Suppr超能文献

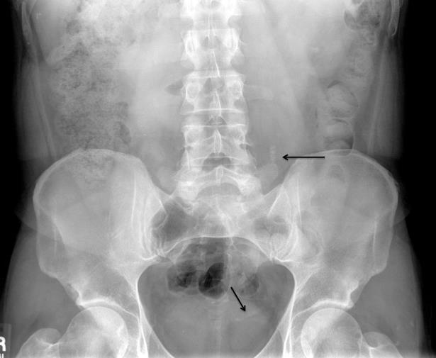
Persistent pain after lithotripsy.

作者信息

Jones Ellen, DeKay Kenneth

机构信息

Carl R. Darnall Army Medical Center, Department of Emergency Medicine, Fort Hood, Texas.

出版信息

West J Emerg Med. 2015 Jan;16(1):170-1. doi: 10.5811/westjem.2014.11.24467. Epub 2014 Dec 12.

Abstract
摘要
https://cdn.ncbi.nlm.nih.gov/pmc/blobs/c430/4307709/7dd9d465df9c/wjem-16-170-g001.jpg

文献AI研究员

20分钟写一篇综述,助力文献阅读效率提升50倍。

立即体验

用中文搜PubMed

大模型驱动的PubMed中文搜索引擎

马上搜索

文档翻译

学术文献翻译模型,支持多种主流文档格式。

立即体验