Suppr超能文献

一种导致严重幼年性息肉病综合征并伴有蛋白丢失性肠病、免疫缺陷和遗传性出血性毛细血管扩张症的新型SMAD4突变

A Novel SMAD4 Mutation Causing Severe Juvenile Polyposis Syndrome with Protein Losing Enteropathy, Immunodeficiency, and Hereditary Haemorrhagic Telangiectasia.

作者信息

Johansson Joel, Sahin Christofer, Pestoff Rebecka, Ignatova Simone, Forsberg Pia, Edsjö Anders, Ekstedt Mattias, Stenmark Askmalm Marie

机构信息

Gastroenterology and Hepatology Unit, Department of Clinical and Experimental Medicine, Faculty of Health Sciences, Linköping University, County Council of Östergötland, 581 85 Linköping, Sweden.

Department of Clinical Pathology and Clinical Genetics and Department of Clinical and Experimental Medicine, Faculty of Health Sciences, Linköping University, County Council of Östergötland, 581 85 Linköping, Sweden.

出版信息

Case Rep Gastrointest Med. 2015;2015:140616. doi: 10.1155/2015/140616. Epub 2015 Feb 1.

Abstract

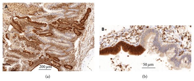
Juvenile polyposis syndrome (JPS) is a rare genetic disorder characterized by juvenile polyps of the gastrointestinal tract. We present a new pathogenic mutation of the SMAD4 gene and illustrate the need for a multidisciplinary health care approach to facilitate the correct diagnosis. The patient, a 47-year-old Caucasian woman, was diagnosed with anaemia at the age of 12. During the following 30 years, she developed numerous gastrointestinal polyps. The patient underwent several operations, and suffered chronic abdominal pain, malnutrition, and multiple infections. Screening of the SMAD4 gene revealed a novel, disease-causing mutation. In 2012, the patient suffered hypoalbuminemia and a large polyp in the small bowel was found. Gamma globulin was given but the patient responded with fever and influenza-like symptoms and refused more treatment. The patient underwent surgery in 2014 and made an uneventful recovery. At follow-up two months later albumin was 38 g/L and IgG was 6.9 g/L. Accurate diagnosis is essential for medical care. For patients with complex symptomatology, often with rare diseases, this is best provided by multidisciplinary teams including representatives from clinical genetics. Patients with a SMAD4 mutation should be followed up both for JPS and haemorrhagic hereditary telangiectasia and may develop protein loosing enteropathy and immunodeficiency.

摘要

青少年息肉病综合征(JPS)是一种罕见的遗传性疾病,其特征为胃肠道出现青少年息肉。我们报告了SMAD4基因的一种新的致病突变,并说明了采取多学科医疗方法以促进正确诊断的必要性。该患者为一名47岁的白种女性,12岁时被诊断为贫血。在随后的30年里,她出现了大量胃肠道息肉。患者接受了多次手术,遭受慢性腹痛、营养不良和多种感染。对SMAD4基因的筛查发现了一种新的致病突变。2012年,患者出现低蛋白血症,发现小肠有一个大息肉。给予了丙种球蛋白,但患者出现发热和流感样症状,拒绝进一步治疗。患者于2014年接受手术,恢复顺利。两个月后的随访中,白蛋白为38g/L,IgG为6.9g/L。准确诊断对医疗护理至关重要。对于症状复杂、通常患有罕见疾病的患者,最好由包括临床遗传学代表在内的多学科团队提供诊断。携带SMAD4突变的患者应同时针对JPS和出血性遗传性毛细血管扩张症进行随访,可能会发展为蛋白丢失性肠病和免疫缺陷。

https://cdn.ncbi.nlm.nih.gov/pmc/blobs/034f/4331480/2da6c0a502e9/CRIGM2015-140616.001.jpg

相似文献

2
Familial juvenile polyposis syndrome with a novel SMAD4 germline mutation.
Clin J Gastroenterol. 2013 Oct;6(5):361-7. doi: 10.1007/s12328-013-0413-y. Epub 2013 Sep 21.
5
The prevalence of hereditary hemorrhagic telangiectasia in juvenile polyposis syndrome.
Dis Colon Rectum. 2012 Aug;55(8):886-92. doi: 10.1097/DCR.0b013e31825aad32.
6
Clinical Guidelines for Diagnosis and Management of Juvenile Polyposis Syndrome in Children and Adults-Secondary Publication.
J Anus Rectum Colon. 2023 Apr 25;7(2):115-125. doi: 10.23922/jarc.2023-002. eCollection 2023.

引用本文的文献

3
PTEN Hamartoma Syndrome in a Child Presenting With Malrotation, Panintestinal Polyps, Severe Anemia, and Protein-Losing Enteropathy.
JPGN Rep. 2021 Aug 5;2(3):e092. doi: 10.1097/PG9.0000000000000092. eCollection 2021 Aug.
4
Clinical Guidelines for Diagnosis and Management of Juvenile Polyposis Syndrome in Children and Adults-Secondary Publication.
J Anus Rectum Colon. 2023 Apr 25;7(2):115-125. doi: 10.23922/jarc.2023-002. eCollection 2023.
5
JUVENILE POLYP IN ADULTS.
Acta Clin Croat. 2022 Aug;61(2):354-358. doi: 10.20471/acc.2022.61.02.23.
6
Transforming growth factor-β in tumour development.
Front Mol Biosci. 2022 Oct 4;9:991612. doi: 10.3389/fmolb.2022.991612. eCollection 2022.
7
Metastatic colorectal cancer cells maintain the TGFβ program and use TGFBI to fuel angiogenesis.
Theranostics. 2021 Jan 1;11(4):1626-1640. doi: 10.7150/thno.51507. eCollection 2021.
8
Massive juvenile polyposis of the stomach in a family with SMAD4 gene mutation.
Fam Cancer. 2019 Apr;18(2):165-172. doi: 10.1007/s10689-018-0100-8.
9
Current status of familial gastrointestinal polyposis syndromes.
World J Gastrointest Oncol. 2015 Nov 15;7(11):347-55. doi: 10.4251/wjgo.v7.i11.347.

本文引用的文献

1
The growing complexity of the intestinal polyposis syndromes.
Am J Med Genet A. 2013 Nov;161A(11):2777-87. doi: 10.1002/ajmg.a.36253. Epub 2013 Oct 3.
2
The prevalence of hereditary hemorrhagic telangiectasia in juvenile polyposis syndrome.
Dis Colon Rectum. 2012 Aug;55(8):886-92. doi: 10.1097/DCR.0b013e31825aad32.
3
Juvenile polyposis syndrome.
World J Gastroenterol. 2011 Nov 28;17(44):4839-44. doi: 10.3748/wjg.v17.i44.4839.
4
SMAD4 immunohistochemistry reflects genetic status in juvenile polyposis syndrome.
Clin Cancer Res. 2010 Aug 15;16(16):4126-34. doi: 10.1158/1078-0432.CCR-10-0168. Epub 2010 Aug 3.
5
Overlapping spectra of SMAD4 mutations in juvenile polyposis (JP) and JP-HHT syndrome.
Am J Med Genet A. 2010 Feb;152A(2):333-9. doi: 10.1002/ajmg.a.33206.
6
Juvenile polyposis complicated with protein losing gastropathy.
Intern Med. 2009;48(5):335-8. doi: 10.2169/internalmedicine.48.1749. Epub 2009 Mar 2.
7
Heritable colorectal cancer syndromes: recognition and preventive management.
Gastroenterol Clin North Am. 2002 Dec;31(4):1107-31. doi: 10.1016/s0889-8553(02)00049-3.
8
Common deletion of SMAD4 in juvenile polyposis is a mutational hotspot.
Am J Hum Genet. 2002 May;70(5):1357-62. doi: 10.1086/340258. Epub 2002 Mar 27.
9
Diagnostic criteria for hereditary hemorrhagic telangiectasia (Rendu-Osler-Weber syndrome).
Am J Med Genet. 2000 Mar 6;91(1):66-7. doi: 10.1002/(sici)1096-8628(20000306)91:1<66::aid-ajmg12>3.0.co;2-p.

文献AI研究员

20分钟写一篇综述,助力文献阅读效率提升50倍。

立即体验

用中文搜PubMed

大模型驱动的PubMed中文搜索引擎

马上搜索

文档翻译

学术文献翻译模型,支持多种主流文档格式。

立即体验