Kim Se Hyung
Department of Radiology, Seoul National University College of Medicine, Seoul National University Hospital, Seoul, Korea.
Intest Res. 2015 Jan;13(1):27-38. doi: 10.5217/ir.2015.13.1.27. Epub 2015 Jan 29.
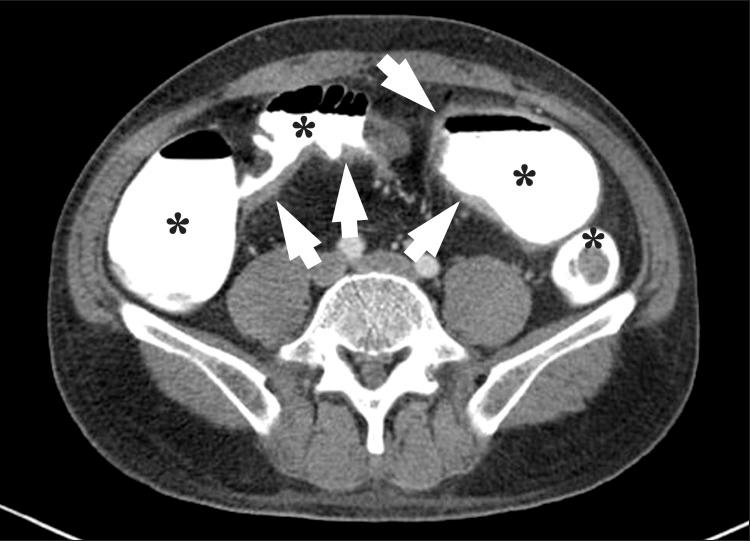
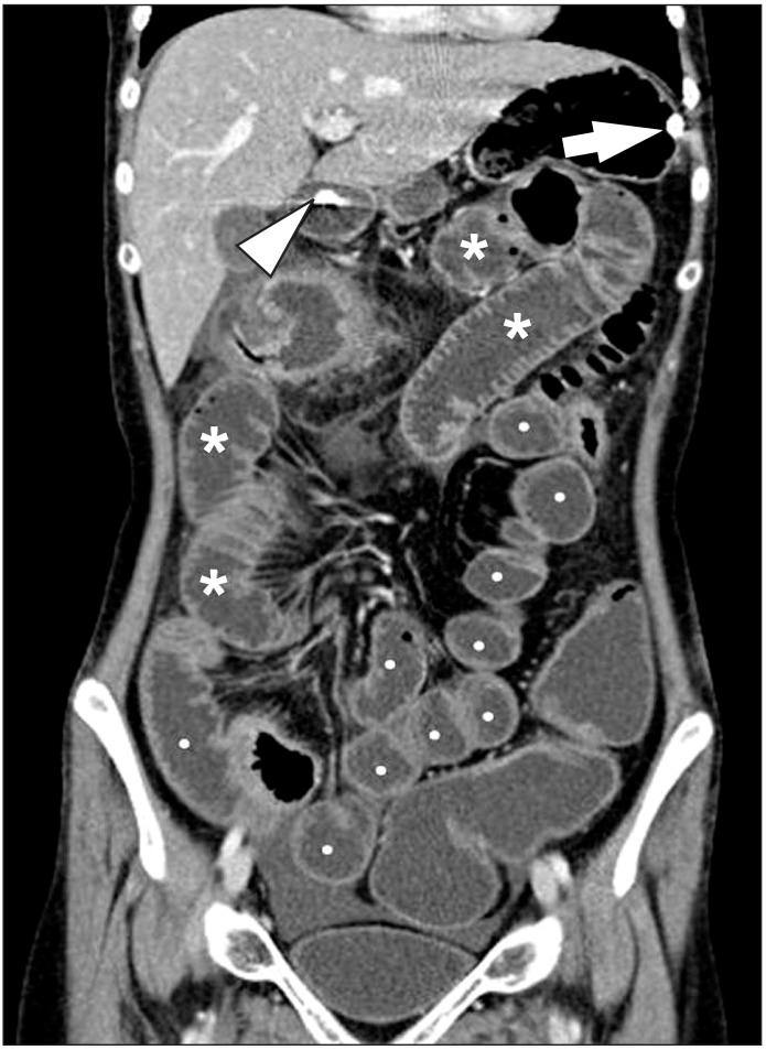
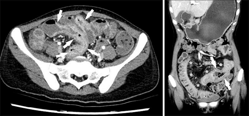
Imaging of the small bowel is complicated by its length and its overlapping loops. Recently, however, the development of crosssectional imaging techniques, such as computed tomography enterography (CTE) and magnetic resonance enterography (MRE) has shifted fundamental paradigms in the diagnosis and management of patients with suspected or known Crohn's disease (CD). CTE and MRE are noninvasive imaging tests that involve the use of intraluminal oral and intravenous contrast agents to evaluate the small bowel. Here, we review recent advances in each cross-sectional imaging modality, their advantages and disadvantages, and their diagnostic performances in the evaluation of small bowel lesions in CD.
小肠的成像因其长度和肠袢重叠而变得复杂。然而,近年来,计算机断层扫描小肠造影(CTE)和磁共振小肠造影(MRE)等横断面成像技术的发展改变了疑似或确诊克罗恩病(CD)患者诊断和管理的基本模式。CTE和MRE是无创成像检查,需使用腔内口服和静脉造影剂来评估小肠。在此,我们综述了每种横断面成像方式的最新进展、其优缺点以及在评估CD小肠病变中的诊断性能。