Suppr超能文献

Multiple mesenteric well-differentiated liposarcoma complicated by purulent inflammation: A case report.

作者信息

Gao Wei, Wang Huaizhou, Liu Jinyu, Wang Fujiang, Dong Jianjun, Geng Junzu

机构信息

Department of Radiology, Yantai Yuhuangding Hospital, Yantai, Shandong 264000, P.R. China.

Department of Surgery, Yantai Kouqiang Hospital, Yantai, Shandong 264000, P.R. China.

出版信息

Oncol Lett. 2015 Mar;9(3):1333-1336. doi: 10.3892/ol.2015.2847. Epub 2015 Jan 5.

Abstract

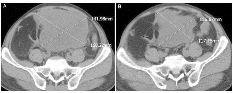
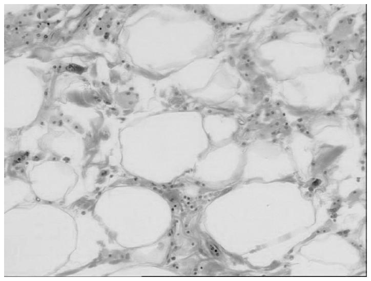
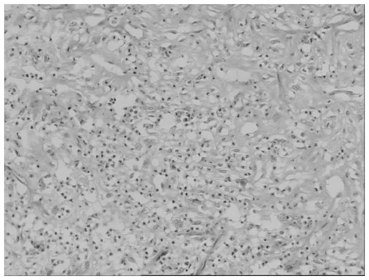
Multiple mesenteric well-differentiated (WD) liposarcoma is an extremely rare entity. The present study describes a case of multiple mesenteric WD liposarcoma, complicated by purulent inflammation, in a 59-year-old male who presented with abdominal pain and pyrexia of unknown origin. A computed tomography scan of the abdomen revealed a large, non-encapsulated mass in the abdomino-pelvic cavity, which was characterized by two components, a main portion of fatty density and a non-adipose solid portion. A re-evaluated CT scan, performed eight days later, revealed an enlargement of the non-adipose mass. A laparotomy was performed, and numerous separated fatty nodules and masses of various sizes were identified within the mesentery of the small intestine. The histological findings were consistent with an adipocytic subtype of multiple mesenteric WD liposarcoma, with the largest of the tumors complicated by purulent inflammation. The multiplicity of these tumors and the concurrent purulent inflammation in the present case make it unique.

摘要
https://cdn.ncbi.nlm.nih.gov/pmc/blobs/923e/4315053/d3408a5b28ba/OL-09-03-1333-g00.jpg

文献AI研究员

20分钟写一篇综述,助力文献阅读效率提升50倍。

立即体验

用中文搜PubMed

大模型驱动的PubMed中文搜索引擎

马上搜索

文档翻译

学术文献翻译模型,支持多种主流文档格式。

立即体验