Suppr超能文献

病理学相关方法在前列腺癌指数性病变检测及多参数磁共振成像定量分析中的作用

The role of pathology correlation approach in prostate cancer index lesion detection and quantitative analysis with multiparametric MRI.

作者信息

Fedorov Andriy, Penzkofer Tobias, Hirsch Michelle S, Flood Trevor A, Vangel Mark G, Masry Paul, Tempany Clare M, Mulkern Robert V, Fennessy Fiona M

机构信息

Department of Radiology, Brigham and Women's Hospital, 75 Francis Street, Boston, MA 02115.

Department of Radiology, Brigham and Women's Hospital, 75 Francis Street, Boston, MA 02115; Department of Radiology, RWTH Aachen University Hospital, Aachen, Germany.

出版信息

Acad Radiol. 2015 May;22(5):548-55. doi: 10.1016/j.acra.2014.12.022. Epub 2015 Feb 13.

Abstract

RATIONALE AND OBJECTIVES

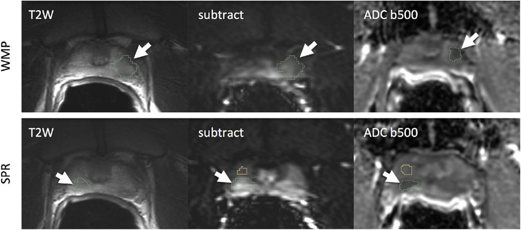
Development of imaging biomarkers often relies on their correlation with histopathology. Our aim was to compare two approaches for correlating pathology to multiparametric magnetic resonance (MR) imaging (mpMRI) for localization and quantitative assessment of prostate cancer (PCa) index tumor using whole mount (WM) pathology (WMP) as the reference.

MATERIALS AND METHODS

Patients (N = 30) underwent mpMRI that included diffusion-weighted imaging and dynamic contrast-enhanced (DCE) MRI at 3 T before radical prostatectomy (RP). RP specimens were processed using WM technique (WMP) and findings summarized in a standard surgical pathology report (SPR). Histology index tumor volumes (HTVs) were compared to MR tumor volumes (MRTVs) using two approaches for index lesion identification on mpMRI using annotated WMP slides as the reference (WMP) and using routine SPR as the reference. Consistency of index tumor localization, tumor volume, and mean values of the derived quantitative parameters (mean apparent diffusion coefficient [ADC], K(trans), and ve) were compared.

RESULTS

Index lesions from 16 of 30 patients met the selection criteria. There was WMP/SRP agreement in index tumor in 13 of 16 patients. ADC-based MRTVs were larger (P < .05) than DCE-based MRTVs. ADC MRTVs were smaller than HTV (P < .005). There was a strong correlation between HTV and MRTV (Pearson ρ > 0.8; P < .05). No significant differences were observed in the mean values of K(trans) and ADC between the WMP and SPR.

CONCLUSIONS

WMP correlation is superior to SPR for accurate localization of all index lesions. The use of WMP is however not required to distinguish significant differences of mean values of quantitative MRI parameters within tumor volume.

摘要

原理与目的

成像生物标志物的开发通常依赖于它们与组织病理学的相关性。我们的目的是比较两种将病理学与多参数磁共振(MR)成像(mpMRI)相关联的方法,以使用全层(WM)病理学(WMP)作为参考,对前列腺癌(PCa)指数肿瘤进行定位和定量评估。

材料与方法

30例患者在根治性前列腺切除术(RP)前接受了3T的mpMRI检查,包括扩散加权成像和动态对比增强(DCE)MRI。RP标本采用WM技术(WMP)处理,结果汇总在标准手术病理报告(SPR)中。使用两种方法在mpMRI上识别指数病变,将组织学指数肿瘤体积(HTV)与MR肿瘤体积(MRTV)进行比较,一种是以注释的WMP切片作为参考(WMP),另一种是以常规SPR作为参考。比较指数肿瘤定位、肿瘤体积以及导出的定量参数(平均表观扩散系数[ADC]、Ktrans和ve)平均值的一致性。

结果

30例患者中有16例的指数病变符合选择标准。16例患者中有13例的指数肿瘤存在WMP/SRP一致性。基于ADC的MRTV比基于DCE的MRTV大(P <.05)。ADC MRTV小于HTV(P <.005)。HTV与MRTV之间存在强相关性(Pearson ρ> 0.8;P <.05)。WMP和SPR之间在Ktrans和ADC的平均值上未观察到显著差异。

结论

WMP相关性在准确识别所有指数病变方面优于SPR。然而,在区分肿瘤体积内定量MRI参数平均值的显著差异时,并不需要使用WMP。

https://cdn.ncbi.nlm.nih.gov/pmc/blobs/2408/4429788/53984b2bf1e8/nihms664279f1.jpg

文献检索

告别复杂PubMed语法,用中文像聊天一样搜索,搜遍4000万医学文献。AI智能推荐,让科研检索更轻松。

立即免费搜索

文件翻译

保留排版,准确专业,支持PDF/Word/PPT等文件格式,支持 12+语言互译。

免费翻译文档

深度研究

AI帮你快速写综述,25分钟生成高质量综述,智能提取关键信息,辅助科研写作。

立即免费体验