Goo Hyun Woo
Department of Radiology and Research Institute of Radiology, Asan Medical Center, University of Ulsan College of Medicine, Seoul 138-736, Korea.
Korean J Radiol. 2015 Mar-Apr;16(2):239-50. doi: 10.3348/kjr.2015.16.2.239. Epub 2015 Feb 27.
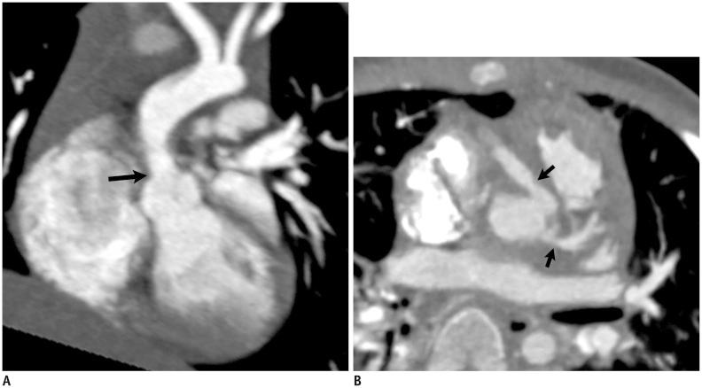
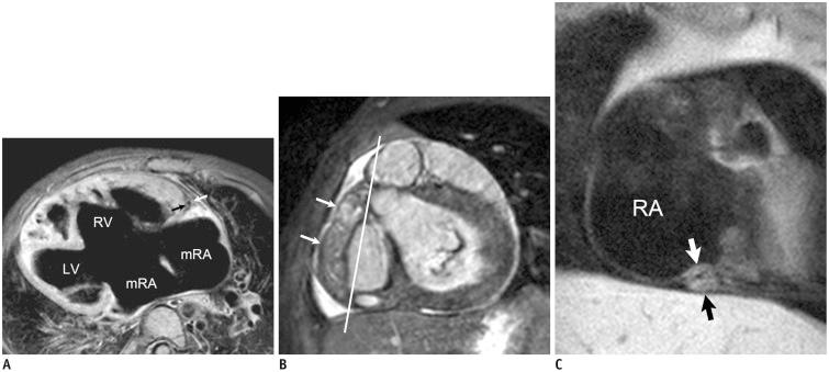
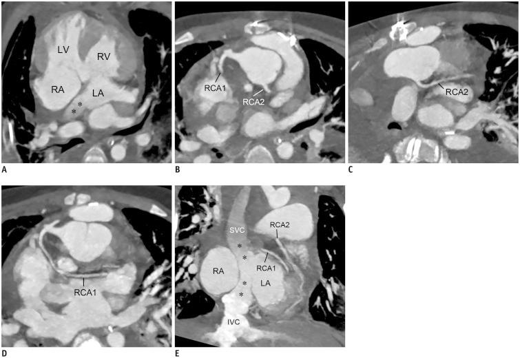
Coronary artery problems in children usually have a significant impact on both short-term and long-term outcomes. Early and accurate diagnosis, therefore, is crucial but technically challenging due to the small size of the coronary artery, high heart rates, and limited cooperation of children. Coronary artery visibility on CT and MRI in children is considerably improved with recent technical advancements. Consequently, CT and MRI are increasingly used for evaluating various congenital and acquired coronary artery abnormalities in children, such as coronary artery anomalies, aberrant coronary artery anatomy specific to congenital heart disease, Kawasaki disease, Williams syndrome, and cardiac allograft vasculopathy.
儿童冠状动脉问题通常对短期和长期预后都有重大影响。因此,早期准确诊断至关重要,但由于冠状动脉管径小、心率快以及儿童配合度有限,在技术上具有挑战性。随着最近的技术进步,儿童CT和MRI上冠状动脉的可视性有了显著改善。因此,CT和MRI越来越多地用于评估儿童各种先天性和后天性冠状动脉异常,如冠状动脉畸形、先天性心脏病特有的冠状动脉解剖变异、川崎病、威廉姆斯综合征和心脏移植血管病变。