdn.ncbi.nlm.nih.gov/pmc/blobs/7901/4321709/90dd253c5184/13046_2015_128_Fig3_HTML.jpg
https://cdn.ncbi.nlm.nih.gov/pmc/blobs/7901/4321709/d81a9e3dd8b6/13046_2015_128_Fig4_HTML.jpg
https://cdn.ncbi.nlm.nih.gov/pmc/blobs/7901/4321709/01bae903baef/13046_2015_128_Fig5_HTML.jpg

相似文献

1
Endothelial follicle-stimulating hormone receptor expression in invasive breast cancer and vascular remodeling at tumor periphery.侵袭性乳腺癌中内皮细胞促卵泡激素受体的表达及肿瘤周边的血管重塑
J Exp Clin Cancer Res. 2015 Feb 5;34(1):12. doi: 10.1186/s13046-015-0128-7.
2
Expression of follicle-stimulating hormone receptor by the vascular endothelium in tumor metastases.肿瘤转移中血管内皮细胞的卵泡刺激素受体表达。
BMC Cancer. 2013 May 20;13:246. doi: 10.1186/1471-2407-13-246.
3
Vascular Endothelial FSH Receptor, a Target of Interest for Cancer Therapy.血管内皮 FSH 受体:癌症治疗的新靶点。
Endocrinology. 2018 Sep 1;159(9):3268-3274. doi: 10.1210/en.2018-00466.
4
Follicle-Stimulating Hormone Receptor Expression in Endometriotic Lesions and the Associated Vasculature: An Immunohistochemical Study.子宫内膜异位症病灶及相关血管中促卵泡生成素受体的表达:一项免疫组织化学研究
Reprod Sci. 2016 Jul;23(7):885-91. doi: 10.1177/1933719115623647. Epub 2015 Dec 23.
5
The follicle-stimulating hormone receptor: a novel target in genitourinary malignancies.卵泡刺激素受体:泌尿生殖系统恶性肿瘤的一个新靶点。
Urol Oncol. 2013 Nov;31(8):1403-7. doi: 10.1016/j.urolonc.2012.03.005. Epub 2012 Apr 17.
6
Ectopic expression of FSH receptor isoforms in neoplastic but not in endothelial cells from pancreatic neuroendocrine tumors.在胰腺神经内分泌肿瘤的肿瘤细胞中而非内皮细胞中异位表达 FSH 受体同工型。
J Endocrinol Invest. 2013 Mar;36(3):174-9. doi: 10.3275/8472. Epub 2012 Jun 25.
7
PET of follicle-stimulating hormone receptor: broad applicability to cancer imaging.促卵泡激素受体的正电子发射断层扫描:在癌症成像中的广泛适用性
Mol Pharm. 2015 Feb 2;12(2):403-10. doi: 10.1021/mp500766x. Epub 2015 Jan 20.
8
Immunohistochemical detection of FSH receptors in pituitary adenomas and adrenal tumors.垂体腺瘤和肾上腺肿瘤中促卵泡激素受体的免疫组织化学检测
Folia Histochem Cytobiol. 2012 Oct 8;50(3):325-30. doi: 10.5603/17850.
9
Reduced expression of follicle stimulating hormone receptor mRNA and protein in pregnancies complicated by pre‑eclampsia.子痫前期合并妊娠中促卵泡激素受体mRNA和蛋白表达降低。
Mol Med Rep. 2017 Jul;16(1):367-372. doi: 10.3892/mmr.2017.6599. Epub 2017 May 18.
10
The FSHR Expression in Head and Neck Squamous Cell Cancer. A Pilot Immunohistochemical Study.头颈部鳞状细胞癌中的 FSHR 表达。一项初步免疫组织化学研究。
Anticancer Res. 2020 Jan;40(1):349-356. doi: 10.21873/anticanres.13959.

引用本文的文献

1
Targeted destruction of follicle stimulating hormone receptor-positive cancer cells in vitro and in vivo by a lytic peptide Phor21-FSHβ conjugate.一种裂解肽Phor21-FSHβ偶联物在体外和体内对促卵泡激素受体阳性癌细胞的靶向破坏作用
Mol Med. 2025 Jun 9;31(1):224. doi: 10.1186/s10020-025-01292-5.
2
Prediction of lymphovascular invasion in invasive breast cancer based on clinical-MRI radiomics features.基于临床 MRI 放射组学特征预测浸润性乳腺癌的淋巴管血管侵犯。
BMC Med Imaging. 2024 Oct 16;24(1):277. doi: 10.1186/s12880-024-01456-5.
3
Follicle-stimulating hormone receptor expression in advanced atherosclerotic plaques.

本文引用的文献

1
Subtyping of triple-negative breast cancer: implications for therapy.三阴性乳腺癌的亚型分类:对治疗的启示。
Cancer. 2015 Jan 1;121(1):8-16. doi: 10.1002/cncr.28914. Epub 2014 Jul 16.
2
Antiangiogenesis therapy for breast cancer: an update and perspectives from clinical trials.抗血管生成治疗乳腺癌:临床试验的更新和展望。
Jpn J Clin Oncol. 2014 Mar;44(3):197-207. doi: 10.1093/jjco/hyt201. Epub 2014 Jan 27.
3
Cancer statistics, 2014.癌症统计数据,2014 年。
促卵泡激素受体在晚期动脉粥样硬化斑块中的表达。
Sci Rep. 2024 May 3;14(1):10176. doi: 10.1038/s41598-024-60962-2.
4
Maximum intensity projection based on high frame rate contrast-enhanced ultrasound for the differentiation of breast tumors.基于高帧率对比增强超声的最大强度投影用于乳腺肿瘤的鉴别诊断。
Front Oncol. 2023 Oct 30;13:1274716. doi: 10.3389/fonc.2023.1274716. eCollection 2023.
5
Development of a nomogram based on serum cytokine-related riskscore in breast cancer.基于血清细胞因子相关风险评分的乳腺癌列线图的开发。
Front Oncol. 2023 Mar 7;13:1146463. doi: 10.3389/fonc.2023.1146463. eCollection 2023.
6
Intra- and Peritumoral Radiomics Model Based on Early DCE-MRI for Preoperative Prediction of Molecular Subtypes in Invasive Ductal Breast Carcinoma: A Multitask Machine Learning Study.基于早期动态对比增强磁共振成像的瘤内及瘤周放射组学模型用于浸润性导管癌分子亚型的术前预测:一项多任务机器学习研究
Front Oncol. 2022 Jun 24;12:905551. doi: 10.3389/fonc.2022.905551. eCollection 2022.
7
Pre-treatment circulating reproductive hormones levels predict pathological and survival outcomes in breast cancer submitted to neoadjuvant chemotherapy.新辅助化疗前循环生殖激素水平可预测乳腺癌的病理及生存结局。
Int J Clin Oncol. 2022 May;27(5):899-910. doi: 10.1007/s10147-022-02141-9. Epub 2022 Mar 3.
8
Prognostic Value of Follicle-Stimulating Hormone Levels in Predicting Survival in Men With Idiopathic Pulmonary Arterial Hypertension.卵泡刺激素水平对特发性肺动脉高压男性患者生存预测的价值。
Am J Mens Health. 2022 Jan-Feb;16(1):15579883211067084. doi: 10.1177/15579883211067084.
9
Actions and Roles of FSH in Germinative Cells.FSH 在生殖细胞中的作用和角色。
Int J Mol Sci. 2021 Sep 18;22(18):10110. doi: 10.3390/ijms221810110.
10
Fluorescent small-molecule agonists as follicle-stimulating hormone receptor imaging tools.荧光小分子激动剂作为促卵泡激素受体成像工具。
RSC Chem Biol. 2020 Aug 3;1(4):263-272. doi: 10.1039/d0cb00068j. eCollection 2020 Oct 1.
CA Cancer J Clin. 2014 Jan-Feb;64(1):9-29. doi: 10.3322/caac.21208. Epub 2014 Jan 7.
4
Shifting focus in optical image-guided cancer therapy.光学图像引导癌症治疗中的焦点转移。
Mol Imaging Biol. 2014 Feb;16(1):1-9. doi: 10.1007/s11307-013-0688-x.
5
Expression of follicle-stimulating hormone receptor by the vascular endothelium in tumor metastases.肿瘤转移中血管内皮细胞的卵泡刺激素受体表达。
BMC Cancer. 2013 May 20;13:246. doi: 10.1186/1471-2407-13-246.
6
Cancer incidence and mortality patterns in Europe: estimates for 40 countries in 2012.欧洲癌症发病率和死亡率模式:2012 年 40 个国家的估计数。
Eur J Cancer. 2013 Apr;49(6):1374-403. doi: 10.1016/j.ejca.2012.12.027. Epub 2013 Feb 26.
7
Degarelix as a new antiangiogenic agent for metastatic colon cancer?地加瑞克作为转移性结肠癌的一种新的抗血管生成药物?
World J Gastroenterol. 2013 Feb 7;19(5):769-72. doi: 10.3748/wjg.v19.i5.769.
8
Intratumor heterogeneity: evolution through space and time.肿瘤内异质性:时空演变。
Cancer Res. 2012 Oct 1;72(19):4875-82. doi: 10.1158/0008-5472.CAN-12-2217. Epub 2012 Sep 20.
9
Sequence analysis of mutations and translocations across breast cancer subtypes.乳腺癌亚型突变和易位的序列分析。
Nature. 2012 Jun 20;486(7403):405-9. doi: 10.1038/nature11154.
10
Heterogeneity of the tumor vasculature: the need for new tumor blood vessel type-specific targets.肿瘤血管异质性:需要针对新型肿瘤血管特异性靶点。
Clin Exp Metastasis. 2012 Oct;29(7):657-62. doi: 10.1007/s10585-012-9500-6. Epub 2012 Jun 13.