• 文献检索
  • 文档翻译
  • 深度研究
  • 学术资讯
  • Suppr Zotero 插件Zotero 插件
  • 邀请有礼
  • 套餐&价格
  • 历史记录
应用&插件
Suppr Zotero 插件Zotero 插件浏览器插件Mac 客户端Windows 客户端微信小程序
定价
高级版会员购买积分包购买API积分包
服务
文献检索文档翻译深度研究API 文档MCP 服务
关于我们
关于 Suppr公司介绍联系我们用户协议隐私条款
关注我们

Suppr 超能文献

核心技术专利:CN118964589B侵权必究
粤ICP备2023148730 号-1Suppr @ 2026

文献检索

告别复杂PubMed语法,用中文像聊天一样搜索,搜遍4000万医学文献。AI智能推荐,让科研检索更轻松。

立即免费搜索

文件翻译

保留排版,准确专业,支持PDF/Word/PPT等文件格式,支持 12+语言互译。

免费翻译文档

深度研究

AI帮你快速写综述,25分钟生成高质量综述,智能提取关键信息,辅助科研写作。

立即免费体验

延伸至海绵窦的眶动眼神经鞘瘤:一种罕见的眼球突出病因。

Orbital oculomotor nerve schwannoma extending to the cavernous sinus: a rare cause of proptosis.

作者信息

Kauser Hina, Rashid Omar, Anwar Waseem, Khan Sabina

机构信息

Department of Ophthalmology, Hamdard Institute of Medical Sciences and Research, Jamia Hamdard, New Delhi, India.

Department of Pathology, Hamdard Institute of Medical Sciences and Research, Jamia Hamdard, New Delhi, India.

出版信息

J Ophthalmic Vis Res. 2014 Oct-Dec;9(4):514-6. doi: 10.4103/2008-322X.150833.

DOI:10.4103/2008-322X.150833
PMID:25709780
原文链接:https://pmc.ncbi.nlm.nih.gov/articles/PMC4329715/
Abstract

PURPOSE

To report a case of orbital oculomotor nerve schwannoma extending to the cavernous sinus through the superior orbital fissure presenting with proptosis, but without any neurological sign.

CASE REPORT

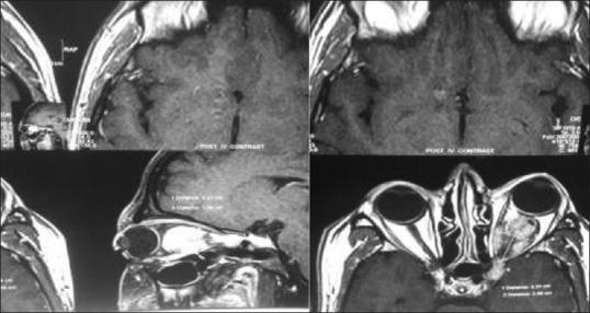
A 32-year-old man presented with axial proptosis of his left eye. Visual acuity and other ocular examinations were normal. Orbital magnetic resonance imaging revealed a well-defined fusiform retrobulbar lesion in the left orbit extending into the superior orbital fissure and left cavernous sinus measuring 43 mm × 21 mm × 19 mm and causing superomedial displacement of the optic nerve and axial proptosis. The patient was scheduled for surgery, and gross total excision was done. Postoperatively, the patient developed total third nerve palsy. Pre and postoperative third nerve deficit confirmed the origin of the tumor from the oculomotor nerve. Histopathological examination revealed schwannoma.

CONCLUSION

Orbital oculomotor nerve schwannoma, although rare, can be the cause of proptosis. Diagnosis can be confirmed histopathologically. It is a benign tumor; however, it can extend intracranially without any neurological symptoms. Therefore, neuroimaging is essential to rule out intracranial extension. Early surgical removal is mandatory.

摘要

目的

报告一例眼眶动眼神经鞘瘤经眶上裂延伸至海绵窦,表现为眼球突出但无任何神经症状的病例。

病例报告

一名32岁男性出现左眼轴向性眼球突出。视力及其他眼部检查均正常。眼眶磁共振成像显示左眼眶内有一个边界清晰的梭形球后病变,延伸至眶上裂和左侧海绵窦,大小为43 mm×21 mm×19 mm,导致视神经向眶上内侧移位及轴向性眼球突出。患者被安排接受手术,并进行了肿瘤全切。术后,患者出现完全性动眼神经麻痹。术前和术后的动眼神经功能缺损证实了肿瘤起源于动眼神经。组织病理学检查显示为神经鞘瘤。

结论

眼眶动眼神经鞘瘤虽罕见,但可导致眼球突出。组织病理学检查可确诊。它是一种良性肿瘤;然而,它可在无任何神经症状的情况下向颅内延伸。因此,神经影像学检查对于排除颅内延伸至关重要。早期手术切除是必要的。

https://cdn.ncbi.nlm.nih.gov/pmc/blobs/c8a8/4329715/131cd8aaeefb/JOVR-9-514-g004.jpg
https://cdn.ncbi.nlm.nih.gov/pmc/blobs/c8a8/4329715/843e0b585450/JOVR-9-514-g001.jpg
https://cdn.ncbi.nlm.nih.gov/pmc/blobs/c8a8/4329715/fac403eca57c/JOVR-9-514-g002.jpg
https://cdn.ncbi.nlm.nih.gov/pmc/blobs/c8a8/4329715/b02c08cc70a4/JOVR-9-514-g003.jpg
https://cdn.ncbi.nlm.nih.gov/pmc/blobs/c8a8/4329715/131cd8aaeefb/JOVR-9-514-g004.jpg
https://cdn.ncbi.nlm.nih.gov/pmc/blobs/c8a8/4329715/843e0b585450/JOVR-9-514-g001.jpg
https://cdn.ncbi.nlm.nih.gov/pmc/blobs/c8a8/4329715/fac403eca57c/JOVR-9-514-g002.jpg
https://cdn.ncbi.nlm.nih.gov/pmc/blobs/c8a8/4329715/b02c08cc70a4/JOVR-9-514-g003.jpg
https://cdn.ncbi.nlm.nih.gov/pmc/blobs/c8a8/4329715/131cd8aaeefb/JOVR-9-514-g004.jpg

相似文献

1
Orbital oculomotor nerve schwannoma extending to the cavernous sinus: a rare cause of proptosis.延伸至海绵窦的眶动眼神经鞘瘤:一种罕见的眼球突出病因。
J Ophthalmic Vis Res. 2014 Oct-Dec;9(4):514-6. doi: 10.4103/2008-322X.150833.
2
Orbital schwannoma extending to the lateral wall of the cavernous sinus through the superior orbital fissure--case report.经眶上裂延伸至海绵窦外侧壁的眼眶神经鞘瘤——病例报告
Neurol Med Chir (Tokyo). 2010;50(2):154-7. doi: 10.2176/nmc.50.154.
3
Oculomotor nerve schwannoma located in the oculomotor cistern.位于动眼神经池的动眼神经鞘瘤。
Surg Neurol. 2007 Jan;67(1):83-8; discussion 88. doi: 10.1016/j.surneu.2006.06.012. Epub 2006 Nov 3.
4
Optic Nerve Schwannoma: A Report of a Rare Case From India and Literature Review.视神经施万细胞瘤:来自印度的一例罕见病例报告及文献综述
Cureus. 2024 May 7;16(5):e59824. doi: 10.7759/cureus.59824. eCollection 2024 May.
5
Unilateral orbital schwannoma arising from the supraorbital nerve: Report of a rare case.起源于眶上神经的单侧眼眶神经鞘瘤:1例罕见病例报告
Clin Case Rep. 2023 Dec 28;12(1):e8381. doi: 10.1002/ccr3.8381. eCollection 2024 Jan.
6
Oculomotor nerve schwannoma: a case report.动眼神经鞘瘤:一例报告
Brain Tumor Res Treat. 2014 Apr;2(1):43-7. doi: 10.14791/btrt.2014.2.1.43. Epub 2014 Apr 29.
7
Is primary optic nerve sheath schwannoma a misnomer? Report of two cases and literature review.原发性视神经鞘雪旺瘤是一个不恰当的名称吗?两例报告及文献综述。
Orbit. 2019 Oct;38(5):419-423. doi: 10.1080/01676830.2018.1545239. Epub 2018 Nov 16.
8
Orbital extension of trigeminal schwannoma.三叉神经鞘瘤的眼眶扩展
J Neurosci Rural Pract. 2015 Jan;6(1):102-4. doi: 10.4103/0976-3147.143214.
9
Primary optic nerve sheath schwannoma: a case report.原发性视神经鞘雪旺瘤:一例报告
Br J Neurosurg. 2023 Oct;37(5):1333-1335. doi: 10.1080/02688697.2020.1869181. Epub 2021 Jan 8.
10
Pretemporal Transcavernous Approach for Resection of an Orbito-Cavernous Oculomotor Schwannoma.颞前经海绵窦入路切除眶-海绵窦段动眼神经鞘瘤
J Neurol Surg B Skull Base. 2021 Apr 8;83(Suppl 3):e621-e622. doi: 10.1055/s-0041-1724116. eCollection 2022 Aug.

引用本文的文献

1
Clinicopathological features of peripheral nerve sheath tumors involving the eye and ocular adnexa.累及眼和眼附属器的周围神经鞘瘤的临床病理特征。
Hum Pathol. 2017 May;63:70-78. doi: 10.1016/j.humpath.2017.02.006. Epub 2017 Feb 22.

本文引用的文献

1
Intraorbital oculomotor nerve schwannoma affecting only the parasympathetic fibers.仅影响副交感神经纤维的眶内动眼神经鞘瘤。
J Neurol Surg A Cent Eur Neurosurg. 2013 Mar;74(2):120-3. doi: 10.1055/s-0032-1313641. Epub 2012 Aug 1.
2
Orbital neurilemmoma: report of seven cases.眼眶神经鞘瘤:7例报告
J Clin Neurosci. 1998 Oct;5(4):390-3. doi: 10.1016/s0967-5868(98)90268-5.
3
Neural orbital tumors.神经眼眶肿瘤
Curr Opin Ophthalmol. 2000 Oct;11(5):367-71. doi: 10.1097/00055735-200010000-00014.
4
Oculomotor nerve neurinoma: report of two cases.动眼神经神经鞘瘤:2例报告
Acta Neurochir (Wien). 1998;140(11):1147-51. doi: 10.1007/s007010050229.
5
[Orbital neurinoma presenting orbital apex syndrome].[眼眶神经鞘瘤伴发眶尖综合征]
No Shinkei Geka. 1997 May;25(5):473-7.
6
Primary benign tumors of the orbital cavity: comparative data in a series of patients with optic nerve glioma, sheath meningioma, or neurinoma.眼眶原发性良性肿瘤:一组视神经胶质瘤、鞘膜脑膜瘤或神经鞘瘤患者的对比数据。
Surg Neurol. 1996 Feb;45(2):147-53; discussion 153-4. doi: 10.1016/s0090-3019(96)80008-5.
7
Multiple spinal intradural schwannomas in the absence of von Recklinghausen's disease.无冯雷克林霍增氏病情况下的多发性脊髓硬膜内神经鞘瘤
Spine (Phila Pa 1976). 1993 Dec;18(16):2556-9. doi: 10.1097/00007632-199312000-00033.
8
Complete removal of an oculomotor nerve neurinoma without permanent functional deficit. Case report.完全切除动眼神经神经鞘瘤且无永久性功能缺损。病例报告。
Ger J Ophthalmol. 1993 Aug;2(4-5):228-33.
9
Primary orbital schwannomas.原发性眼眶神经鞘瘤
Br J Ophthalmol. 1982 Mar;66(3):194-204. doi: 10.1136/bjo.66.3.194.
10
Schwannoma of the orbit.眼眶神经鞘瘤
Ophthalmologica. 1984;188(2):118-27. doi: 10.1159/000309352.