Suppr超能文献

具有经典组织病理学模式的Spitz痣——看似无害实则暗藏风险。

Spitz nevi in the classic histopathological pattern--lamb in wolf`s clothing.

作者信息

Verardino Gustavo Costa, Rochael Mayra Carrijo

机构信息

Universidade Federal Fluminense, Niterói, RJ, Brazil.

出版信息

An Bras Dermatol. 2015 Jan-Feb;90(1):91-5. doi: 10.1590/abd1806-4841.20153310.

Abstract

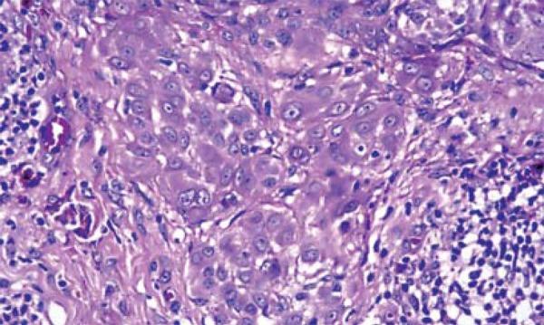
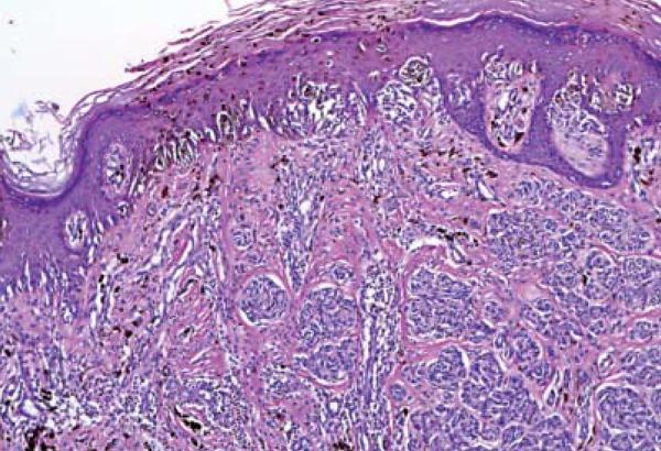
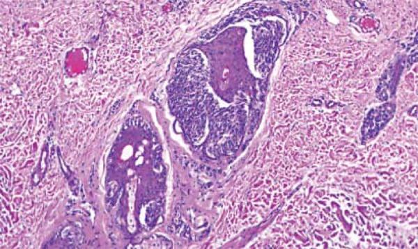
Spitz nevus is a benign melanocytic lesion and also one of the main differential diagnosis of melanoma. A descriptive and retrospective study of surgical specimens from patients with a diagnosis of Spitz nevus was conducted at two institutions in Niterói - RJ. 32 cases were analyzed. The most frequent histological subtype was compound (60 %), with a predominance of epithelioid cells (17 cases - 53%). Pagetoid spread was observed in 21 cases (68%). Maturation of melanocytes was present in 13 cases (81%). Kamino bodies were found in eight cases (25%). Atypical melanocytes were present in 18 cases (56%). Mitoses were present in 11 cases (34%). Detailed knowledge of the classical form of Spitz nevi is essential for the differential diagnosis with melanoma. However, no single criterium is definitive in the differential diagnosis between Spitz nevus and melanoma.

摘要

斯皮茨痣是一种良性黑素细胞病变,也是黑色素瘤的主要鉴别诊断之一。在里约热内卢州尼泰罗伊的两家机构对诊断为斯皮茨痣的患者的手术标本进行了描述性回顾性研究。分析了32例病例。最常见的组织学亚型是复合型(60%),以上皮样细胞为主(17例,占53%)。21例(68%)观察到派杰样扩散。13例(81%)存在黑素细胞成熟。8例(25%)发现卡米诺小体。18例(56%)存在非典型黑素细胞。11例(34%)有核分裂象。熟悉斯皮茨痣的经典形态对于与黑色素瘤的鉴别诊断至关重要。然而,在斯皮茨痣和黑色素瘤的鉴别诊断中,没有单一标准是决定性的。

https://cdn.ncbi.nlm.nih.gov/pmc/blobs/9d1a/4323702/07dbab53af90/abd-90-01-0091-g01.jpg

文献AI研究员

20分钟写一篇综述,助力文献阅读效率提升50倍。

立即体验

用中文搜PubMed

大模型驱动的PubMed中文搜索引擎

马上搜索

文档翻译

学术文献翻译模型,支持多种主流文档格式。

立即体验